Susac综合征的诊断标准

概述

Susac综合征(Susac syndrome,SuS)是一种罕见的自身免疫性血管病,累及脑、内耳和视网膜的小动脉。临床三联征包括急性脑病,听觉受损和视网膜分支动脉阻塞(Branch retinal artery occlusion,BRAO),具有特异性。然而,在疾病发展较长时间内,患者可能只表现出三联征中一种症状,或因为症状太轻微,抑或是被严重的脑病症状所掩盖。因此,发病时只有13%的患者表现出三联征。诊断标准的缺乏常导致诊断延迟,甚至误诊,以至于延误适当的治疗。SuS最容易被误诊为多发性硬化,被给予针对多发性硬化的免疫治疗方案,可能会导致疾病的恶化。


欧洲Susac协作小组(EuSaC)的专家制定了简单实用的诊断标准,帮助临床医生及时并可靠地诊断SuS,以作为治疗决策的依据,亦供即将开始的临床试验使用。


定义一个SuS参考队列(EuSaC队列)


EuSaC数据库是一个纳入明确诊断SuS患者的参考队列。为此,专家组重新评阅了德国明斯特Susac中心在2004年至2014年期间的所有SuS患者的病例资料。只有那些所有专家都认为可以诊断为SuS的患者才能被纳入。


在EuSaC数据库中筛选出32例明确诊断为SuS的患者,纳入EuSaC队列,作为金标准。女男比例为2.2:1。起病时平均年龄为30.5(±9.6)岁。所有患者均行眼科检查,包括吲哚氰绿眼底血管造影(FLA),以及内耳功能检查。31/32例患者行MRI检查,包括弥散张量成像(DTI)和高分辨3D-T1加权成像。29/32例患者有脑脊液检查结果。每个患者临床资料包括年龄、性别、发病年龄、病程、发病时症状和后续症状、复发加重次数、治疗反应、头颅MRI、眼科检查包括FLA和视野检查、听力检查、血清与脑脊液检验结果。


推荐的诊断标准


专家组推荐的SuS诊断标准如下表。

表1  推荐的SuS诊断标准

I  确诊的SuS

每个标准(1;2;3)都有次级标准(i;ii)需要满足。

1. 脑部受累

i. 临床症状和体征:新发认知功能受损和/或行为异常和/或局灶性神经功能缺损和/或新发头痛。

ii. 影像学:头颅MRI典型表现——T2像(或FLAIR像)上多发、圆形、小的高信号病灶,至少一个胼胝体病灶(“雪球样”)。

为满足第1条标准,需要至少一个临床表现和典型MRI表现。

2. 视网膜受累

i. 临床症状和体征不是必须的。

ii. 眼科检查:FLA见BRAOs或AWH,或者眼底镜或SD-OCT检查见视网膜分支缺血的特征性表现。

为满足第2条标准,需要至少一个FLA上的BRAO或AWH,或眼底镜上视网膜分支动脉缺血,或SD-OCT上见相关损害。

3. 前庭蜗受累

i. 临床症状和体征:新发耳鸣和/或听力下降和/或周围性眩晕

ii. 内耳功能检查:听力图证实的听力下降;特异性检查证实的前庭性眩晕。

为满足第3条标准,需要至少一个临床症状和听力下降或前庭性眩晕,并经内耳功能特异性检查证实。

II  很可能的SuS

不完全的三联征,前述1-3标准中只符合2条。

III  可能的SuS(SuS不是可能性最大的诊断)

对于那些表现出上述三联征中部分临床或亚临床症状的患者,但尚未满足标准I或II,则需要在鉴别诊断中考虑SuS,但不应该作为最可能的诊断。

FLA:吲哚氰绿眼底血管造影;AWH:动脉壁高荧光显像;BRAOs:视网膜分支动脉闭塞;SD-OCT:光谱域光学相干成像。


脑部受累


患者必须表现有脑部受累的临床症状和体征,如意识状态改变、新发认知功能受损、行为异常、新发局灶性神经功能缺损和/或头痛。头痛在普通人群中发病率很高,SuS患者表现出的头痛性质不同。因此,仅对于新发的、性质为偏头痛样或压迫性、且离出现其它症状不超过6个月的头痛,才考虑与SuS相关。


