中年女性,治疗克罗恩病过程中出现偏瘫,颅内多发病变


57岁女性,既往体健,因直肠出血就诊。CT提示全结肠炎,结肠镜活检提示非典型炎症性肠病。尽管给予静脉抗生素和氢化可的松治疗,但症状持续。入院第2周再次出现发热,全腹压痛明显。复查结肠镜提示克罗恩病,二次活检证实了这一诊断。入院第20天开始英夫利昔单抗和疗程21天的糖皮质激素治疗。


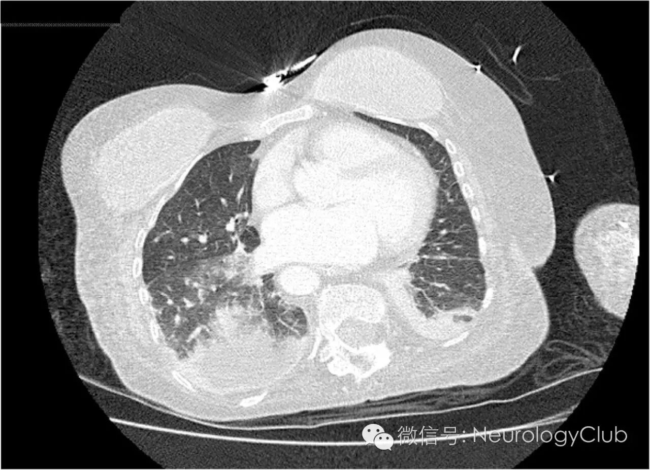
患者症状改善不佳。入院第22天行全结肠切除及回肠末端造口术。术后转至ICU继续治疗。胸部CT(图1)提示两肺渗出,胸腔积液,考虑呼吸机相关性肺炎,予万古霉素治疗。住院期间血培养阴性。痰培养提示寡养单胞菌,偶可见烟曲霉菌。抗生素调整加用伏立康唑,后改为泊沙康唑和美罗培南。


入院第42天患者出现左侧眼球突出,左侧轻偏瘫。头颅MRI提示大脑半球散在多发环形强化病灶(图2)。



(图1:入院第37天胸部CT提示双肺渗出,胸腔积液)



(图2:神经系统症状出现时的头颅MRI。T2WI上可见中央低信号的典型脓肿样表现[箭],注射对比剂后呈环形强化,有占位效应)


诊治经过

患者行开颅病灶切除活检术。镜下可见脓肿标本内有隔菌丝,PCR证实为曲霉菌属。根据澳大利亚播散性肺曲霉菌病国家指南给予两性霉素B治疗。后复查MRI提示幕上幕下环形强化病灶变大变多,神经系统症状进一步恶化。最终患者去世。


最终诊断

曲霉菌病


讨论

曲霉菌感染是导致免疫功能不全患者致死性肺炎的最常见原因,可通过血行播散引起中枢神经系统实质病变。在一包含2011例肺曲霉菌病患者的研究中,有40%出现肺外受累,最常见的为脑脓肿和鼻窦炎。肺部曲霉菌感染的影像学表现无特异性,有研究发现82%的患者早期可出现晕轮征(halo sign)。


英夫利昔单抗是一种针对肿瘤坏死因子-α的药物,在克罗恩病治疗中发挥巨大作用。但因其使用的增多,伴随的肉芽肿性和非念珠菌属真菌感染也有上升趋势。


侵袭性肺曲霉菌病曾报道见于1例使用英夫利昔单抗但未同时接受其他免疫抑制药物治疗的克罗恩病伴瘘管形成的患者中。显而易见的,糖皮质激素,英夫利昔单抗和硫唑嘌呤均有免疫抑制作用,任何两者或三者合用较单用增加5倍机会性感染的概率。


中枢神经系统脓肿的治疗包括恰当部位的神经外科引流。先于手术的抗真菌治疗能明显改善患者预后。中枢神经系统真菌感染的死亡率可高达90%,先前有报道伏立康唑治疗能提高生存率,因较其他抗真菌药物具有更高的中枢神经系统渗透率。


免疫抑制剂在临床上的应用越来越广,但其可能带来的感染并发症尚未得到很好的重视。


[参考文献]

Bourne EL, Dimou J.Invasive central nervous system aspergillosis in a patient with Crohn's disease after treatment with infliximab and corticosteroids.J Clin Neurosci. 2016 Aug;30:163-4.

分享 :