四肢无力3月余,视物成双2个月,尿急1个月

患者女性,55岁。因四肢无力3月余、视物成双2个月,加重伴尿急1个月,于2013年10月31日入院。患者入院前3个月(2013年7月中旬)出现双下肢肌力减弱、行走易疲劳,尤以上台阶费力,但下蹲后可自行站起,晨起、休息后症状缓解,晚间或活动后症状加重;约2周后(2013年7月底)出现双上肢肌力减弱,抬手臂或梳头无力,能持握碗筷,不伴肢体麻木、肌束颤等,至当地医院就诊。体格检查:双侧眼睑无下垂,双眼活动自如,双上肢肌力5级,双下肢5-级,腱反射对称,病理征阴性。辅助检查:运动神经传导速度检查无异常发现,低频重复神经电刺激提示波幅递减,未行高频电刺激;腰椎穿刺脑脊液常规及化合物检查均于正常值范围;胸部CT提示纵隔淋巴结肿大,诊断为“重症肌无力”。予以溴吡斯的明口服60mg/次(3次/d),四肢肌无力症状有所好转,可步行约500m;2个月后(2013年9月初)出现双眼睑上抬无力、视物成双,于2013年9月5日至我院门诊就诊。体格检查:右眼睑无下垂,左眼裂小于右侧,疲劳试验阳性;双上肢可平举1.50min,可蹲起10次。进一步行肌电图、神经传导速度和重复神经电刺激检查,分别显示肌源性损害、下肢运动神经波幅降低,以及低频重复神经电刺激波幅递减、高频电刺激波幅递增。建议行PET扫描以排除肿瘤,患者拒绝,故建议其尝试口服泼尼松25mg/d,1周后剂量增至45mg/d,服用至今;同时应用丙种球蛋白。根据我院医嘱,于2013年9月9日在当地医院静脉滴注丙种球蛋白2.50g/d,治疗5d,临床症状与体征明显缓解。之后(2013年9月下旬)四肢无力症状再次加重,溴吡斯的明剂量增至120mg/次(3次/d),服药后可步行约500m,不服药仅行走不足100m;随着肌无力症状的加重,曾出现饮水呛咳、吞咽困难,约1周后自行缓解;同时伴尿急、尿频,偶出现尿失禁,但无尿痛症状。入院前10余天晨起出现双侧尺侧三指、前臂内侧麻木,6-7d前症状加重,抬头、起身无力,至我院复诊。体格检查:双上肢可平举约30s,蹲起动作仅2-3次,遂以“肌无力综合征”收入院以进一步明确诊断与治疗。患者自发病以来,无明显呼吸困难,无发热,无口干、眼干,无光过敏、皮疹、口腔溃疡、雷诺现象等症状;少量咳痰、白色黏痰,无咯血;精神、睡眠尚可,胃纳可、便秘,尿急如前所述,近年来体重无明显改变。


既往史、个人史及家族史 患者40年前曾行阑尾切除术,2年前曾因外伤致右侧肋骨骨折。吸烟20年,约20支/d;否认饮酒嗜好。婚育史和月经史无特殊。其父患高血压病40年,其母健康。


入院后体格检查 发育正常,中等体型,营养较差,呈慢性病容。心、肺、腹部检查未见明显异常。神志清楚、语言流利,各向眼动充分,无复视,双卜睑不遮瞳;咽反射存在。余脑神经检查未见异常。四肢肌张力正常,双侧桡骨膜反射、跟腱反射对称存在,其余腱反射消失;四肢近端肌力4+级、远端5级;深浅感觉对称存在,共济平衡功能检查尚可;可完成3个蹲起动作。双睑用力睁闭30次后双睑遮瞳1/2;双上肢可平举约1min。


