脑淀粉样血管病相关炎症

概述

脑淀粉样血管病(cerebral amyloid angiopathy,CAA)是一种以β淀粉样蛋白(Amyloid β,Aβ)沉积于颅内微血管为特点的神经系统变性疾病。近年来有研究发现一些颅内血管Aβ沉积的患者中同时存在血管炎症,现普遍称之为脑淀粉样血管病相关炎症(Cerebral amyloid angiopathy related inflammation,CAA-I),因其不仅包含了Aβ沉积引起的血管内炎症,也包括了血管周围炎症。目前的观点认为,CAA-I是一种潜在可治且效果良好的CAA亚型。临床上常表现为急性或亚急性认知功能减退、头痛、癫痫或局灶性神经功能缺损等,对免疫抑制治疗反应较好。


1病因与发病机制


CAA-I的病因及发病机制尚不明确,可能由于Aβ自身抗体介导的机体对血管内Aβ沉积的一种特异性自身免疫反应所导致。此外,CAA-I患者相比单纯CAA患者APOEε4/ε4基因表达率明显升高,提示了APOEε4/ε4基因在对Aβ的免疫反应中可能起着重要促进作用。


2临床特征


CAA-I的发病年龄较CAA小,平均为63岁。多呈急性或亚急性起病,最常见的表现是认知及行为改变,可表现为不同程度的痴呆、幻觉、人格改变、意识障碍甚至昏迷,其次是偏瘫、偏身感觉障碍、失语、共济失调等局灶性神经功能受损表现。以癫痫、头痛等症状起病的患者亦不在少数。脑脊液检查最明显的改变为蛋白升高,其次为细胞数轻度升高,脑脊液Aβ40和Aβ42浓度降低,Aβ抗体可呈阳性。70%以上的CAA-I患者表达为ApoEε4/ε4基因型。表1归纳了72例CAA-I的临床特点。




3影像学表现


CT平扫可提示皮质下广泛低密度病灶,通常累及颞叶或额叶。几乎所有患者的MRI均异常,主要表现为T2或FLAIR上单发或多发的白质高信号,可伴水肿,病灶常为非对称性,可散在分布或融合成片或呈肿瘤样伴占位效应,灰质较少累及T2*WI上绝大多数患者存在皮质-皮质下微出血,部分患者皮质-皮质下既有微出血又有大出血,只有少数患者表现为大出血。约50%患者有脑白质疏松表现,50%患者有脑膜轻度增强。脑血管造影可见约22%患者存在轻度的双侧脑血管狭窄,主要是大脑中动脉、大脑前动脉的小分支。



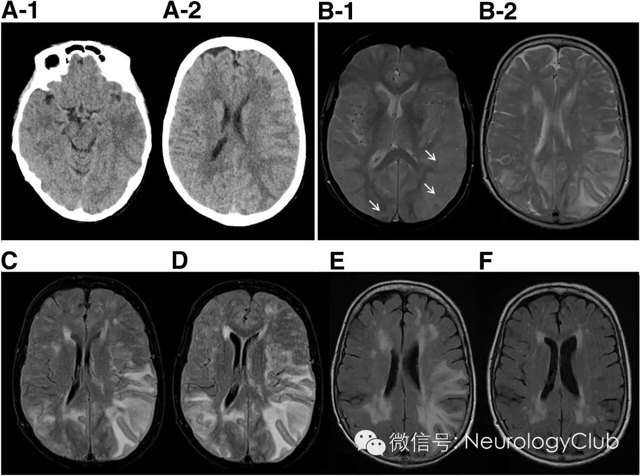
(A:CT提示左侧颞叶低密度伴水肿;B-D:入院第2、4、12天的MRI;B-1:T2*WI可见多发微出血[箭头];B-2,C-D:T2WI和FLAIR提示逐渐融合的白质高信号病灶;E-F:激素治疗后复查,30天和9月后的FLAIR上可见T2高信号病灶逐渐减退,仅遗留与年龄相关的白质病变)



