垂体卒中

本文转自:协和八

作者:likely08

审阅:北京协和医院放射影像科 有慧副主任医师

编辑:一枝黄花


垂体卒中


垂体卒中是一种急性临床综合征,由垂体的出血或梗死造成。尽管病因不同,临床表现主要包括头痛,视力受损,眼肌麻痹,精神状态改变。60-90%的垂体卒中继发于垂体腺瘤,极个别垂体卒中发生于正常垂体。


1. 垂体正常MRI表现


垂体前叶和后叶在MRI上是明显不同的,垂体前叶在T1W1和T2W1上是等信号的,垂体后部在T1W1上表现为高信号,在T2W1上表现低信号。在动态增强时,可以观察到增强剂从垂体柄流入腺体,然后逐渐渗入到腺体周边。


2 年龄相关的垂体改变


垂体体积的大小与激素水平相关,不同年龄阶段的垂体大小不同。一般来说,年轻人比老年人有更大的垂体,腺体分泌旺盛的人(如青少年/孕妇)的垂体最大,丰满的腺体甚至可以充满整个垂体窝,可看到垂体上缘膨隆。而老年人则有一个很大的空的垂体窝,垂体扁平紧缩,位于蝶鞍底部。

正常范围的垂体高度最大值如下:

  • 儿童(<12岁):6mm(垂体上缘平坦,稍微外凸)

  • 青少年:10mm(垂体上缘外凸;女性更明显)

  • 中年

>>男性:8mm

>>女性:9mm

>>孕妇:12mm

>>老年人(>50岁)体积逐渐缩小

正常垂体及周围解剖结构:

A.正中矢状位MRI T1W1

 Corpus callosum-胼胝体;Gyrus rectus-直回;sphenoid sinus-蝶窦;Clivus-斜坡;Medulla-延髓;Pons-脑桥;Midbrain-中脑;Thalamus-丘脑;P-垂体前叶;*-垂体后叶。

B.冠状位MRI T1W1

 绿圈-视交叉;红圈-垂体柄+垂体;黄圈-双侧海绵窦;橘红色圈-双侧颈内动脉;sphenoidsinus-蝶窦。

C. 正中矢状位MRIT1WI,MRI T1WI C+




3 垂体卒中流行病学


垂体卒中流行病学特点和垂体腺瘤一致,此外诱发因素包括:

  • 经药物治疗的泌乳素瘤(尤其是溴隐亭);

  • 之前接受过垂体瘤放疗;

  • 怀孕(席汉氏综合症);

  • 脑血管造影;

  • 外伤和手术;

  • 抗凝药物;

  • 颅内压改变。


4 垂体卒中临床表现


垂体体积突然增大,可能压迫到蝶鞍周围组织,导致一系列症状,包括:

  • 突然头痛;

  • 视交叉受损导致的视觉分辨能力下降;

  • 动眼神经麻痹。

此外,患者可能还会表现出意识水平下降,垂体机能减退,肾上腺皮质危象和蛛网膜下腔刺激症状(可继发于出血)。


5 影像学表现


1. CT

常规CT诊断敏感性差,除非有大面积颅内出血,垂体肿物比较明显,可表现为高密度。

2. MRI

MRI 通常可以用以诊断,一般可以看到垂体体积增大,可出现出血、坏死,合并腺瘤时,可见到腺瘤征象。

  • T1W1:由于出血多表现为高信号;

  • T2W2:表现多种多样;

  • T1 C+(Gd):增强表现有多种多样,可能由于本身T1的高信号而无法分辨;

