单纯疱疹病毒性脑炎的典型特征

单纯疱疹病毒性脑炎是由单纯疱疹病毒(HSV)感染引起的一种急性中枢神经系统(CNS)感染性疾病,又称为急性坏死性脑炎,是CNS最常见的病毒感染性疾病。



图1:皮肤疱疹



图2:较多的红细胞或脑脊液黄变提示出血坏死性脑炎



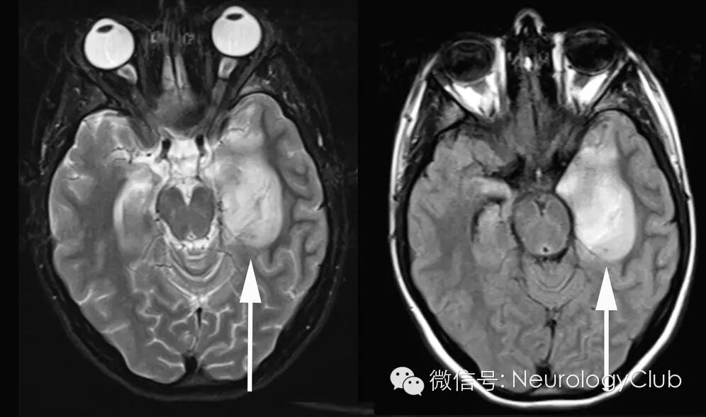
图3:磁共振T2WI/FLAIR提示颞叶脑实质水肿,瘀点状出血(混杂信号)


诊断标准

临床诊断:①口唇或生殖器疱疹病史,或本次发病有皮肤、黏膜疱疹;②起病急,病情重,有发热、咳嗽等上呼吸道感染的前驱症状;③明显精神行为异常、抽搐、意识障碍及早期出现的局灶性神经系统损害体征;④脑脊液红、白细胞增多,糖和氯化物正常;⑤脑电图以颞、额区损害为主的弥漫性异常;⑥头颅CT或MRI发现颞叶局灶性出血性软化灶;⑦特异性抗病毒药物有效支持诊断。


确诊需要如下检查:①双份血清和检查发现HSV特异性抗体有显著变化趋势;②脑组织活检或病例发现组织细胞核内包涵体,或原位杂交发现HSV病毒核酸;③脑脊液的PCR检测发现该病毒DNA;④脑组织或脑脊液标本HSV分离、培养和鉴定。



[参考文献]

1.Bennett S, Nagler J.Images in emergency medicine. Herpes simplex virus encephalitis.Ann Emerg Med. 2014 Dec;64(6):588, 608.

2.贾建平,陈生弟.神经病学(第7版).人民卫生出版社.2013年


温馨提醒
请尊重我们的劳动成果,转载不要忘了注明出处哦~~~



神经病学俱乐部 微信号:NeurologyClub
神经病学俱乐部,立足一线临床,服务神经科同行,助力神经病学天天向上


分享 :