中年男性,进行性呼吸抑制和球麻痹

45岁健康男性,表现为吞咽困难,数月后进展为球麻痹伴呼吸抑制,1年内需要有创通气。


常规血化验无殊,脑脊液检查未见明显异常。



多次MRI提示脑干广泛弥漫的T2/FLAIR高信号,特别是脑桥和延髓。可见病灶边缘弥散受限,增强后未见明显强化。


图1为最近的MRI,此时患者脑干功能进一步恶化,已近乎完全性四肢瘫痪。



(图1:矢状位[A]和横断面[B]T2WI以及T1增强可见脑干病灶[箭])


诊治经过

除MRI上证实的广泛水肿外,增强后可见匐行性扩张的前髓静脉强化,提示瘘所致的动脉化可能。血管造影证实起源于右后脑膜中动脉分支的小脑幕动脉小分支和深部小脑脑桥静脉通路之间瘘点的存在,引起脑干和上脊髓较高的静脉回压,淤血和缺血。


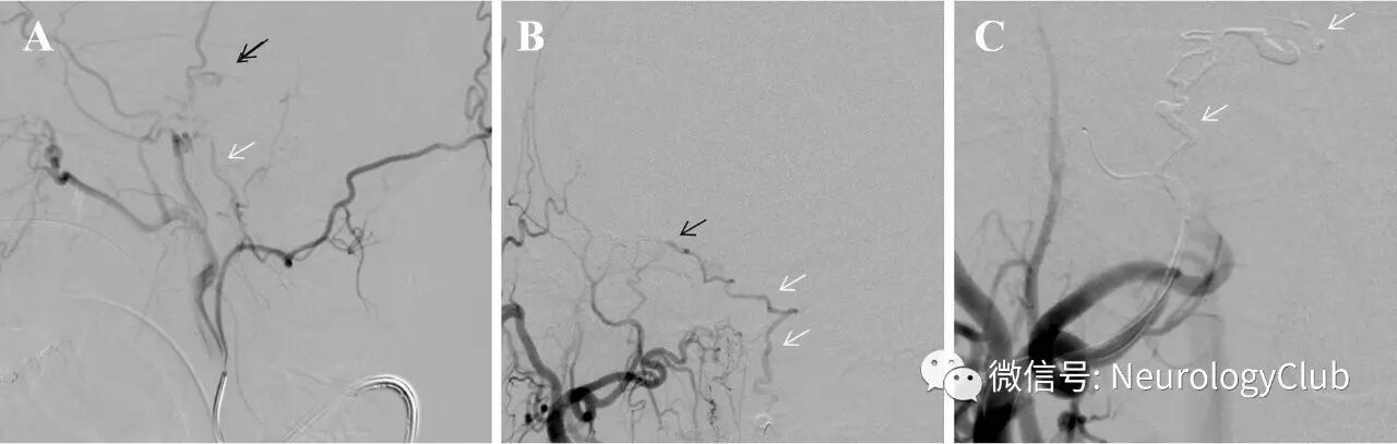
患者的瘘点通过胶栓成功闭塞(图2)。6周后复查MRI可见脑干异常信号明显好转。患者可拔管独立呼吸,运动功能也几乎完全恢复。



(图2:A-B:脑膜中动脉后分支血管造影可见硬脑膜动静脉瘘[箭];C:栓塞术后可见瘘点消失)


最终诊断

硬脑膜动静脉瘘


讨论

本例呈现了硬脑膜动静脉瘘(DAVF)的一种罕见类型,其导致潜在可致死的进行性脑干功能障碍,如果不治疗的话。


DAVF通常为动脉和静脉间特发性交通异常,其供血动脉起自硬脑膜,有多种静脉引流方式,占颅内动静脉畸形的10-15%。40-60岁男性相对多见,且更可能出现侵袭性病灶。儿童和新生儿罕见。临床表现通常与静脉引流类型有关,目前普遍使用的是Borden和Cognard分类系统。


本例特征为Cognard-V型病变,为颅内DAVF伴脊髓静脉引流,50%可有进行性脊髓病。大多数病例表现为蛛网膜下腔出血或伴脊髓病,罕见的,由于DAVF的静脉高压引起脑干梗死或肿瘤样病变。


[参考文献]

C. Logan, H. Asadi, H.K. Kok, F. Kavanagh, J. Thornton, S. Looby, P. Brennan, A. O’Hare.Progressive respiratory depression and bulbar palsy. J Clin Neurosci. 2016 Nov;33:213, 273.




神经病学俱乐部 微信号:NeurologyClub
神经病学俱乐部,立足一线临床,服务神经科同行,助力神经病学天天向上


分享 :