(59岁男性。A:SWI上可见脑叶弥漫微出血灶;FLAIR提示皮质下双侧不对称性高信号病灶)



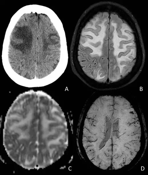
(78岁女性,表现为快速进展性痴呆。A:最初的CT可见双侧额叶皮质下大片低密度病灶;B:FLAIR上弥漫病灶呈高信号;C:ADC未见弥散受限;D:SWI证实双侧大脑半球皮质-皮质下多发微出血)



(68岁男性,头痛4周。A:FLAIR可见左侧顶叶大片皮质下高信号病灶;B:SWI证实双侧皮质-皮质下多发微出血;C:9月后复查病灶基本消失)



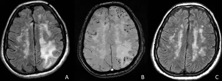
(80岁女性,表现为全面性癫痫发作和波动性右侧轻偏瘫。A:FLAIR上可见右侧额叶大片皮质下高信号;B:4月后复查病灶消失;1年后患者出现快速进展性遗忘型认知功能障碍。C:FLAIR上可见顶叶新病灶;D:3月后复查病灶消失



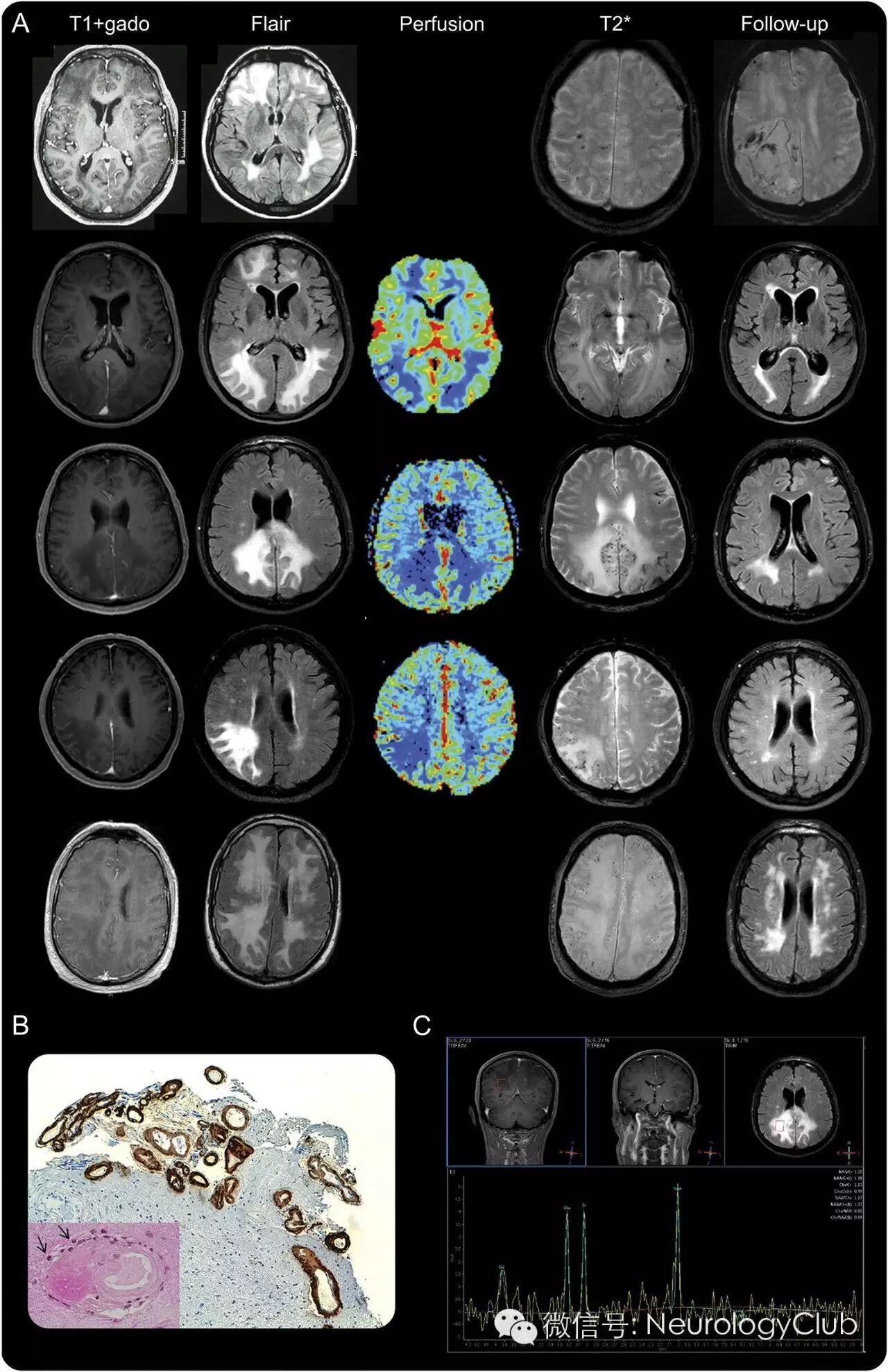
(假瘤样表现的CAA-I患者的影像学和病理资料。A:5例患者起初和随访时的MRI发现;T1增强和FLAIR上可见幕上白质病变伴占位效应,无脑实质强化;伴有T2*WI上多发皮质微出血;MRI灌注上相对脑血容量明显下降;随访时,第1例患者T2*WI上可见急性脑叶血肿,2-5例患者FLAIR上可见高信号病灶明显减退;B:第1例患者脑组织Aβ免疫组化提示柔脑膜和皮质血管内淀粉样蛋白沉积[×100];左下角图可见因淀粉样蛋白沉积而明显增厚的血管周围轻度炎性浸润[箭,×400];C:第3例患者质子磁共振波谱无异常发现


