“脑洞大开”


56岁男性,既往体健,全面性癫痫发作1次,持续2-3秒,无局灶性发作。患者恢复后无神经功能缺损。患者回忆18月前也曾有1次类似的发作,当时并未就诊,因为发作时间很短,且发作后无明显不适。


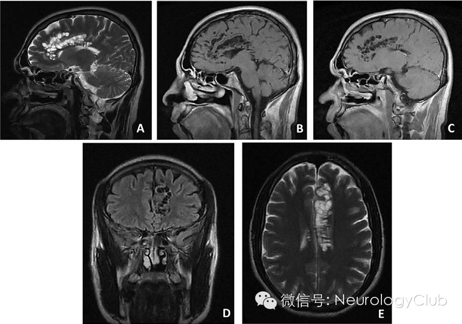
患者至当地医院行头颅MRI提示颅内多发囊性病灶,主要位于左侧额上回,扣带回及皮质下白质,胼胝体也有受累。灶周无水肿,无占位效应或中线移位。增强后病灶无强化。


(A:T2WI;B:T1WI;C:T1+C;D:T1WI;E:T2WI)


最终诊断


Virchow-Robin间隙(巨大血管周围间隙)


讨论

巨大的血管周围间隙(PVS)是一种非常罕见的脑内非肿瘤性囊性病变,大小不一,可呈不典型表现,容易误诊为肿瘤或其他疾病。PVS为充满脑脊液的结构,分界清,源自穿支血管和软脑膜间的间质液的积聚。由于排出受阻,PVS增大,形成囊肿样结构,PVS不直接与蛛网膜下腔相通。可引起占位效应,也可能误认为其为恶性疾病。认识PVS的影像学特点是非常重要的,因为对这些血管性病灶行活检可能造成严重后果。


PVS通常没有症状,偶尔在影像学检查或尸检时发现,或者表现为无定位体征的非特异性表现。其发生无年龄或性别上的差异,脑实质的多数部位均可见。“正常的”小PVS可见于多达30%的儿童,一般位于基底节区。相反的,大的PVS在中老年人多见,部位多在中脑周围。其可导致中脑导水管梗阻,从而出现梗阻性脑积水的并发症。MRI或CT上,PVS表现为多发囊性非强化团块状病灶,T2像上与脑脊液等信号,FLAIR上信号抑制,DWI上无弥散受限。这些特点不同于腔隙性梗死,囊性肿瘤或感染性囊肿。临床实践中,如果高度怀疑PVS,应尽量避免不必要的手术治疗带来的风险。



[参考文献]

E. Warner, B.S. Jassar, G. Samandouras.Holes in the brain.J Clin Neurosci. 2015 Aug;22(8):1360, 1374.


温馨提醒
请尊重我们的劳动成果,转载不要忘了注明出处哦~~~




神经病学俱乐部 微信号:NeurologyClub
神经病学俱乐部,立足一线临床,服务神经科同行,助力神经病学天天向上


分享 :