白血病患者,突发意识状态改变,肢体无力伴恶心呕吐


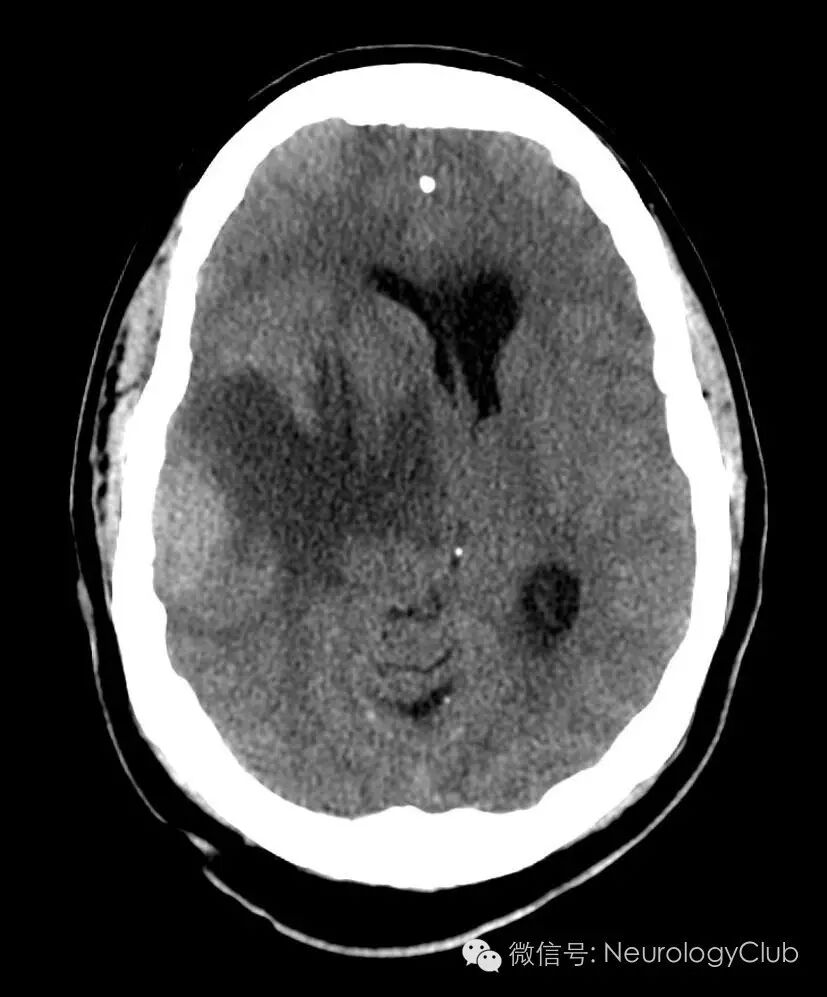
48岁女性,既往有高血压,糖尿病,高脂血症,近期髓系白血病急性变行尼洛替尼化疗,本次表现为意识状态改变,左上肢无力,恶心呕吐,推测可能为卒中。大约12小时前,患者完全正常。查体提示患者思睡,对自身病史不能很好回忆。时间,姓名回答正确,能遵嘱动作。存在构音障碍。右侧肢体肌力5级,左侧肢体2级伴左侧面瘫。CT提示右侧额颞叶高密度,像出血的卵圆形肿块(图1)。MRI证实右侧大脑凸面4.7×2.7cm附着于硬脑膜的强化病灶(图2)。



(图1:横断面CT提示右侧额颞叶一较大的高密度的卵圆形肿块伴血管源性水肿和中线移位)


(图2:A:T1增强提示右侧额颞叶附着于硬脑膜的4.7×2.7cm强化病灶;B:T2WI提示明显的血管源性水肿伴中线移位和脑室受压变形;C:DWI上病灶呈高信号)