4病理学特点


CAA-I主要病理表现为大脑皮质及柔脑膜等处有Aβ沉积的微小血管呈刚果红染色阳性,血管或(和)血管周围炎症细胞浸润或呈肉芽肿样改变,常伴有微小出血灶,亦可表现为多发梗死灶。


本病病理上包括2种亚型,一种是血管周围炎症,主要表现为血管周围巨噬细胞、淋巴细胞、多核巨细胞等炎症细胞的浸润,而无明显血管破坏;另一种为真性血管炎,常表现为肉芽肿性炎症,也称之为Aβ相关血管炎(Aβ-related angiitis,ABRA)。



(A:图示一个皮质小血管,密集的淀粉样蛋白沉积横跨整个血管壁不伴有血管壁内或血管周围炎症细胞浸润;B:淀粉样蛋白沉积的小血管周围可见炎症细胞浸润)



(A-B:FLAIR和T2*WI提示对称性后部颞枕区血管源性水肿伴出血和散在微出血;C-D:第二次入院时的FLAIR和T2*WI提示左侧颞枕区出血;E:柔脑膜和脑实质血管Aβ沉积[刚果红染色,×4];F-G:血管外周淋巴细胞炎性浸润[HE,×20;CD3染色,×10])



A-B:治疗前的FLAIR和T2*WI;C-D:免疫抑制治疗后FLAIR和T2*WI提示病灶明显减少;E-F:脑实质和柔脑膜血管壁淀粉样蛋白沉积[Aβ4染色,×10;刚果红染色,×10];G:柔脑膜血管周围淋巴细胞浸润[CD3染色,×10]



A-B:治疗前的FLAIR和T2*WI;C-D:免疫抑制治疗后1月复查FLAIR和T2*WI提示病灶明显减少;E:脑实质和柔脑膜血管壁淀粉样蛋白沉积[刚果红染色,×10];F:血管壁[箭]和一些淀粉样蛋白斑块[箭头,Aβ4染色,×10];G:淀粉样蛋白沉积的血管周围可见T3淋巴细胞浸润[CD3染色,×40]