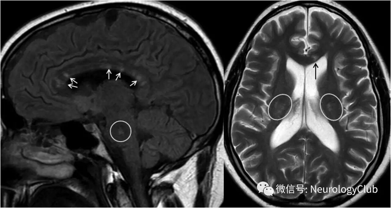
特异性的神经影像学表现,定义为T2/FLAIR像多发圆形病灶,至少需要有一个病灶位于胼胝体(“雪球样”,见图1)。病灶也可表现为不同大小和形状,如矩形、三角形或线形(“条幅状”或“锥状”)。边界清晰的T1低信号病灶,伴或不伴强化,灰质病灶,以及软脑膜强化均支持诊断,但本身无特异性。脑部受累的定义是至少存在一个前述临床表现以及典型的MRI表现。

图1  2例SuS患者的脑部MRI(A)矢状位FLAIR像(胼胝体“雪球样”病灶)和(B)水平位T2


视网膜受累


为达到视网膜累及的标准,下述眼科检查结果至少存在一个:(1)FLA或眼底镜上至少有一个急性BRAO;(2)FLA上在动脉阻塞附近有动脉壁局部高荧光显像(图2);(3)OCT上显示从视神经层至外网层的内侧视网膜层扇形损害。SuS患者的AWH提示视网膜血管壁完整性受损,需与荧光剂渗漏相鉴别,可作为疾病活动度的标志,并未在其它视网膜血管炎中描述。视野缺损或闪光暗点可能支持诊断,有助于开始进一步检查,但尚无法满足视网膜累及的标准。视网膜周围动脉壁斑块具有特异性,但常为短暂性。光谱域光学相干成像(SD-OCT)近期证实可以可靠地检测高度特异性的视网膜病理改变,在疾病后期时FLA上已无法检查到BRAO和AWH,使得SD-OCT成为检测视网膜受累的潜力性方法。


图2  视网膜荧光造影可见多发分支动脉阻塞(短箭头)伴不显影的视网膜血管和典型的视网膜动脉壁高荧光(长箭头)


前庭蜗受累


为达到“前庭蜗累及标准”,下述临床表现至少有一个:(1)耳鸣;(2)听力下降;(3)周围性眩晕。因为这些临床症状并无特异性,听力下降需要经纯音听阈检查或语言听力图证实,主要是中低频受损为主。周围性眩晕需要经前庭功能热试验、眼球震颤描记法和/或前庭诱发肌源性电位等方法证实。

图3  1例SuS患者听力图示典型的中低频听力下降


组织学


文献报道在28/35例患者中,脑组织活检可见微血管病变和/或胶质细胞增生。有报道存在血管周围和/或柔脑膜轻微浸润,以及小动脉壁增厚,但也有部分脑活检完全正常。近期有文献报道,3例患者的脑组织活检可见微梗死,胶原沉积和CD8+T细胞浸润引起血管壁玻璃样变,柔脑膜血管周围淋巴细胞浸润,增大和激活的内皮细胞导致血管闭塞。


脑、肌肉和皮肤的活检结果并不具有特异性,表现各异,可能有助于排除其它疾病。专家组认为SuS的诊断可以基于更加无创性的检查,活检结果不必然支持,或可能导致假阴性。


实验室检查


SuS特异性血清学标记物尚不存在。部分SuS患者存在抗核抗体,但阳性率并不比正常人群高。亦有报道SuS患者存在凝血异常,但病例数太少不支持两者相关性。近年,越来越多研究讨论抗内皮细胞抗体(AECA)在SuS中的作用。虽然SuS患者平均AECA滴度高于正常对照,但研究显示只有25%的SuS患者AECA滴度大于1:100。除了AECA外,亦有其它不同抗体的研究报道,但均不敏感。


脑脊液常规检查常显示总蛋白非特异性升高,提示血脑屏障的破坏。在45%的SuS患者中,有核细胞轻度升高,平均12个/uL,然而鞘内合成或寡克隆带极少见。


总的来说,有必要进行血清学和脑脊液检查来排除鉴别诊断,但脑脊液结果并未作为诊断标准。


治疗反应


由于总的病例数太少和诊断延迟,目前尚无治疗SuS的前瞻性随机对照研究。治疗方法是经验性的,基于其自身免疫性血管病的假设,类似于青少年皮肌炎。在急性发作期,主要是大剂量激素治疗。为预防疾病复发或疾病进展,一般建议进行长期免疫抑制疗法。免疫疗法反应良好并未被纳入作为一项诊断标准。因为较难评估SuS患者的临床缓解程度,而且一些重要鉴别诊断如血管炎和多发性硬化等也对免疫疗法反应良好。


