中年女性,癫痫发作,颅内多发病变


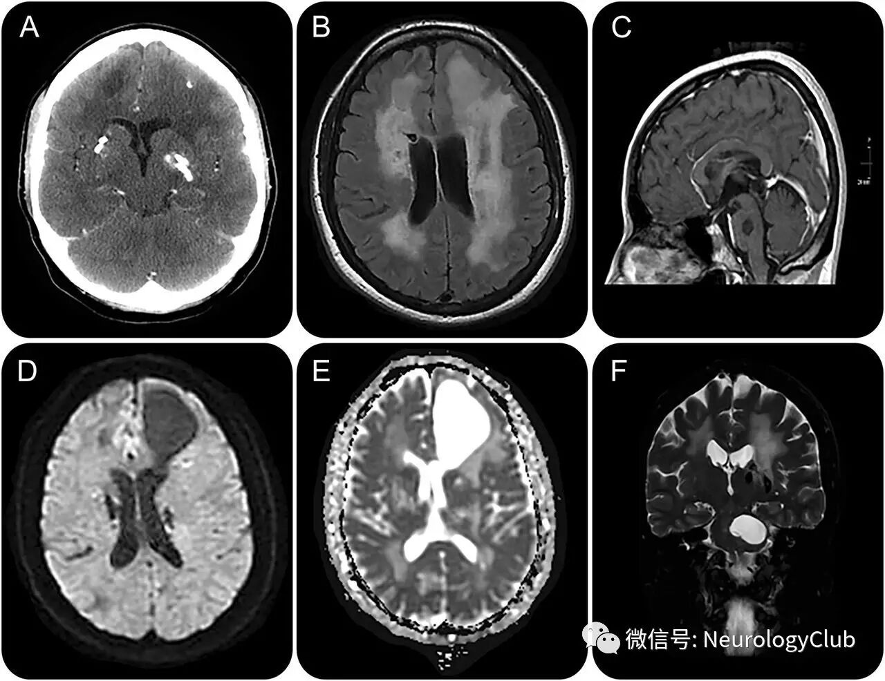
42岁女性,因复杂部分性发作入院。患者18岁时,曾有短暂复视,考虑为简单的斜视。本次查体提示左侧外展神经麻痹,右上肢反射亢进。神经影像学提示颅内白质多发囊性病灶(图),基底节区多发钙化,以及弥漫的双侧脑白质病变。


(图:A:CT提示基底节区[CT值1541HU豆状核],左侧丘脑和白质处散在钙化,额叶囊性变,以及白质弥漫低密度区;B:FLAIR可见广泛的白质病变;C:T1增强提示左侧脑桥囊性病灶无明显强化;D-E:DWI和ADC上囊性变有轻度占位效应,无血管源性水肿或弥散受限;F:T2WI可见左侧脑桥较大囊性病灶,白质病变明显)


诊治经过

患者无神经系统外受累,遗传学检测(CTC1基因)排除其他疾病(主要是Coats叠加综合征[Coats plus syndrome])。


最终诊断

伴钙化和囊变的脑白质病(Labrune综合征)


讨论

伴颅内钙化和囊变的脑白质病被认为是主要累及儿童的弥漫微血管病。成人起病的患者临床症状多样且通常较轻,进展缓慢。


[参考文献]

Villar-Quiles RN, Gómez-Ruiz N, Jorquera-Moya M, Matías-Guiu J, Matias-Guiu JA.Teaching NeuroImages: Adult-onset leukoencephalopathy with intracranial calcifications andcysts (Labrune syndrome).Neurology. 2017 Mar 21;88(12):e113-e114.


温馨提醒
请尊重我们的劳动成果,转载不要忘了注明出处哦~~~




神经病学俱乐部 微信号:NeurologyClub
神经病学俱乐部,立足一线临床,服务神经科同行,助力神经病学天天向上


分享 :