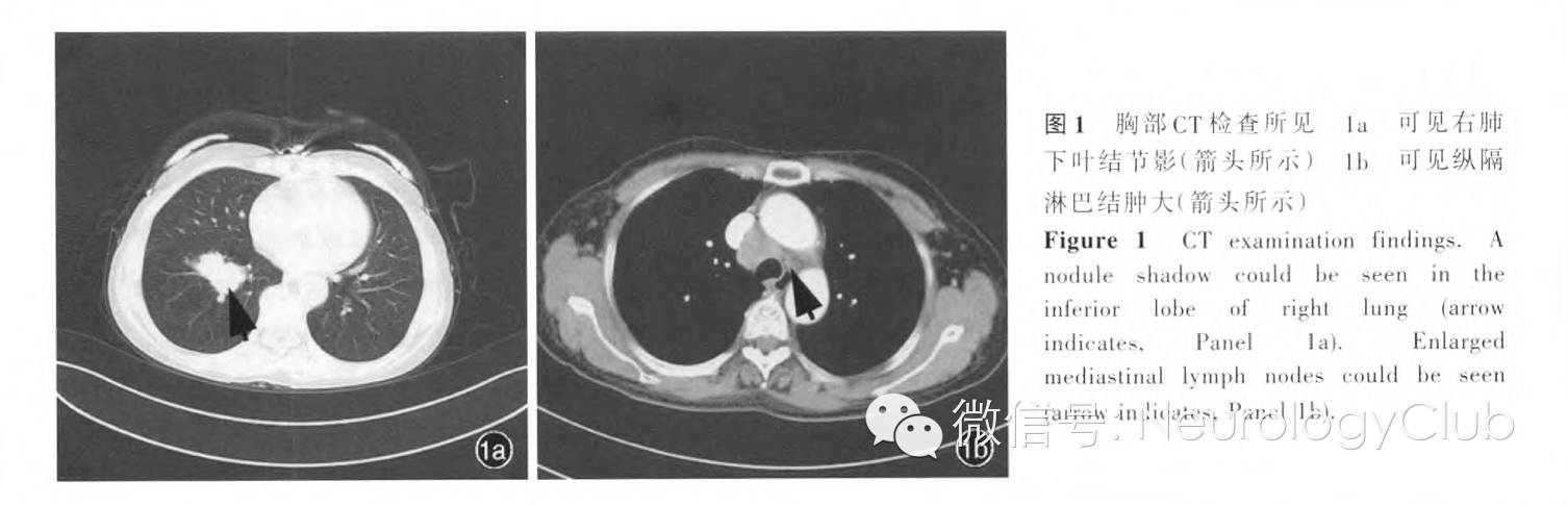
入院后辅助检查 血尿便常规及便潜血试验、肝肾功能试验、血清脂质、感染四项[丙型肝炎病毒抗体、乙型肝炎病毒表面抗原、梅毒螺旋体(TP)抗体、人类免疫缺陷病毒(HIV)抗体和抗原初筛]均未见明显异常;肌酸激酶(CK)为28U/L(18-198U/L);凝血功能检测D-二聚体0.56mg/L(0-0.55mg/L)。内分泌代谢相关检查:甲状腺功能试验无明显异常;空腹血糖3.40mmol/L(3.60-6.10mmol/L),糖化血红蛋白(HbA1c)5.40%(4.50%-6.30%)。自身免疫反应相关检查:抗核抗体(ANA)谱(19项)中抗干燥综合征A抗体(SSA)呈弱阳性、血清抗神经节苷酯GMl抗体呈阴性反应;M蛋白相关检查血清蛋白电泳、免疫固定电泳、血清轻链未见明显异常。肿瘤相关检查:肺癌标志物筛查胃泌素释放肽前体(ProGRP)573.80pg/ml(0-50pg/ml)、细胞角蛋白19片段(CYFRA21-1)11.22ng/ml(0-3.50ng/ml)、神经元特异性烯醇化酶(NSE)16.30ng/ml(0-16.30ng/ml)、组织多肽特异性抗原(TPS)195.05U/L(0-80U/L)。胸腹部增强CT显示,右肺下叶结节影(考虑恶性肿瘤可能);纵隔多发肿大淋巴结(考虑转移可能,图1)。腹部、子宫和双侧附件、乳腺超声均无明显异常。


诊断与治疗经过 入院后继续口服泼尼松45mg/d,并每日减5mg直至10mg/d维持剂量.继续服用溴吡斯的明120mg/次(3次/d)。根据呼吸科会诊建议,行支气管镜肺组织活检,镜下可见右肺下叶基底段开口处黏膜呈外压性隆起,支气管开口狭窄;右肺下叶前基底段开口部位新生物生长.支气管完全闭塞。新生物细胞涂片发现肿瘤细胞,提示小细胞肺癌;肺组织标本病理检查结果符合小细胞肺癌诊断。患者于2013年11月8日出院,于我院呼吸科肺癌门诊进一步就诊,制定药物化疗方案,神经科继续随访。


