
71岁免疫健全女性,全职的家庭主妇,既往有6个月的高血压病史和5年控制良好的的甲亢病史。因右下肢轻瘫3天至当地医院就诊。头颅MRI提示左侧皮层病灶(图1)。患者诉头痛和食欲不振18天,后出现复视。胸部CT提示左下肺叶一较大肿块(图2)。患者症状逐渐恶化,转至我院。入院前5天,患者曾口服泼尼松龙,每天20mg,但症状无改善。患者无呼吸系统症状。
入院体温37.6℃,嗜睡,颈项强直。患者瞳孔不等大,左眼外展受限伴构音障碍。四肢近端肌无力。白细胞计数10500/L。血糖,糖化血红蛋白和C-反应蛋白分别是147mg/dL,6.0%和1.2mg/dL。HIV检测阴性。
头颅MRI可见左侧额叶一小环形强化病灶伴周围水肿(图1)。基于上述资料,患者初步诊断为肺癌脑转移和癌性脑膜炎。因患者有夜间呼吸困难开始给予无创正压通气。
腰穿压力480mmH2O。脑脊液检查提示白细胞计数8/mm3(21%中性粒细胞和79%淋巴细胞),糖含量56mg/dL,脑脊液/血糖比值0.29,蛋白浓度44mg/dL,脑脊液细胞学检查未见恶性肿瘤细胞。


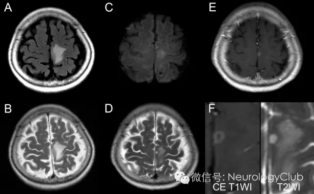
(图1:起病后3天的MRI:左侧大脑皮质FALIR[A]与T2WI[B]高信号;起病后36天,已经口服激素治疗后的MRI:[C]DWI可见左侧额叶轻度高信号病灶;[D]T2WI小病灶高信号伴周围水肿;[E]T1增强病灶呈环形强化;[F]病灶放大图)

(图2:[A]胸片提示左下肺占位性病变;[B]CT显示肿块大小为4.5×3.8cm;[C]支气管镜活检组织提示微囊型新型隐球菌,HE×40;[D]脑脊液中可见酵母形态的新型隐球菌,过碘酸-希夫染色×40)
诊治经过
患者脑脊液可见许多酵母形态的新型隐球菌(图2)。血清和脑脊液隐球菌抗原阳性。血培养新型隐球菌阳性。患者诊断为中枢神经系统隐球菌病并开始两性霉素B脂质体静脉注射以及氟胞嘧啶鼻胃管给药治疗。随后行支气管镜活检,组织学标本中同样证实存在隐球菌(图2)。尽管开始抗真菌治疗,但患者症状仍不断加重。患者呼吸情况恶化可能与脑干功能障碍有关。患者在入院后3天上了呼吸机。静脉注射儿茶酚胺升血压。患者后出现弥散性血管内凝血,予以重组人可溶性血栓调节蛋白治疗。入院20天患者死亡。家属拒绝尸检。
最终诊断
肺和中枢神经系统隐球菌病
本例患者最终诊断为肺和中枢神经系统隐球菌病。但其影像学改变并不典型。胸部CT可见一较大肿块,头颅MRI可见很小的环形强化提示隐球菌瘤伴周围水肿,后者在激素治疗后有所消退。上述影像学易误诊为肺癌伴脑转移
肺隐球菌病的临床表现和/或疾病发展因患者的免疫状态而异。免疫健全患者多表现为单个或多个肺部结节,直径通常<1cm。罕见>3cm的病灶,如出现难与肺癌区分。
同样的,中枢神经系统隐球菌病中,免疫健全患者的影像学与见于免疫缺陷患者的典型影像学表现大不相同。前者的典型MRI可见脑回样软脑膜强化,V-R间隙内小囊样或结节状强化;也可出现单发强化的蛛网膜囊肿和单发环形强化实质性病灶。病灶中T2低信号也被认为是脑隐球菌瘤的特征性表现。但有些学者认为脑隐球菌瘤很少出现环形强化,且单发的隐球菌瘤罕见。本例患者最初的头颅MRI表现为小的单发环形强化的隐球菌瘤伴灶周明显水肿。MRI上环形强化可能代表了患者具有免疫反应的能力。新型隐球菌有多糖荚膜,即使在免疫健全的患者中也可保护其免受宿主的炎症反应。这可能解释中枢神经系统隐球菌病较低的病灶周围水肿发生率。但有一些病例报道提示中枢神经系统隐球菌瘤可伴明显水肿,一般这种瘤体较大。而本例患者菌瘤很小,水肿却很明显。此外,病灶中并未出现T2低信号,导致一开始误诊为脑转移瘤。
对神经科医生而言,免疫健全患者的新型隐球菌感染的诊断是一个挑战。表现为肺部肿块的肺部隐球菌病和颅内环形强化伴周围水肿容易误诊为肺癌伴脑转移。我们强调早期明确诊断的重要性(组织学或培养)而不是随访观察或给予经验性治疗。认识隐球菌病这一不典型表现有助于早期诊断与治疗。必要的治疗措施包括积极的系统性抗真菌疗法,或对于某些患者予以手术切除。
[参考文献]
Hiraga A, Yatomi M, Ozaki D, Kamitsukasa I, Kuwabara S.Cryptococcosis mimicking lung cancer with brain metastasis.Clin Neurol Neurosurg. 2015 Aug;135:93-5.
相关链接影像挑战:颅内多发肥皂泡样病灶(结果公布)
(请在历史记录中查看或登录www.neurologyclub.org浏览)
神经病学俱乐部 微信号:NeurologyClub神经病学俱乐部,立足一线临床,服务神经科同行,助力神经病学天天向上