岛盖综合征(Opercular syndrome)

概述

岛盖综合征(Opercular syndrome),也称为 Foix-Chavany-Marie综合征Foix-Chavany-Marie syndrome,FCMS),是一种少见的皮质型假性球麻痹(即面-唇-舌-咽-喉-臂麻痹[facio-labio-glosso-pharyngo-laryngo-brachial paralysis]),表现为面部、舌、咽喉和咀嚼肌的随意运动麻痹,而自主、反射运动保留,称为“自主-随意运动分离”。1837由德国医生Magnus首先描述,1926年法国医生Foix等正式报道并将其命名。岛盖指覆盖于岛叶、叶下部、中央前、后回、缘上回、角回和颞上回的大脑皮质。包括下运动区在内的岛盖前部,是FCMS最常受累部分,所以常被称为前岛盖综合征(anterior opercular syndrome)。


病因


儿童FCMS大多数继发于单纯疱疹性脑膜脑炎,也可见于获得性癫痫性岛盖综合征(acquired epileptiform opercular syndrome,AEOS)。此外,先天性神经发育异常性疾病也是儿童FCMS的主要病因。这类患者除了面肌、咽喉肌和咀嚼肌麻痹以外,还存在一些发育异常,如发育迟缓、关节挛缩、漏斗胸、小颌畸形、听力丧失或偏瘫等。头颅影像学和病理可以发现一些岛盖部先天性畸形,如外侧裂多小脑回或脑裂畸形、岛叶暴露,脑室旁灰质异位或透明隔缺失。


成人FCMS最常见的病因是缺血性脑卒中,因为前岛盖区域由大脑中动脉外侧裂支供血,对缺血非常敏感。还可见于脑外伤、肿瘤、感染、多发性硬化、血管炎、癫痫、外侧裂发育不良和神经退行性疾病等。


临床表现


FCMS主要表现为面部、咽喉部、咀嚼肌、舌肌和臂丛肌肉麻痹,但是自主反射运动保留,如吸吮反射、咽反射、打哈欠和大笑等,称为“自主-随意运动分离”,这是FCMS的特征性表现。患者可以呈现特殊面容,多为面无表情、嘴巴半张伴流涎,伴有面瘫、构音障碍和吞咽障碍。


因面部、舌和咽喉部肌肉的随意运动由双侧大脑皮质第一运动区和下行锥体束控制,而自主运动、情绪反应由丘脑、下丘脑和锥体外系控制。所以,双侧皮质运动区和脑干核团之间联系纤维的结构性或功能性阻断,可导致FCMS的自主-随意运动分离。



(图1:前岛盖综合征患者的面容。A:嘴巴半张伴流涎;B:伸舌困难)


(图2:A:嘱患者露出牙齿,可见左侧部分瘫痪,右侧全部瘫痪[随意运动];B:患者听完笑话后发笑对称,未见瘫痪[自主运动])



(视频:起病2天时的查体,患者不会讲话,仅能发出旁人难以理解的声音。其他随意运动缺损包括口,颊,舌功能受限等


表1  岛盖综合征的临床类型

双侧岛盖综合征

单侧岛盖综合征

前(额叶)或经典型

后(顶叶)

单侧前*

单侧后

----咀嚼麻痹伴随意-自主运动分离

纯词聋

哑伴对侧上运动神经元性(核上性)颅神经麻痹

“手-口综合征(Cheiro-Oral syndrome)”对侧手和面部感觉缺失

*偶可见单侧岛盖病变引起双侧症状


表2  岛盖综合征与球麻痹以及假性球麻痹的鉴别诊断


球麻痹

假性球麻痹

岛盖综合征

病灶部位

核性/核下性(脑干/神经/神经肌肉接头/肌肉疾病)

核上性(上运动神经元)(双侧皮质-延髓通路)

皮质变异型核上性麻痹(双侧岛盖皮质或其皮质下投射)

无力

弛缓性

痉挛性

存在,无法分类

萎缩

++

-

缺失

肌束颤动

++

-

缺失

吞咽困难

++严重,鼻腔返流

轻度,咳嗽多于鼻腔返流

中度,咳嗽和鼻腔返流相当

言语

鼻音,声音嘶哑,低沉

声音单调,粗顿,痉挛性

混合性,痉挛性言语伴鼻音

自主运动

缺失

缺失

存在

面部无力

下运动神经元性

如果存在,为上运动神经元性

难以分类

咽反射

缺失

存在

缺失

下颌反射

缺失

亢进

正常/缺失

其他原始反射释放(即病理性脑干反射):吸吮反射/仰头反射/额叶释放征等

缺失

存在

缺失

情绪失控

缺失

存在(如强哭强笑)

缺失

肢体上运动神经元长束征

存在(脑干病变)/缺失(核下性病变)