临床讨论

神经科主治医师 患者为中年女性,呈隐匿发病,病程约3.50个月。临床主要表现为双下肢无力,逐渐出现双上肢无力、眼外肌及延髓肌症状,伴易疲劳现象,晨轻暮重;溴吡斯的明治疗后症状好转,既往有20年吸烟史。查体神志清楚、语言流利,各向眼动充分,无复视,双上睑不遮瞳,咽反射存在,其余脑神经检查未见异常。四肢肌张力正常,双侧桡骨膜反射、跟腱反射对称存在,余腱反射消失。双上肢近端肌力5-级、双下肢近端肌力4+级.四肢远端肌力5级;深浅感觉对称存在,共济运动尚可;可完成3个蹲起动作,双睑用力睁闭30次后双睑遮瞳1/2;双上肢可平举2分钟。辅助检查:外院肺部CT显示纵隔淋巴结肿大,但肺内无异常结节影。我院电生理学检查:神经传导速度显示下肢运动神经波幅降低;肌电图呈肌源性损害;低频重复神经电刺激波幅递减、高频电刺激波幅递增。定位诊断:(1)四肢无力、眼外肌无力,延髓肌无力,伴易疲劳现象,结合重复神经电刺激呈低频递减、高频递增,肌电图为肌源性损害,神经传导速度下肢波幅降低、上肢亦在正常值低限,且对溴吡斯的明治疗有效,故定位于神经-肌肉接头处损害;肌源性损害可能为继发性改变。(2)尿急、尿频,偶有尿失禁,定位于自主神经。定性诊断:患者为中年女性,呈亚急性病程.临床症状主要以运动系统症状为主,双下肢率先受累,而后累及眼外肌,并伴自主神经功能障碍,近端腱反射消失,溴吡斯的明治疗有效,重复神经电刺激显示高频递增,考虑Lambert-Eaton肌无力综合征:该综合征有副肿瘤性和非副肿瘤性之分,副肿瘤性常见于小细胞肺癌。该例患者发病之初外院胸部CT未发现肺内占位性病变,但纵隔淋巴结肿大。有部分小细胞肺癌患者影像学先检出纵隔淋巴结转移灶,继而发现肺内原发灶。因此可行胸腹部增强CT扫描,必要时还可行高分辨力CT检查。该例患者肌无力症状呈现波动性、易疲劳现象,且溴吡斯的明治疗有效,需注意与重症肌无力相鉴别。但有眼外肌受累的重症肌无力患者多白眼外肌发病,逐渐进展至全身,而该患者以下肢发病.最后累及眼外肌,不符合重症肌无力的典型表现,且重复神经电刺激显示高频递增,不支持重症肌无力诊断。需进一步完善肿瘤标志物筛查、胸腹部增强CT检查,以及妇科超声检查,并应进一步行甲状腺功能试验。


呼吸科医师 患者为中年女性,有20年吸烟史,无明显感染征象。入院后增强CT显示右肺下叶结节影、纵隔淋巴结肿大,诊断需首先考虑肺部肿瘤,倾向小细胞肺癌。小细胞肺癌的副肿瘤综合征征象一般可早于肿瘤本身,该例患者发病时外院胸部CT未发现肺内占位性病变,但可见纵隔淋巴结肿大。小细胞肺癌易发生淋巴结转移,考虑纵隔淋巴结肿大为小细胞肺癌淋巴结转移,且外院未行高分辨力CT检查,易遗漏肺内原发灶。为进一步明确诊断,建议完善肺组织活检,行支气管镜活检。明确病理类型和疾病分期后,制定合理的治疗方案。


胸外科医师 患者有肺癌危险因素,肺内占位性病变需首先考虑肺癌。结合影像学表现及肺外症状,目前考虑小细胞肺癌可能。根据美国国立综合癌症网(NCCN)指南,对于TNM[肿瘤大小(tumor)、是否有淋巴结转移(node)、是否有远隔部位转移(metastasis)]分期超过T1-2N0期的小细胞肺癌,手术治疗无益,需经肺组织活检明确病理类型、判断是否具有手术适应证。支气管镜活检若无法取得标本,可于纵隔镜下施行淋巴结穿刺活检,尽早明确诊断。