5诊断


2011年CAA-I诊断标准

Chung等学者在Journal of Neurology, Neurosurgery & Psychiatry上发表文章,基于对72例CAA-I患者的临床表现、影像学特点及病理特征等进行分析,提出了CAA-I的诊断标准,包括可能的CAA-I和明确的CAA-I,具体内容如下:


1 急性或亚急性病程;

2 发病年龄≥40岁;

3 至少有一项以下临床表现:头痛、精神状态或行为改变、局灶性神经体征、癫痫;

4 MRI上可见散在或融合的T2WI/FLAIR高信号灶,这些病灶常具有以下特点:a 多为不对称性;b 可伴占位效应;c 可有软脑膜及脑实质强化;

5 先前MRI已证实有CAA,主要在SWI上表现皮质或皮质下微出血灶,或有脑出血病史;

6 排除肿瘤、感染及其他因素;

7 病理证实以下两点:a有血管周围或血管内炎症;b皮层或软脑膜血管Aβ沉积。

满足1-6条,可诊断为很可能的CAA-I;满足1-6任意一条以上+第7条即可确诊为CAA-I。


2016年CAA-I诊断标准

今年2月,Auriel等学者在JAMA Neurology上发表文章,在Chung等的基础上提出了基于临床-影像发现的CAA-I的诊断标准,并评价了其在临床实践中的敏感性与特异性。该研究认为对符合“很可能的CAA-I诊断标准的患者可尝试经验性免疫抑制治疗从而避免脑活检。如果患者3周内对激素治疗无反应需考虑脑活检。


诊断

标准

很可能的CAA-I

1.年龄≥40岁

2.存在≥1项以下临床表现:头痛、意识水平下降、行为改变、局灶性神经体征、癫痫;这些临床表现并非直接由急性颅内出血引起

3.MRI提示单发或多发白质高信号病灶(皮质皮质下或深部),非对称性并延伸至皮质下白质;非对称病灶并非既往颅内出血所致

4.存在≥1处以下皮质皮质下出血性病灶:脑大出血、脑微出血、皮层表面铁沉积

5.排除肿瘤、感染及其他病因

可能的CAA-I

1.年龄≥40岁

2.存在≥1项以下临床表现:头痛、意识水平下降、行为改变、局灶性神经体征、癫痫;这些临床表现并非直接由急性颅内出血引起

3.MRI提示白质高信号病灶延伸至皮质下白质;非对称病灶并非既往颅内出血所致

4.存在≥1处以下皮质皮质下出血性病灶:脑大出血、脑微出血、皮层表面铁沉积

5.排除肿瘤、感染及其他病因



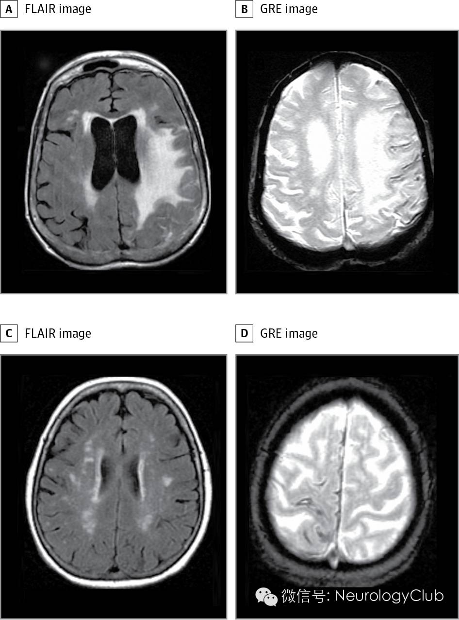
(A-B:75岁女性;C-D:80岁女性;两例患者梯度回波序列上均可见皮层表面铁沉积;A符合很可能的CAA-I的诊断标准;C符合可能的CAA-I的诊断标准;


