中年男性,车祸后发现的颅内病变


52岁男性,因机动车碰撞入院。查体提示格拉斯哥昏迷量表评分15分,右下肢轻瘫。CT平扫提示左侧额叶病灶。再行MRI可见左侧额上回肿块,怀疑高级别胶质瘤(图1)。


(图1:A:FLAIR可见左侧额叶肿块,边界浸润至脑内,伴血管源性水肿,压迫左侧脑室;B:T2*可见低信号,提示钙化,出血或两者兼有;C-D:T1增强可见肿瘤不均匀强化;未见脑膜瘤典型征象,如脑膜尾征或脑脊液分裂征)


诊治经过

术中可见肿瘤边界不清,呈侵袭性,整体血管丰富,有出血,无明显的硬脑膜附着。初步诊断为胶质瘤。最终病理符合脑膜瘤伴局灶性脑内侵袭和杆状分化,无间变表现,WHO II级(图2)。预后与WHO级别相关。脑内侵袭是WHO非典型脑膜瘤新的一条诊断标准。


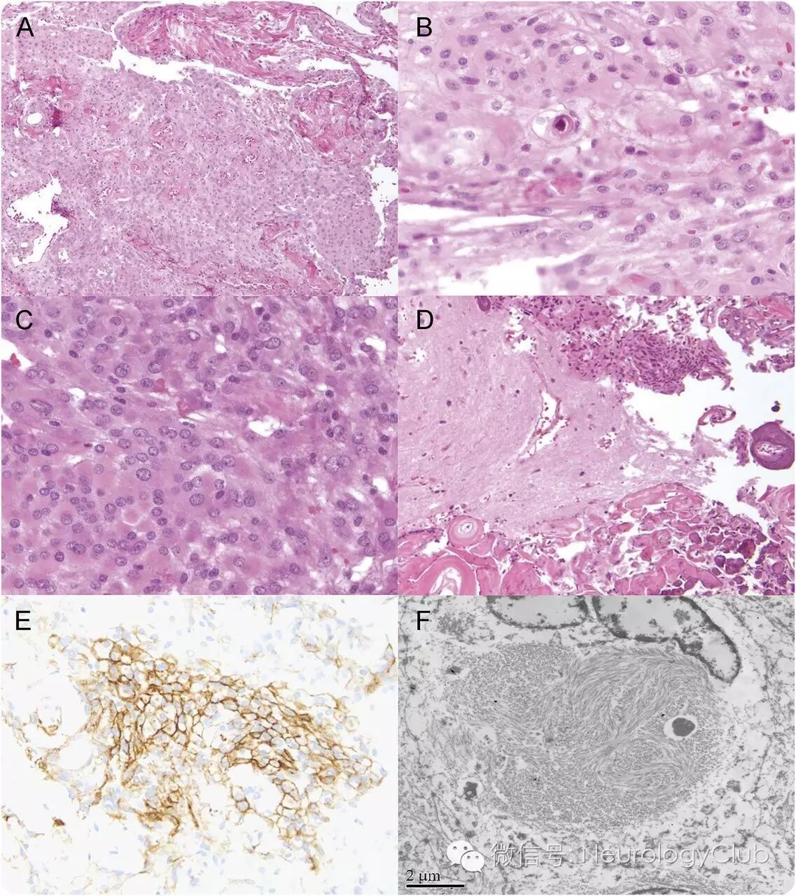
(图2:A:过渡型脑膜瘤伴分泌区,×10;B:罕见砂粒体,×40;C:杆状分化伴嗜酸性胞质内包涵体,细胞核核仁明显,无明确异型性或有丝分裂,×40;D:局部脑内侵袭,×10;E:弥漫的上皮膜抗原阳性,×40;F:电镜:肿瘤细胞内中间丝呈同心圆排列)


最终诊断

脑膜瘤


[参考文献]

Ahmed AK, Morrison JF, Lakis NS, Stopa E, Doberstein C.Atypical meningioma mimicking high-grade glioma.Neurology. 2016 Nov 22;87(21):2281-2282.




神经病学俱乐部 微信号:NeurologyClub
神经病学俱乐部,立足一线临床,服务神经科同行,助力神经病学天天向上


分享 :