Dawson手指征(Dawson finger sign)

影像学表现

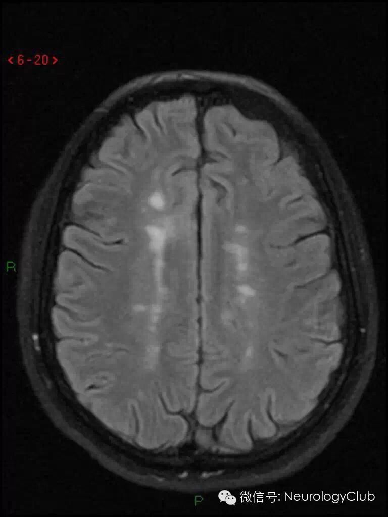
Dawson手指征(Dawson finger sign)为头颅MRI上,T2WI/FLAIR 显示侧脑室旁白质内多发条状、卵圆形、指状或火焰样高信号病灶,其长轴垂直于侧脑室边缘(矢状位也可见病灶累及胼胝体),类似于手掌五指张开的表现。这种征象在矢状位、轴位、冠状位均可以观察到。


(图片取自网络)


临床意义

Dawson手指征是多发性硬化较为特异的表现,以苏格兰神经病理学家James Walker Dawson命名,以纪念其于1916年首先揭示了多发性硬化的病理改变为侧脑室周围白质内髓鞘崩解和胶质细胞增生。炎性细胞沿充血的小血管周围浸润,形成所谓血管周围袖套。病灶常以小静脉为中心,形态上呈指状改变。


[参考文献]

1.Yancu Hertzanu, 李明华, 张佳胤.放射诊断学征象.上海科学技术出版社,2013第1版

2.冯逢.多发性硬化的常见MRI征象分析.磁共振成像,2011年第2卷第4期


温馨提醒
请尊重我们的劳动成果,转载不要忘了注明出处哦~~~




神经病学俱乐部 微信号:NeurologyClub
神经病学俱乐部,立足一线临床,服务神经科同行,助力神经病学天天向上


分享 :