中年女性,左腿进行性无力,麻木伴疼痛3月

57岁女性,既往体健。因“左腿进行性无力,麻木伴疼痛3月”就诊。开始疼痛与麻木位于左侧臀部和大腿后外侧,但日常活动不受限。2月后,迅速进展累及左侧小腿与足背,并出现左腿近端以及踝部无力。患者同时存在右手食指麻木,右手活动不便和压力性尿失禁。神经系统查体:颅神经功能正常,左髋,膝及踝部屈伸运动无力。左侧膝和踝部深腱反射消失。左侧大腿和小腿后外侧,足背感觉减退。神经传导检测及肌电图:(1)左侧股、胫、腓神经复合肌肉动作电位振幅降低;(2)左侧胫、腓神经F波缺失;(3)左侧腓浅神经感觉动作电位缺失;(4)可见左侧股直肌、胫骨前肌和腓肠肌自发活动,募集下降。提示腰骶神经根丛病。


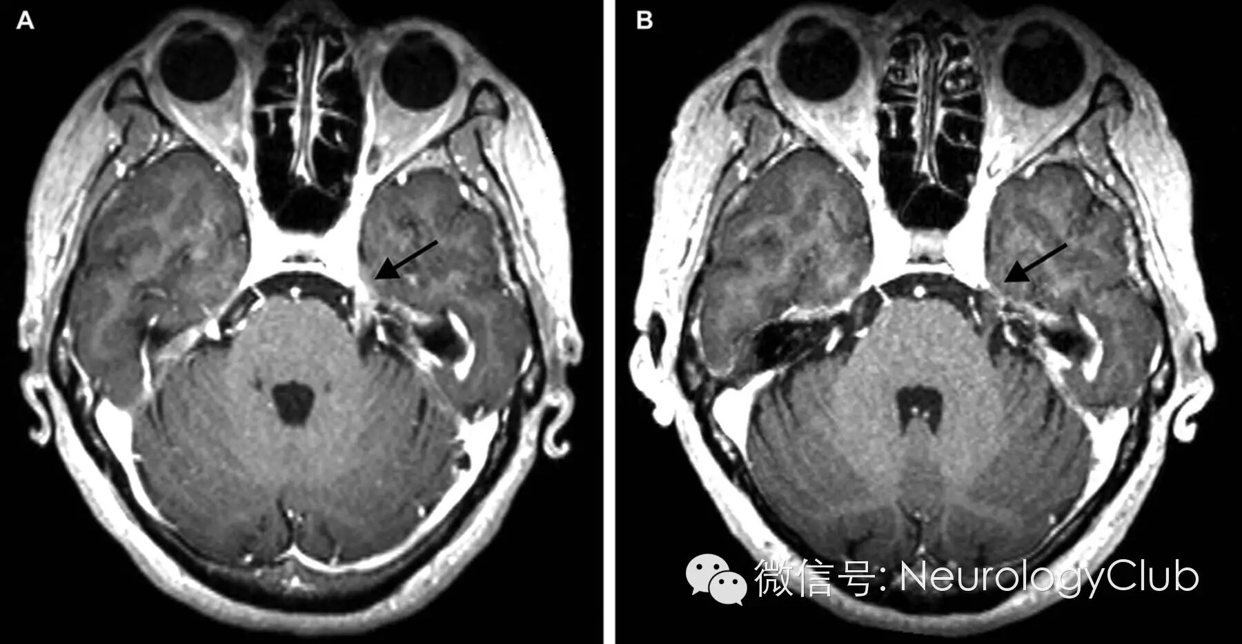
盆腔MRI提示左侧腰骶神经根、丛和坐骨神经异常增粗强化信号(图1 A,B);头颅MRI提示左侧三叉神经强化信号(图2 A);全身PET检查提示双侧臂丛,左侧腰骶神经根和坐骨神经代谢增加。



(图1:冠状位T1增强压脂像[A]和斜矢状位容积内插摒气检查T1压脂像[B]示左侧S1神经根[箭]和左侧坐骨神经[箭头]异常增粗与强化;化疗后,可见病灶缓解[C])



(图2:T1增强磁共振提示三叉神经沿脑池部分异常强化[A],化疗后好转[B])



(图3:PET成像显示双侧臂丛和左侧腰骶神经根18F-FDG摄取增多[A],治疗后上述异常代谢明显好转)


诊治经过

重复脑脊液细胞学检查证实为大B细胞淋巴瘤。骨髓检查无血液系统恶性肿瘤证据。患者入院后神经系统症状持续进展,出现右腿无力并觉双侧面颊麻木。患者接受R-HDMTX(甲氨蝶呤、倍他米松、甲酰四氢叶酸和立妥昔单抗)系统性化疗方案并三联鞘内疗法(甲氨蝶呤,阿糖胞苷和琥珀酸钠氢化可的松)。治疗后,患者神经系统缺失症状逐渐改善,随访MRI和PET异常病灶同时缓解(图1C,2B和3B)。


最终诊断

神经淋巴瘤病


讨论

神经淋巴瘤病是指淋巴瘤浸润周围神经,是淋巴瘤累及神经系统的一种罕见形式。可受累的神经结构包括周围神经,脊神经根,颅神经和神经丛。神经淋巴瘤病中非霍奇金淋巴瘤占90%,且多数为B细胞型。神经淋巴瘤病作为淋巴瘤的首发表现则更为罕见。本例患者,周围神经是淋巴瘤主要且是唯一累及的组织。诊断神经淋巴瘤病依赖神经影像,脑脊液检查和神经活检。MRI是敏感性和特异性最高的检查,常见受累神经异常强化或增粗。PET检查在全身评估与诊断中发挥巨大作用。神经活检仍然是诊断金标准,但不可避免的引起一些神经损伤。神经淋巴瘤病的治疗包括系统性化疗,鞘内注射化疗和放疗。早期识别淋巴瘤这一罕见的神经系统表现并给予治疗可改善预后,正如本例报道。


[参考文献]

Tsai HH, Chen YF, Hsieh ST, Chao CC.Neurological picture. Neurolymphomatosis as the primary presentation of non-Hodgkin's Lymphoma.J Neurol Neurosurg Psychiatry. 2015 Aug;86(8):929-30.


温馨提醒
请尊重我们的劳动成果,转载不要忘了注明出处哦~~~



神经病学俱乐部 微信号:NeurologyClub
神经病学俱乐部,立足一线临床,服务神经科同行,助力神经病学天天向上


分享 :