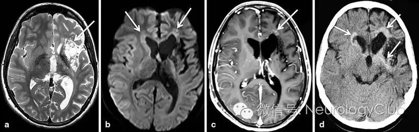
15岁男孩,缓慢进展的轻偏瘫,偏侧基底节萎缩伴多囊病灶


15岁高加索男孩,表现为数月缓慢进展的轻偏瘫,从右侧上肢开始,后累及下肢(肌力4级)。患者言语功能退化,包括清晰度和流畅度,学习成绩下降,反复夜间遗尿。患者在婴儿早期曾经历一次缺血性事件,长期遗留右侧面部瘫痪,尽管当时未行影像学检查。MRI提示多囊病灶伴左侧基底节区萎缩(图a)。前额叶白质和左侧基底节区可见FLAIR高信号,DWI高信号(图b),T1增强可见沿着胼胝体膝部和尾状核头的微小部分强化囊性变(图c)。CT平扫可见这些病灶呈高密度(图d)。左额部强化病灶行立体定向活检提示生殖细胞瘤。



(图:a:T2WI;b:DWI;c:T1增强;d:CT)


最终诊断

生殖细胞瘤


讨论

大约50-65%的颅内生殖细胞瘤生长于松果体区,大约30%位于鞍上区,仅5-10%的颅内生殖细胞瘤见于基底节/丘脑区。基底节/丘脑区的生殖细胞瘤以男性居多,病程偏良性,大约20%的患者可伴有基底节区萎缩,肿瘤本身可隐匿数年。临床医生应认识这种类型的生殖细胞瘤,仔细寻找其相对特征性的影像学表现(弥散受限,CT高密度)。


[参考文献]

Maurer CJ, Trippel M, Korinthenberg R, Urbach H.Teaching Neuroimages: Basal Ganglia Germinoma with Hemiatrophy.Clin Neuroradiol. 2016 Mar;26(1):97-8.




神经病学俱乐部 微信号:NeurologyClub
神经病学俱乐部,立足一线临床,服务神经科同行,助力神经病学天天向上


分享 :