67岁男性,进行性颅骨缺损6月

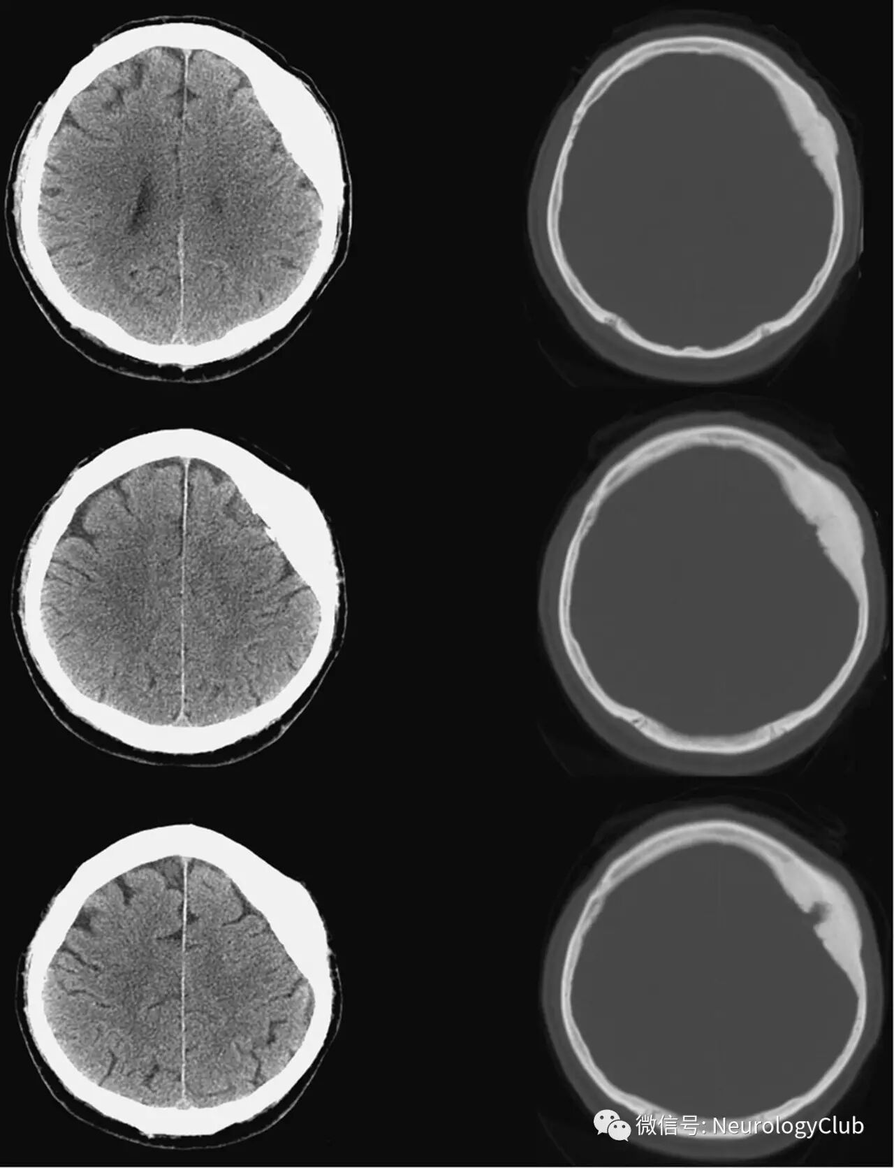
67岁男性,表现为进行性颅骨缺损6月。入院时,患者神经系统功能完好,触诊可摸及一骨性,无痛,无移动的肿块,约1.5cm,位于左侧额部凸面。头颅CT提示基于颅骨的病灶,左侧额顶部可见直径1.1cm的瘤巢,周围可见骨质硬化(图1)。瘤巢和其下硬脑膜可见轻度矿化。


(图1:CT提示基于颅骨的病灶,左侧额顶部可见直径1.1cm的瘤巢,周围可见骨质硬化)


(图2:可见典型脑膜瘤的特征,包括砂粒体,嗜酸性的肿瘤细胞集群以及“漩涡”状结构,边界清楚;HE×400


诊治经过


鉴别诊断包括原发性硬膜外脑膜瘤,骨样骨瘤,骨髓炎,骨肉瘤,Brodie脓肿,骨纤维结构发育不良,Paget病和硬化性转移(sclerotic metastasis)。患者行活检证实为PEM。患者行肿瘤切除术,随后网板颅骨修补。患者第二天出院,无明显并发症。


最终诊断

原发性硬膜外脑膜瘤(primary extradural meningioma,PEM)


讨论

PEM占所有脑膜瘤的1–2%,常见于眶周或额顶区。PEM指原发于颅内硬脑膜 外腔的脑膜瘤,包括原发于硬脑膜外层向硬脑膜外腔生长的脑膜瘤或颅骨脑膜瘤突破内板向硬膜外腔发展者,但未侵犯硬膜下腔及其结构,不同于硬膜内脑膜瘤,其有继发颅外浸润或转移的可能。典型的PEM为单发病灶,老年人多见(诊断时中位年龄约40-50岁),女性较男性多。包括4型,分别为:I型(硬膜外腔型),肿瘤位于硬膜外与颅骨内板之间;II型(颅骨型或板障型),肿瘤位于颅骨内外板之间;III型(颅外型),肿瘤位于颅骨外板以外;IV型(混合型),肿瘤自硬膜向颅骨外发展。II型和III型又可进一步分为凸面型(C)和颅底型(B)。本例属于IIIC型。


PEM的发生来源有以下几种假说:(1)胚胎发育过程中,陷入颅骨内的蛛网膜细胞被认为是颅骨脑膜瘤的起源。这一假说可解释板障或颅骨脑膜瘤的发生。(2)分娩或头颅成型过程中,陷入到颅骨缝的蛛网膜帽细胞是颅骨脑膜瘤的起源。(3)头外伤时,嵌入到骨折缝中的硬脑膜或蛛网膜细胞是其来源。影像学特点包括溶骨(溶骨型,约32%)和骨质增生(成骨型,多达65%),也可两者兼有。CT平扫可见局部增厚,硬化的高密度病灶,延伸至颅盖,增强后通常明显强化。病灶在磁共振T1WI呈低信号,T2WI为高信号,增强后通常均匀强化。脑膜尾征少见,可有硬脑膜强化。组织学上,PEM可表现为典型的脑膜瘤特征,包括砂粒体,嗜酸性的肿瘤细胞集群以及“漩涡”状结构,边界清楚(图2)。


临床表现与肿瘤占位效应有关。对于良性的PEM而言,手术切除是最佳的治疗选择。若考虑是恶性或非典型性脑膜瘤,切除范围要扩大1cm以上。肿瘤不完全切除,复发或者无法手术者可考虑放疗。PEM患者需要长期随访,因术后10年仍可能复发。


[参考文献]

1. Avra S. Laarakker, Jonathan Nakhla, Patrick Lasala.Surprising skull lesion. J Clin Neurosci. 2016 Dec;34:208, 305.

2. 刘玉光, 李虎庆, 张维兵, 张泽立, 张加初. 原发性颅内硬膜外脑膜瘤的治疗体会. 中华神经外科杂志. 2014年9期.

3. 刘玉光, 张泽立, 王宏伟. 头部原发性硬膜外脑膜瘤的临床特点. 中华医学杂志. 2014年9期.




神经病学俱乐部 微信号:NeurologyClub
神经病学俱乐部,立足一线临床,服务神经科同行,助力神经病学天天向上


分享 :