62岁女性,头痛2月余

62岁女性,既往有骨质疏松和乳腺癌病史,表现为头痛2月余,期间有一次跌倒,导致广泛的脸部瘀伤和一处撕裂,需要缝合。头痛伴有间歇性左侧感觉障碍表现为发作性左上肢感觉异常和轻度无力。查体无殊。患者无发热,血常规、电解质、凝血谱等正常。


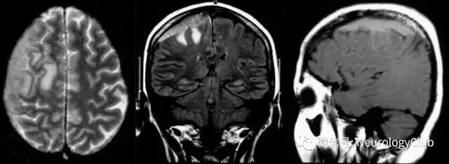
初诊医生考虑脑缺血,建议患者行MRI检查,提示右侧大脑凸面慢性硬膜下血肿,大小为12×12×20mm,伴有邻近脑组织水肿(图1)。


患者随后接受钻孔血肿引流术,术中发现异常组织,予活检。



(图1:左:T2WI可见12×12×20mm右侧凸面高信号病灶伴中度占位效应;中:FLAIR可见右侧凸面高信号病灶伴其下脑组织水肿;右:T1WI可见稍高信号病灶)


诊治经过

最初的钻孔引流未发现硬膜下血肿或潜在的感染。可见硬膜增厚伴其下软粉色组织。冰冻切片提示脑膜瘤。患者再行增强MRI检查,证实为较大的扁平肥厚型脑膜瘤,T1增强上明显强化伴脑膜尾征。未见骨质增生或其他骨异常。


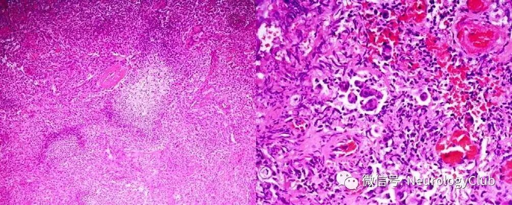
1周后患者接受手术切除,术中发现肿瘤侵犯脑实质和上矢状窦。病理检查提示非典型脑膜瘤(图2)。患者随后接受放疗。



(图2:粉红色和浅褐色组织在高倍镜下可见富于细胞病灶伴中度核异型性;有些区域,细胞呈弥漫片状排列,也可见散在多核巨细胞。亦可见小灶坏死。诊断考虑不典型脑膜瘤。


最终诊断

扁平肥厚型脑膜瘤(En-Plaque atypical meningioma)


讨论

脑膜瘤可占颅内肿瘤的25%,但扁平肥厚型脑膜瘤不常见,在所有脑膜瘤中仅2-9%。脑膜瘤的典型MRI特点为T1WI相较灰质呈等或稍低信号,T2WI相较灰质呈等或稍高信号。慢性硬膜下血肿在MRI的表现多变,由出血的时间(血肿分解产物组成)决定,在某些时期可能与脑膜瘤混淆。本例患者扁平肥厚型肿瘤形似慢性硬膜下血肿,在MRI上容易误诊,因其并非慢性硬膜下血肿的首选检查。


本例患者的临床表现也符合慢性硬膜下血肿,发病中位年龄约为69岁,症状包括无力(71%),意识模糊和认知功能缺损(65%),头痛(50%),意识水平下降(42%)和头部外伤(60–70%)。外伤和临床表现的间隔为13-120天,也有更长时间的报道。这一系列症候群也可见于脑膜瘤。


脑膜瘤误诊为慢性硬膜下血肿先前也有报道。单纯MRI平扫有时不足以区分两者。扁平肥厚型脑膜瘤的常见部位并非大脑凸面,且常伴有骨质增生(50-90%),但本例中均不明显。增强CT和MRI或有助于鉴别,可见均匀强化,骨质增生,钙化和血管受累。


基于多模态影像学检查的准确术前诊断对鉴别扁平肥厚型脑膜瘤不常见不典型表现非常重要,有助于合理手术方案的制定。


[参考文献]

Benjamin K.H. Ho, Katharine J. Drummond. An unusual case of mistaken identity. J Clin Neurosci. 2016 Oct;32:119, 173.




神经病学俱乐部 微信号:NeurologyClub
神经病学俱乐部,立足一线临床,服务神经科同行,助力神经病学天天向上


分享 :