其它MRI检查技术


虽然基于体素的群体水平研究显示弥散张量成像(DTI)具有高度特异性,但由于这项试验性技术并未普及,而未将DTI纳入诊断标准。同样,超高分辨(7T)MRI亦未纳入。DTI和7T MRI的诊断价值也需要更多研究证实。DWI像与ADC图结果不一,因此也未纳入诊断标准。如果DWI升高,ADC值降低,提示病灶为缺血性病变。


诊断标准在文献报道的患者中的应用


统计2012年之前报道的SuS患者共192例,其中107例(56%)患者符合“确诊的SuS”,68例(35%)患者符合“很可能的SuS”。


其中127/192例(66%)患者同时符合脑部累及的临床与MRI标准。几乎所有患者(172/192例,93%)都有中枢神经系统受累的临床表现,在61/62例患者中,颅脑MRI或是未做,或是结果阴性。脑部症状(头痛、脑病、局灶性神经功能缺损)的发病率基本相似(137/127/132例;71%/77%/69%)。


其中185/192例(96%)患者符合视网膜累及的的标准。7例不符合的患者中有5例(71%)未行FLA或眼底镜检查。只有54例(28%)患者有视觉受损,但111例(58%)患者眼科检查发现有视野缺损。因此,视网膜受累的临床症状或体征未纳入标准。所有患者均未行SD-OCT检查。


162/192例(84%)患者符合前庭蜗受累的临床表现标准。眩晕和耳鸣未详细描述。所有患者均经听力图证实有听力下降。其中119例(62%)为双侧听力下降,仅43例(22%)为单侧听力下降。只有6例(3%)患者听力图正常。24例(13%)不符合前庭蜗受累标准的患者,未行内耳功能的检查。


在所有符合很可能的SuS的患者,50/68例(74%)患者符合“前庭蜗受累”和“视网膜受累”的标准,但不符合“脑部受累”的标准。值得一提的是,这50例患者几乎所有患者(48例)或未行MRI检查,或是结果未描述。15例患者(8%)符合“视网膜受累”和“脑部受累”的标准,但不符合“前庭蜗受累”的标准。其中13例患者(7%)无内耳功能的检查。只有3例(2%)患者符合“脑部受累”和“前庭蜗受累”的标准,但不符合“视网膜受累”的标准,然而2例(1%)患者未行FLA或眼底镜检查。

讨论


对于表现为近期起病的脑病症状、局灶性神经功能症状和头痛,视网膜分支动脉病变和前庭蜗功能异常伴有典型MRI或FLA表现的患者,诊断SuS不难,鉴别诊断较少。然而,在起病时,只有少数患者表现为三联征,使得早期诊断具有挑战性。不管如何,早期诊断对正确治疗以及预防严重损害至关重要。假设标准化和易行的诊断标准有助于正确诊断。


2012年以前报道的所有患者中大于90%的患者符合推荐标准“确诊的SuS”或“很可能的SuS”,有56%患者符合“确诊的SuS”。如果所有的患者都做了完整的检查,那么符合确诊的和很可能的SuS患者会更多。这是因为部分案例报道主要关注于眼科或前庭蜗的症状。


总结


此为关于SuS的第一个诊断标准,目的是减少误诊和治疗的延误。反之,过于激进的免疫疗法可能会导致不必要的副反应。新建立的诊断标准有助于治疗时机的把握,何时给予积极的免疫治疗,何时需要继续随访观察。专家组建议对于符合确诊的SuS或很可能的SuS患者,应给予特定的治疗。


[参考文献]

Kleffner I, Dörr J, Ringelstein M, Gross CC, Böckenfeld Y, Schwindt W, Sundermann B, Lohmann H, Wersching H, Promesberger J, von Königsmarck N, Alex A, Guthoff R, Frijns CJ, Kappelle LJ, Jarius S, Wildemann B, Aktas O, Paul F, Wiendl H, Duning T; European Susac Consortium (EuSaC).Diagnostic criteria for Susac syndrome.J Neurol Neurosurg Psychiatry. 2016 Dec;87(12):1287-1295.


lql编译,zyx审校


温馨提醒

请尊重我们的劳动成果,转载请注明出处哦~~~



神经病学俱乐部 微信号:NeurologyClub
神经病学俱乐部,立足一线临床,服务神经科同行,助力神经病学天天向上


分享 :