四脑室囊性病灶

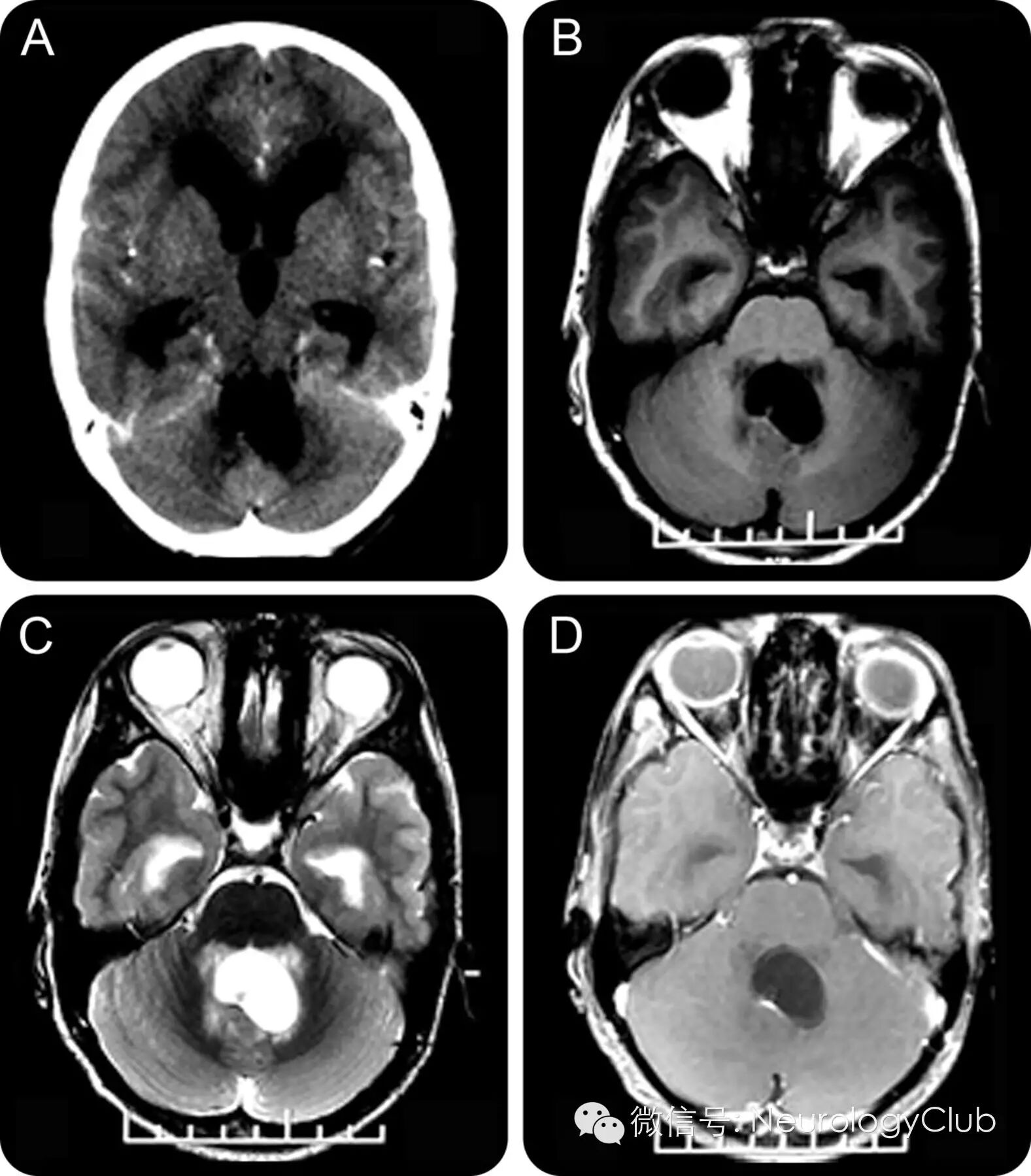
13岁男性,头痛1月,呕吐10天。查体提示左侧外直肌麻痹和视乳头水肿。头颅增强CT和MRI发现四脑室囊性病灶合并交通性脑积水(图1)。随后,患者行稳态构成干扰(constructive interference in steady state,CISS)序列检查,提示四脑室囊虫(图2)。



(图1 四脑室扩大,扭曲变形,可见结节 A:增强CT;B:T1WI;C:T2WI;D:增强MRI)



(图2 四脑室囊虫,可见壁结节)


脑室内的神经囊虫病在常规CT和MRI上可能漏诊。本例明显可见的头节以及CISS序列(具有较高的对比度噪声比,根据T2值不同区分囊性病灶与脑脊液)基本排除了影像学上其他恶性疾病的鉴别诊断。


[参考文献]

Lokesh Saini,Biswaroop Chakrabarty,Atin Kumar,Sheffali Gulati.Cystic lesion of the fourth ventricle: Role of CISS.Neurology. 2015 Sep 29;85(13):1181-2.


温馨提醒
请尊重我们的劳动成果,转载不要忘了注明出处哦~~~




神经病学俱乐部 微信号:NeurologyClub
神经病学俱乐部,立足一线临床,服务神经科同行,助力神经病学天天向上



分享 :