存在

存在/缺失


影像学特点


FCMS的影像学表现与病因密切相关,MRI为首选检查关于引起FCMS症状的责任病灶,需注意以下几点:第一,由于双侧皮质脑干束同时支配第5、7、9和10脑神经核,所以FCMS多见于双侧病变,单侧病变很少引起FCMS。第二,责任病灶不仅限于岛盖皮质区,而且可以涉及双侧第一运动区皮质和脑干运动核团之间的任何区域。患者可以表现为双侧岛盖皮质病灶、一侧岛盖皮质和对侧皮质下病灶,或者双侧皮质下病灶等。第三,所谓双侧病变不仅包括结构性病变,还包括功能性病变。比如少数FCMS患者的头颅MRl只显示单侧病灶,这时通过SPECT可能发现对侧功能性病灶。另外,AEOS中,持续的脑电异常放电可以影响双侧岛盖皮质功能,使患者表现出FCMS症状;随着癫痫控制,脑电图好转,功能性病灶消失,FCMS症状也可以随之缓解。但是,仍有少数报道显示FCMS可见于单侧结构性和功能性病灶。


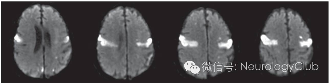
病例1:双侧前岛盖梗死所致的FCMS


(图3:DWI上可见双侧前岛盖梗死)


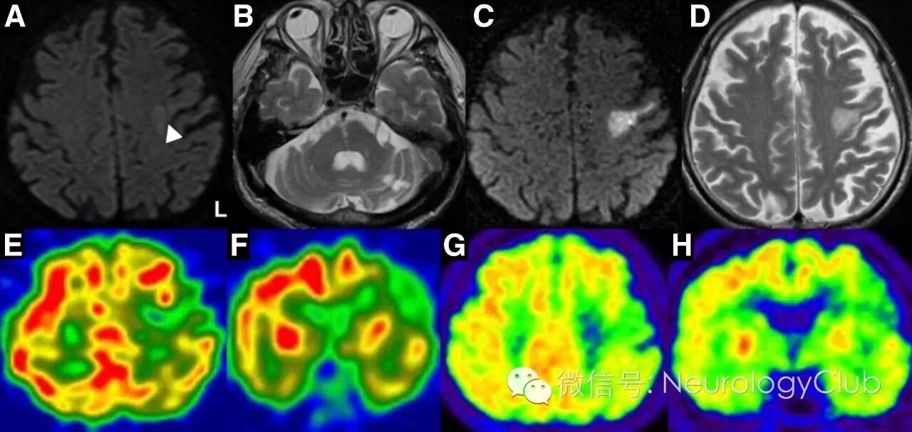
病例2:单侧前岛盖梗死所致的FCMS


(图4:A:起病3小时的DWI可见左侧前岛盖高信号[箭头];B:T2WI提示右侧脑桥和左侧小脑半球陈旧性梗死;C-D:起病第5天的DWI和T2WI提示左侧前岛盖急性梗死;E-H:SPECT和18F-FDG-PET提示新病灶血流减少,葡萄糖代谢降低,对侧半球无明显异常)


病例3:双侧外侧裂周梗死所致的FCMS


(图5:A-B:T2WI/FLAIR上可见双侧岛叶皮层高信号[箭];C:增强后右侧病灶强化,左侧无;D-E:DWI和ADC提示弥散受限;F:MRA正常)


病例4:单纯疱疹性脑炎所致FCMS


(图6:MRI提示双侧岛盖区域高信号)


病例5:多发性硬化所致FCMS


(图7:A:FLAIR可见右侧近皮层处外侧裂周病灶[箭],左侧亦可见;B:增强后右侧外侧裂周病灶强化)