6治疗


鉴于CAA-I可能是机体对于Aβ的一种自身免疫反应,提示了免疫抑制疗法可能有效,约80%的CAA-I患者经大剂量激素冲击疗法或其他免疫抑制疗法后症状缓解,影像学病灶改善。但尚无统一方案。可首先使用大剂量激素冲击疗法,如有效,可进一步使用环磷酰胺或甲氨蝶呤等免疫抑制剂。对于免疫抑制疗法的最佳疗程亦尚无定论,临床上常根据患者临床及影像学上对治疗的反应以及脑脊液Aβ抗体水平进行疗效判断,一般1-3周即可判断患者对激素疗法是否敏感。当免疫抑制药物减量或撤退时,症状有可能复发。


[参考文献]

1. 杜烨, 章殷希, 丁美萍.脑淀粉样血管病相关炎症的临床研究进展.中华医学杂志. 2015, 95(25):2039-2041.

2. 康远程,魏文石.脑淀粉样血管病相关炎症反应的研究进展.中国临床神经科学. 2015, 23(6):697-701.

3. Auriel E, Charidimou A, Gurol ME, Ni J, Van Etten ES, Martinez-Ramirez S, Boulouis G, Piazza F, DiFrancesco JC, Frosch MP, Pontes-Neto OV, Shoamanesh A, Reijmer Y, Vashkevich A, Ayres AM, Schwab KM, Viswanathan A, Greenberg SM.Validation of Clinicoradiological Criteria for the Diagnosis of Cerebral Amyloid Angiopathy-RelatedInflammation.JAMA Neurol. 2016 Feb 1;73(2):197-202.

4. Ronsin S, Deiana G, Geraldo AF, Durand-Dubief F, Thomas-Maisonneuve L, Formaglio M, Desestret V, Meyronet D, Nighoghossian N, Berthezène Y, Honnorat J, Ducray F.Pseudotumoral presentation of cerebral amyloid angiopathy-related inflammation.Neurology. 2016 Mar 8;86(10):912-9.

5. Chung KK, Anderson NE, Hutchinson D, Synek B, Barber PA.Cerebral amyloid angiopathy related inflammation: three case reports and a review.J Neurol Neurosurg Psychiatry. 2011 Jan;82(1):20-6.

6. Castro Caldas A, Silva C, Albuquerque L, Pimentel J, Silva V, Ferro JM.Cerebral Amyloid Angiopathy Associated with Inflammation: Report of 3 Cases and Systematic Review.J Stroke Cerebrovasc Dis. 2015 Sep;24(9):2039-48.

7. Mendonça MD, Caetano A, Pinto M, Cruz e Silva V, Viana-Baptista M.Stroke-Like Episodes Heralding a Reversible Encephalopathy: Microbleeds as the Key to the Diagnosis of Cerebral Amyloid Angiopathy-Related Inflammation-A Case Report and Literature Review.J Stroke Cerebrovasc Dis. 2015 Sep;24(9):e245-50.

8. Berkowitz AL, Baker JM, Miller JJ, Greenberg SM.Mystery case: cerebral amyloid angiopathy-related inflammation.Neurology. 2014 Oct 28;83(18):1678-9.

9. Martucci M, Sarria S, Toledo M, Coscojuela P, Vert C, Siurana S, Auger C, Rovira A.Cerebral amyloid angiopathy-related inflammation: imaging findings and clinical outcome.Neuroradiology. 2014 Apr;56(4):283-9.


图文整理:dy

编辑审校:zyx


温馨提醒

请尊重我们的劳动成果,转载请注明出处哦~~~



神经病学俱乐部 微信号:NeurologyClub
神经病学俱乐部,立足一线临床,服务神经科同行,助力神经病学天天向上


分享 :