神经科教授 该例患者经支气管镜活检取得右肺下叶前基底段开口处新生物组织,病理学检查符合小细胞肺癌诊断。回顾其病程,呈亚急性发病的双下肢无力,逐渐波及双上肢、眼外肌和延髓肌,重复神经电刺激呈高频递增,符合Lambert-Eaton肌无力综合征的典型表现。由于Lambert-Eaton肌无力综合征常由肿瘤引起,患者入院后需主要寻找肿瘤证据。外院CT检查发现纵隔淋巴结肿大,而Lambert-Eaton肌无力综合征最常见于小细胞肺癌,因此重点筛查肺部肿瘤,病理学检查结果最终证实诊断。应对患者进行密切随访,观察正规药物化疗后的中枢神经系统预后。


讨论

Lambert-Eaton肌无力综合征(LEMS)即副肿瘤性Lambert-Eaton肌无力综合征(T-LEMS)属自身免疫性疾病,主要表现为近端肌无力和病态疲劳、自主神经症状和腱反射减弱,以躯干肌、肩胛带肌、骨盆带肌和下肢肌肉受累为主,而眼外肌和延髓肌相对较少受累Lambert-Eaton肌无力综合征多与肿瘤相关,以小细胞肺癌最为常见,也可见于乳腺癌、前列腺癌、胃和直肠肿瘤或淋巴瘤。但是亦有部分患者并未检出肿瘤,即非副肿瘤性Lambert-Eaton肌无力综合征(NT-LEMS),其中部分与其他自身免疫性疾病相关,但更多为特发性Lambert-Eaton肌无力综合征。其诊断主要依据特征性神经电生理学检查结果,近年来发现的抗P/O型电压门控性钙离子通道(VGCC)抗体也有助于诊断


不同于经典的重症肌无力,Lambert-Eaton肌无力综合征通常从下肢发病,由近端向远端、由尾端向头端发展,最终可以累及延髓肌和眼外肌。而单纯眼外肌受累极为罕见。在NT-LEMS患者中,上肢肌肉和延髓肌受累程度比下肢轻,即使在发病12个月后,延髓肌受累程度仍较轻,而这种差异在小细胞肺癌引起的Lambert-Eaton肌无力综合征患者中相对不明显。自主神经功能障碍是重要诊断线索之一,其中以口干症状最为常见,男性勃起功能障碍和便秘亦十分多见,而体位性低血压、排尿困难、眼干、排汗障碍相对少见。Lambert-Eaton肌无力综合征患者可表现为腱反射减低,但约40%的患者在肌肉收缩后,肌力和腱反射恢复至正常水平,因此腱反射的检查需待患者休息一段时间后再进行。该例患者从下肢肌无力发病,伴便秘和尿频、尿急,偶有尿失禁,提示自主神经功能障碍,四肢近端腱反射消失,与Lambert-Eaton肌无力综合征临床症状和体征相符。


在T-LEMS患者中,以小细胞肺癌最为常见。有一种观点认为,小细胞肺癌属于神经内分泌肿瘤,组织学来源于支气管的胺前体摄取和脱羧(APUD)细胞,而其他可引起Lambert-Eaton肌无力综合征的肿瘤可能与小细胞肺癌类似,也起源于神经内分泌系统,可以认为肿瘤细胞与分泌神经递质的突触末梢具有相似的抗原,免疫系统攻击肿瘤的同时,可损伤突触末梢的神经递质传递功能。值得注意的是,并非所有小细胞肺癌患者均发生Lambert-Eaton肌无力综合征,该类患者HLA-B8和HLA-DR3阳性检出率较高,而HLA-DR3在NT-LEMS患者中更为常见。此外,小细胞肺癌特异性血清标志物抗Y染色体性别决定区框蛋白1(SOX1)抗体也有助于鉴别诊断。可采用荷兰-英国肿瘤相关Lambert-Eaton肌无力综合征预测评分(DELTA-P)系统预测罹患小细胞肺癌的可能性,评分达3分以上者,罹患小细胞肺癌的可能性达80%。该例患者有延髓肌受累症状(D)、吸烟史(T)、年龄超过50岁(A),且日常生活活动能力受影响(P),DELTA-P评分达4分。根据DELTA-P评分系统,其罹患小细胞肺癌的可能性达90%以上。


