老年男性,进行性双下肢无力,左面部无力和复视2月


69岁白人,主诉进行性双下肢无力,左面部无力和复视2月,6月内体重下降20.4kg,新近出现尿失禁。2月前,患者因症状性椎管狭窄行L3-S1腰椎板切除术。即便如此,患者下肢无力逐渐加重。否认头痛,发热,咳嗽,无免疫缺陷的危险因素,也未到其他地方旅游。


既往有高血压病史,抽烟每年50包。查体:患者较瘦,外观虚弱,生命体征平稳,精神尚可。颅神经检查提示视敏度20/400OS,瞳孔传入障碍以及左侧面部包括闭眼无力。四肢肌容量减少伴肌张力减退,胸部和下肢可见明显的肌束颤动。下肢肌力2级,反射消失,但感觉完好。


最初的实验室检查提示血常规和胸片正常。MRI提示大脑凸面,小脑,和包括马尾在内的脊髓软脑()膜强化(图1)。脑脊液检查可见白细胞计数29/μL,几乎全为淋巴细胞,红细胞计数363×10^6/μL,蛋白水平0.142g/dL,糖19mg/dL。脑脊液细胞学检测未发现恶性肿瘤细胞。脑脊液培养未见结核和真菌生长。重复流式细胞术检查未发现异常B细胞或T细胞群。全身PET-CT扫描可见广泛的软脑(脊)膜和神经根代谢增高,无原发肿瘤证据。



(图1:腰椎矢状位T1WI平扫[A]和增强[B]可见腰髓,马尾软脊膜强化以及椎管狭窄术后改变)


诊治经过

本例患者表现为亚急性的进行性颅神经麻痹和腰骶神经根病,MRI上可见多灶软脑(脊)膜强化,脑脊液检查提示淋巴细胞增多和糖减少。2次活检仅可见反应性炎症,无明确的恶性肿瘤或感染。


诊断考虑变异型中枢神经系统淋巴瘤可能性大,因为重复脑脊液检测证实持续性的淋巴细胞增多,尽管没有单克隆性的证据,此外,弥漫的软脑(脊)膜受累伴无痛性临床过程,且无感染证据也不考虑其他疾病。鉴别诊断包括神经结节病,但患者无淋巴结肿大,影像学上未见肉芽肿改变,血清血管紧张素转化酶阴性都不支持。其他部位原发肿瘤因脑脊液细胞学和全身PET结果阴性也不考虑。多次脑脊液抗酸染色阴性,血QuantiFERON阴性,故结核病依据也不足。


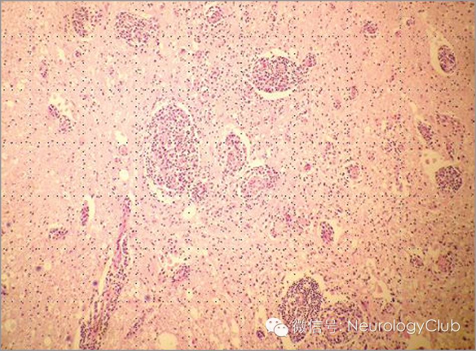
患者神经系统症状进行性恶化,不久后去世。起病3月后的尸检提示为非霍奇金弥漫大B细胞淋巴瘤伴突出的软脑(脊)膜受累。病理学HE染色证实原发性中枢神经系统淋巴瘤伴典型的血管中心性淋巴细胞聚集特征,免疫组化进一步证实了这一诊断(图2)。



(图2:患者腰髓尸检切片,可见多灶神经组织中-大的不典型淋巴样细胞浸润,伴开放染色质,胞质增加和不同程度的核分裂[HE,×10];免疫组化染色可见大量CD20阳性细胞和一小部分CD3阳性细胞,CD10,Bcl-6和MUM1亦阳性,符合弥漫大B细胞淋巴瘤的诊断


最终诊断

原发性中枢神经系统淋巴瘤(软脑脊膜变异型)


讨论

2013年,国际原发性中枢神经系统淋巴瘤协作组报道了48例仅累及软脑(脊)膜而不伴有脑实质受累的患者,全面的描述了这一罕见中枢神经系统淋巴瘤变异型的流行病学,诊断和治疗,将其命名为原发性软脑(脊)膜淋巴瘤。


根据该研究,在免疫健全个体中,原发性软脑(脊)膜淋巴瘤患者男性稍多于女性,平均发病年龄约为50余岁。临床主要表现为颅神经麻痹和腰神经根病。磁共振可见软脑(脊)膜强化不伴有明显的脑(脊髓)实质受累。67%的患者脑脊液细胞学检查可见恶性肿瘤细胞,80%的患者流式细胞术和基因重排证实单克隆B或T细胞群。所有患者脑脊液结果异常,表现为白细胞增多(平均96/×10^3/μL),蛋白升高(平均235g/dL)以及糖降低(平均47mg/dL)。这一亚型淋巴瘤多为非霍奇金弥漫大B细胞淋巴瘤。1/3的患者需要脑(脊)膜活检方能确诊。治疗需根据患者发病时自身的功能状况决定,主要包括化疗或联合全脑放疗。


该研究中并没有尸检报道,因为这些患者主要通过脑脊液或脑(脊)膜活检明确。本例患者为原发性中枢神经系统淋巴瘤的罕见变异型,尽管多次脑脊液样本和脑(脊)膜活检未见明显异常,但最终通过尸检明确了诊断。


[参考文献]

Vargas TC, Thomas RL, Erickson JC.Leptomeningeal Enhancement in a Patient With Progressive Cranial Neuropathies and LumbosacralRadiculopathies.JAMA Neurol. 2016 Mar 1;73(3):345-6.



神经病学俱乐部 微信号:NeurologyClub
神经病学俱乐部,立足一线临床,服务神经科同行,助力神经病学天天向上


分享 :