诊治经过

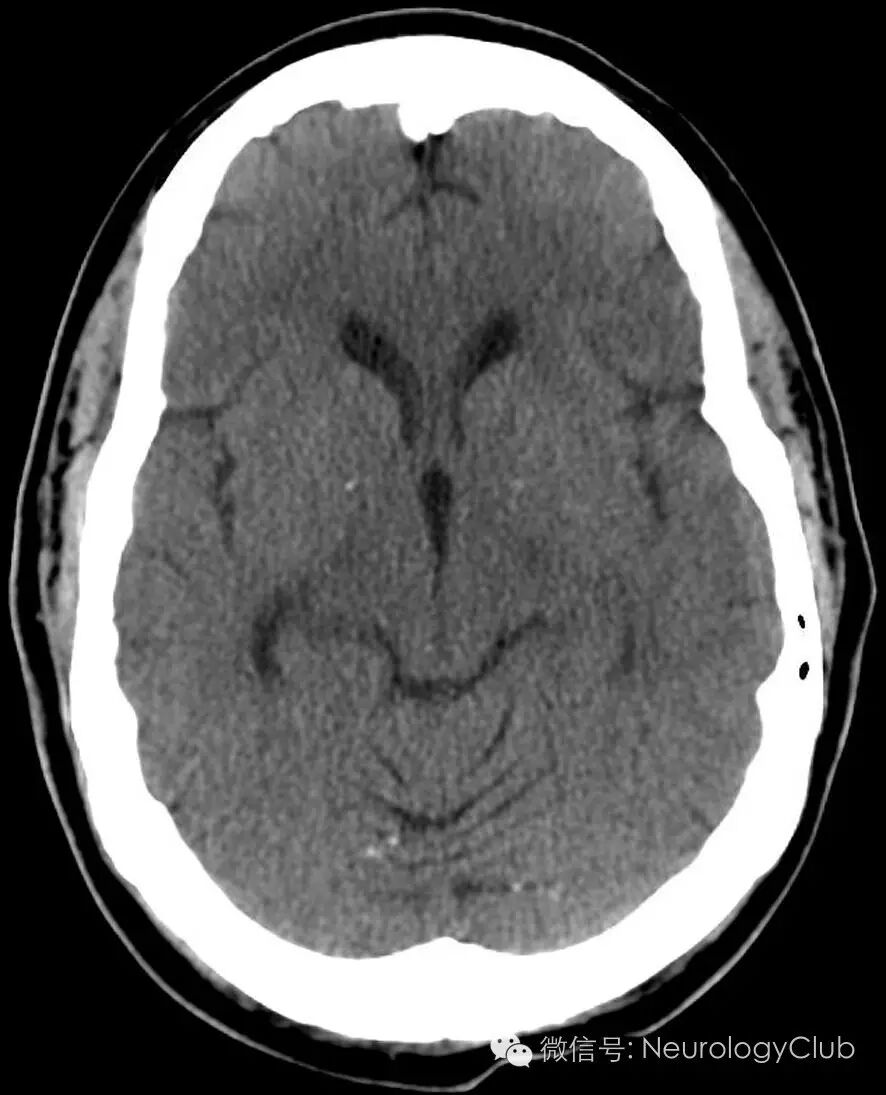
基于患者既往慢性髓系白血病病史和MRI表现,粒细胞肉瘤(绿色瘤)是最可能的诊断。给予激素和甘露醇减轻血管源性水肿。请放疗科和血液科会诊。患者行全脑放疗,并继续达沙替尼化疗。患者肌力逐渐改善恢复至两侧基本对称。7周后复查CT提示病灶对化疗和放疗效果明显(图3)。



(图3:复查CT提示右侧额颞叶病灶几乎完全消失)


最终诊断

粒细胞肉瘤(绿色瘤)


讨论

粒细胞肉瘤(绿色瘤)是一种罕见的实体肿瘤,通常累及髓系白血病患者的髓外器官。其他血液系统恶性肿瘤如骨髓增生异常综合征也可伴发该肿瘤。颅内绿色瘤不常见,认为可能起源于颅骨骨髓。肿瘤实质内含有未成熟的髓样细胞,可侵袭脑实质或脑膜。脑实质受累非常罕见,仅有极少的报道。绿色瘤更多见于儿童和年轻人,而本例为中年人,相对少见。


典型的绿色瘤在CT上表现为高密度病灶,可类似于脑膜瘤或脑实质肿瘤。MRI上的表现尚不明确,但通常有强化并伴有血管源性水肿。病灶最常累及颞叶,其次是额叶和后颅窝。因为肿瘤附着于硬脑膜,其鉴别诊断包括一些常见的肿瘤,因此可能误诊。髓系白血病的病史,伴或不伴急性变,对诊断非常重要。另外,其他血液系统肿瘤,先前骨髓移植或免疫抑制治疗病史对缩小鉴别诊断大有裨益。


[参考文献]

Kyle A. Smith.Intracranial mass in a patient with leukemia.J Clin Neurosci. 2016 Jul;29:168, 207.




神经病学俱乐部 微信号:NeurologyClub
神经病学俱乐部,立足一线临床,服务神经科同行,助力神经病学天天向上


分享 :