可逆性额颞叶脑下垂综合征

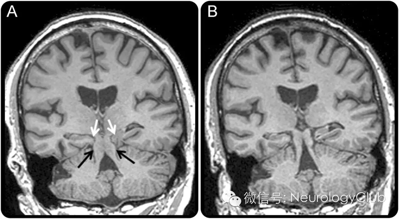
71岁男性,健忘,行为改变,咆哮震撼发声,直立性头痛和咳嗽6年。头颅MRI符合额颞叶脑下垂综合征(frontotemporal brain sagging syndrome)(图A)。随后他不小心摔倒,胸部撞到了椅子上,神奇的是,咳嗽立即缓解,认知功能改善,影像学上见下垂脑组织复位(图B,视频如下)。


(A:黑箭头示中脑下移低于小脑幕;白箭头示后海马旁回和舌回疝出;B:复查提示脑干及颞叶内侧结构复位)


额颞叶脑下垂综合征可由低颅压所致,后者常继发于沿神经根袖的脑脊液漏,额颞叶脑下垂综合征有时表现为额颞叶痴呆类似的症状,但却是潜在可治的疾病。本例中,跌倒可能引起挫伤,恰好给予患者自体血贴治疗。


[参考文献]

Catherine F. Slattery, Ian B. Malone, Shona L. Clegg, Jason D. Warren, Nick C. Fox. Reversible frontotemporal brain sagging syndrome.Neurology. 2015 Sep 1;85(9):833.


温馨提醒
请尊重我们的劳动成果,转载不要忘了注明出处哦~~~




分享 :