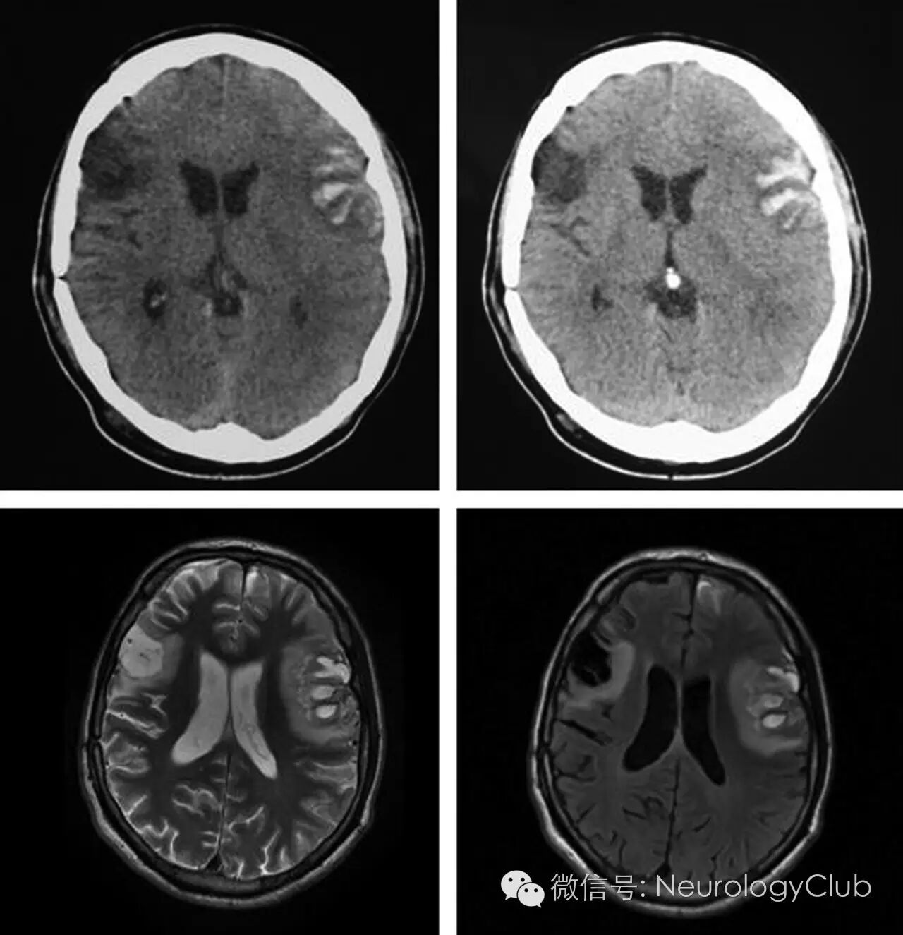
病例6:脑外伤所致的FCMS

(图8:CT和MRI证实双侧创伤性岛盖病灶)

治疗与预后


FCMS的病程、治疗和预后与病因相关。病程可以表现为持续性、进展性或可逆性,其中持续性病程最为常见。可逆性病程可见于AEOS患者,或者致病因素可去除的患者。反之,进展性病程见于致病因素持续进展的患者。


[参考文献]

1. 董立羚, 周祥琴.岛盖综合征的临床分析.中华神经科杂志.2016年7期

2. Desai SD, Patel D, Bharani S, Kharod N.Opercular syndrome: A case report and review.J Pediatr Neurosci. 2013 May;8(2):123-5.

3. Dong LL, Zhou XQ.Clinical Reasoning: An 11-year-old boy with language disorder and epilepsy.Neurology. 2016 Feb 2;86(5):e48-53.

4. De Kleermaeker FG, Bouwmans AE, Nicolai J, Klinkenberg S.Anterior opercular syndrome as a first presentation of herpes simplex encephalitis.J Child Neurol. 2014 Apr;29(4):560-3.

5. Bursaw A, Duginski T.Anterior opercular syndrome caused by acute, simultaneous, isolated bilateral infarcts.Arch Neurol. 2011 Feb;68(2):254-5.

6. Ohtomo R, Iwata A, Tsuji S.Unilateral opercular infarction presenting with Foix-Chavany-Marie Syndrome.J Stroke Cerebrovasc Dis. 2014 Jan;23(1):179-81.

7. Jadhav AP, Zenonos G, Pless M, Jovin TG, Wechsler L.A variant of the anterior opercular syndrome with supranuclear gaze palsy.JAMA Neurol. 2013 Jun;70(6):800-1.

8. Kaloostian P, Chen H, Harrington H.Reversible Foix-Chavany-Marie Syndrome in a patient treated for hydrocephalus.J Surg Case Rep. 2012 Oct 1;2012(10):11.

9. Konieczny PL1, Eidelman BH, Freeman WD.Teaching video neuroimage: Foix-Chavany-Marie syndrome.Neurology. 2008 May 20;70(21):e88.

10. Pender MP, Ferguson SM.Dysarthria and dysphagia due to the opercular syndrome in multiple sclerosis.Mult Scler. 2007 Jul;13(6):817-9.

11. Singh A, Kate MP, Nair MD, Kesavadas C, Kapilamoorthy TR.Bilateral perisylvian infarct: a rare cause and a rare occurrence.Singapore Med J. 2011 Apr;52(4):e62-5.

12. Campbell E, St George EJ, Livingston A, Littlechild P.Case report of transient acquired Foix-Chavany-Marie syndrome following sequential trauma.Br J Neurosurg. 2009 Dec;23(6):625-7.


温馨提醒
请尊重我们的劳动成果,转载不要忘了注明出处哦~~~



神经病学俱乐部 微信号:NeurologyClub
神经病学俱乐部,立足一线临床,服务神经科同行,助力神经病学天天向上


分享 :