  • DWI:可能在梗死的实性肿物中表现出扩散受限。

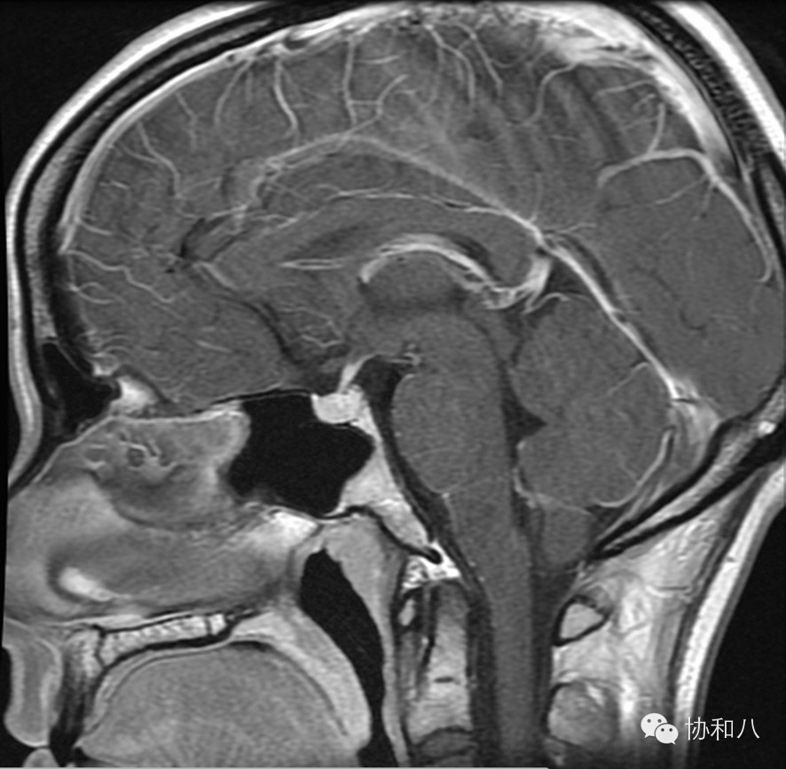
A. 矢状位T1WI

可见垂体增大,在T1W1表现为高信号,符合出血表现



B. 冠状位T1WI

可见鞍区占位,向上压迫视交叉,向两侧压迫海绵窦和颈内动脉,占位右下部分在T1W1上有一圆形高信号,提示瘤内出血。



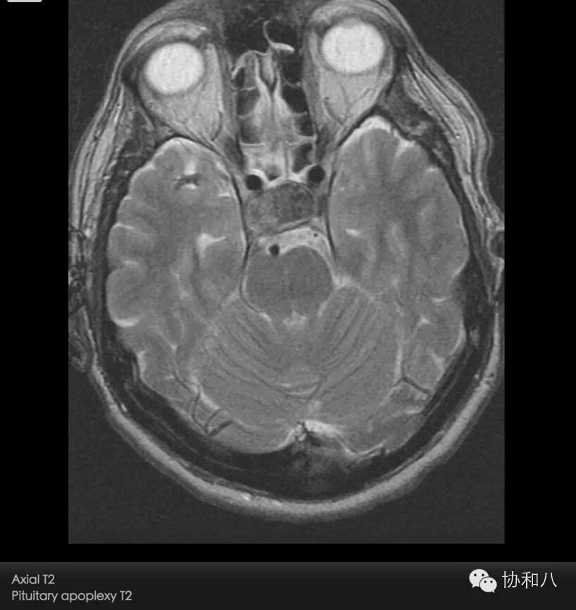
C. 轴位T2WI

垂体信号不均,呈混杂信号,可见明显低及高信号区,符合出血及坏死囊变表现。



D. 增强冠状位T1WI

可见鞍区占位,T1 C+信号混杂,增强不均匀,符合出血坏死表现。



6 治疗和预后


治疗可以是保守治疗或手术治疗。如果没有神经系统体征或视力视野问题,或有轻微的体征但无明显进展,可以选择保守治疗。但对有手术的适应症的患者,及时经蝶窦脑垂体手术介入治疗,解除压迫,预后会好。


7 鉴别诊断


主要集中在垂体区肿物的鉴别,但因为垂体卒中的病人有出急性或亚急性的出血产物,鉴别诊断就缩小为限制在垂体区有高T1信号的肿物鉴别。

(1)坏死性/出血性垂体腺瘤

  • 临床和影像表现一样,但病人发病不是很急;

  • 垂体卒中是否用于亚急性的临床表现还尚有争议;

(2)颅咽管瘤(成釉质型)

  • 90%表现出钙化,中心通常位于鞍上;

  • 常发生于儿童;

  • 通常不是急性起病。

下图:(增强矢状位T1WI)鞍上囊实性占位,下方可见正常强化垂体,占位囊壁强化,囊内可见强化的壁结节。


(3)Rathke裂囊肿

  • 通常没有临床症状;

  • 不表现为实性肿物;

  • 球形。

下图:(矢状位MRI T2WI)鞍区及鞍上囊性占位。


(4)皮样囊肿/畸胎瘤

  • 通常会有脂肪组织;

  • 除非破裂有急性表现,通常是隐匿起病;

  • 如果破裂,在蛛网膜下腔常可见到脂肪密度样组织。

下图:(冠状位MRI T1WI)鞍上可见混杂信号占位,其中可见T1WI上明显高信号,同时右侧外侧裂可见数个结节状明显高信号,符合鞍区畸胎瘤破裂表现。



[参考文献]

1.Yousem DM, Grossman RI. Neuroradiology, The Requisites. Mosby.(2010) ISBN:0323045219.

2.Loftus CM. Neurosurgicalemergencies. Thieme Publishing Group. (2008) ISBN:3131350520.


作者:likely08

审阅:北京协和医院放射影像科 有慧副主任医师

编辑:一枝黄花


分享 :