Lambert-Eaton肌无力综合征患者肌无力和病态疲劳症状主要累及神经-肌肉接头,导致神经传导受损。近年来,随着抗VGCC抗体的发现,不仅为Lambert-Eaton肌无力综合征提供了诊断依据,也提高了对其病理生理过程的认识。VGCC是由α1、α2δ、β、γ亚单位组成的复合体,其中α1亚单位是构成主体,有4个多次跨膜的结构域。不同的α1异构体决定了VGCC的不同生物学特性,从而分为L、N、T、P/O和R型等类型,其中抗N型VGCC抗体仅见于44%的Lambert-Eaton肌无力综合征患者,而抗P/O型VGCC抗体可见于85%的患者。抗P/O型VGCC抗体主要存在于突触前膜激活区,具有促囊泡释放功能。离体实验显示,Lambert-Eaton肌无力综合征患者血清抗VGCC抗体可直接抑制囊泡释放,通过减少神经递质的释放,导致肌无力症状。在VGCC的4个结构域中,I、III和IV结构域可以成为抗VGCC抗体的靶点,无论是T-LEMS还是NT-LEMS常以m结构域为靶点,而IV结构域作为靶点在NT-LEMs中更为常见,提示T-LEMS和NT-LEMS之间具有不同的免疫学机制,可能为判断Lambert-Eaton肌无力综合征是否与肿瘤相关提供了辅助信息。值得注意的是,抗P/0型VGCC抗体不仅存在于神经-肌肉接头,也广泛存在于多种神经突触前膜。因此,抗VGCC抗体可能与自主神经功能紊乱和腱反射减弱有关,还可能导致其他疾病。可于约50%的小细胞肺癌相关小脑变性患者的血清中检出抗VGCC抗体,若将该抗体注射至小鼠鞘内,可引起小脑共济失调。但是,并非所有Lamberf-Eaton肌无力综合征患者均表现为抗VGCC抗体阳性,因此症状与体征、神经肌肉电生理学榆查对诊断更为重要


对于T-LEMS患者,需首先治疗原发性肿瘤,小细胞肺癌以药物化疗为主。对症治疗可首选3,4-二氨基吡啶,通过阻滞钾离子通道以减少钾离子外流,延长动作电位,促进VGCC开放,从而增加钙离子内流,促进神经递质囊泡释放。对于3,4-二氨基吡啶效果欠佳的患者,可考虑长期应用泼尼松和咪唑嘌呤抑制免疫反应。一项随机对照临床试验结果显示,静脉注射免疫球蛋白(IVIg)能够明显改善患者肌力,亦有病例报道和学者认为,IVIg可以作为短期和长期治疗方案。此外,有病例报道显示,利妥昔单抗可以改善重症肌无力之病情。对于NT-LEMS患者,亦可尝试胆碱酯酶抑制剂和免疫抑制疗法,一项关于NT-LEMS的小样本临床研究显示,NT-LEMS患者对溴吡斯的明反应良好,且在免疫抑制疗法中,糖皮质激素和免疫抑制剂较血浆置换疗法更有效。对于本文患者,我们首先治疗小细胞肺癌,由于药物化疗具有免疫抑制作用,若药物化疗后患者肌无力症状仍存在,可予3,4-二氨基吡啶或加用泼尼松。


发生Lambert-Eaton肌无力综合征的小细胞肺癌患者预后优于无神经系统功能障碍的小细胞肺癌患者,这种差异可能是由于小细胞肺癌的生物学行为所致。进一步研究这种差异,对于理解Lambert-Eaton肌无力综合征的病理生理学过程,以及肿瘤免疫学机制可能有所裨益。NT-LEMS患者经治疗后,约有50%可获得持续性临床缓解,但需要长期服用维持剂量的免疫抑制剂。


中国现代神经疾病杂志 2014年2月第14卷第2期

作者:王全 牛婧雯 倪俊 朱以诚 崔丽英(中国医学科学院 北京协和医学院 北京协和医院神经科)




神经病学俱乐部 微信号:NeurologyClub
神经病学俱乐部,立足一线临床,服务神经科同行,助力神经病学天天向上



分享 :