青年男性,进行性加重的头痛

18岁男性,表现为进行性加重的左顶部疼痛逐渐发展为全头部疼痛27天,伴有恶心呕吐,右侧肢体渐进性轻偏瘫5天。无畏寒发热,无免疫缺陷及免疫抑制治疗的既往史。查体可见颈项强直,右侧轻偏瘫。脑脊液化验提示糖71mg/dL,蛋白132mg/dL,有核细胞20/dL(均为淋巴细胞),抗酸染色及细菌涂片阴性。CT及MR可见颅内多发病变伴强化(图1-2)。余常规实验室及影像学检查无殊。


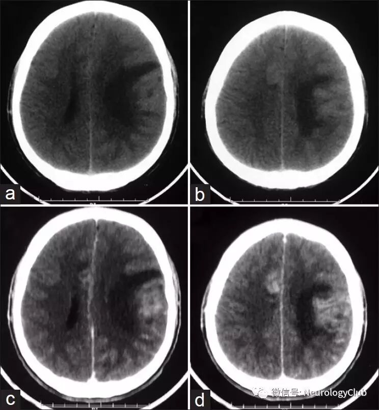
(图1:CT平扫[a-b]和增强[c-d]可见左侧额顶叶边界不清的低密度病灶,右侧额上回线状脑回样强化)


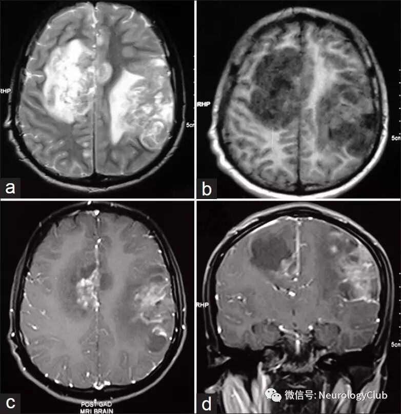
(图2:T2WI[a],T1WI[b]和T1增强[c-d]可见多发病变,最大者位于左侧额顶叶,呈肿瘤样,伴散布的出血和线状脑回样强化)


(图3:大体标本[a]可见双侧额叶出血和坏死病灶;镜下[b]脑实质内可见一些阿米巴滋养体伴中性粒细胞浸润[HE,×40])


诊治经过

患者入院后,考虑炎症性病变,予万古霉素、头孢曲松及激素治疗。但渐进出现颅高压症状,并陷入昏迷,积极治疗无效,入院第10天宣告死亡。死后经家属同意予尸检明确诊断。


最终诊断

肉芽肿性阿米巴脑膜脑炎


讨论

中枢神经系统阿米巴病是一种由自由生活阿米巴感染所致的罕见疾病,大致可分为肉芽肿性阿米巴脑炎(granulomatous amebic encephalitis,GAE)和原发性阿米巴脑膜脑炎(primary amebic meningoencephalitis,PAM)。GAE为棘阿米巴属和巴拉姆希属(如狒狒巴拉姆希阿米巴亚)急性-慢性感染所致,不同于PAM,后者由福氏耐格里属阿米巴引起,急性起病,快速进展,患者在48-72h内死亡。本病潜伏期尚不清楚,推测在10天以上。患者年龄常为10-30岁,男女比例大于10:1。病理学上,可见局灶性脑炎或微脓肿形成以及软脑膜炎。GAE可有较长时间的局灶性神经功能缺失症状。影像学上可呈多灶脑实质病变,坏死,病灶内出血,假瘤样表现和软脑膜炎。肿瘤样病灶(假瘤型)常有线状浅表脑回样强化,有助于诊断。可能代表了炎性脑膜和其下皮层的共同强化。阿米巴通过软脑膜血管进入脑实质可引起微脓肿。多灶型病变可为T2高信号及环形强化,好发于间脑、脑干和后颅窝结构。早期诊断并手术切除肉芽肿性肿瘤样病灶,再联合化疗,如两性霉素B或克霉唑,是提高生存率的最佳选择。即便如此,本病预后仍然很糟糕。


[参考文献]

Vyas S, Jain V, Goyal MK, Radotra BD, Khandelwal N.Granulomatous amoebic meningoencephalitis.Neurol India. 2013 Sep-Oct;61(5):530-1.


分享 :