62岁男性,进行性头痛和右侧肢体无力7天


62岁男性,表现为进行性头痛和右侧肢体无力7天。患者在16年前因糖尿病肾病接受肾移植。术后长期服用强的松和麦考酚酸酯。查体提示右侧轻偏瘫。头颅MRI可见左侧额叶占位性病变(图1)。血液学检查结果无殊。


(图1:FLAIR[A]和T2WI[B]可见左侧额叶较大的脑内肿块[箭];T1增强[C]可见明显的周围强化[箭];磁敏感加权成像[D]提示病灶内出血[箭];DWI[E]和对应的ADC[未放图]证实弥散受限[箭];怀疑脑肿瘤,但动脉自旋标记灌注成像[F]提示低灌注[箭])


诊治经过

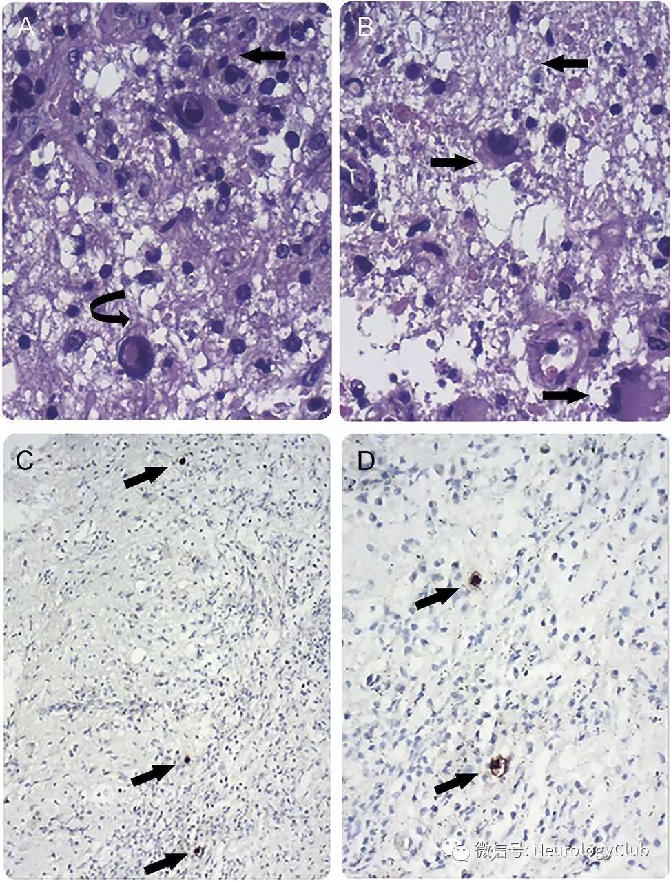
活检仍没有定论。行手术治疗,病理证实为巨细胞病毒(CMV)感染(图2)。更昔洛韦治疗后患者好转。


(图2:A-B:HE,×200,细胞病变效应伴细胞内嗜碱性包涵体[弯箭],炎症浸润伴坏死[直箭];C-D:免疫组化提示巨细胞病毒CCH2+DDG9克隆[箭],分别×40和×100)


最终诊断

巨细胞病毒感染


讨论

成人中枢神经系统CMV感染通常见于免疫抑制患者。常见的神经系统表现包括多发神经根神经病,脊髓炎和脑炎。神经影像学特征包括脑室旁异常信号。极少数情况下,CMV可表现为假瘤样病灶。


[参考文献]

Rocha Marussi VH, Pedroso JL, Freitas LF, Baeta A, Lancellotti CL, Barsottini OG1, Bulle Oliveira AS, Amaral LL.Teaching NeuroImages: Cytomegalovirus infection mimicking a brain tumor in a kidney transplant recipient.Neurology. 2016 Dec 6;87(23):e281-e282.




神经病学俱乐部 微信号:NeurologyClub
神经病学俱乐部,立足一线临床,服务神经科同行,助力神经病学天天向上


分享 :