氨甲酰磷酸合成酶缺乏症(高氨血症I型)

氨甲酰磷酸合成酶缺乏症(carbamoyl phosphate synthetase deficiency),即高氨血症I型,为尿素循环障碍的一种亚型,由Freeman等在1970年首先描述。临床上主要表现为氨中毒的各种症状。多数患儿在生后数日内发病,表现为拒奶、呕吐、嗜睡、惊厥、昏迷、全身肌张力减退。进食蛋白类食物后症状明显加重。少数晚发型患儿以发作性呕吐、嗜睡,伴精神发育异常为特点。生化改变可见高氨血症、血谷氨酰胺和丙氨酸增高,尿中乳清酸降低或缺如。




病例1

2岁患儿,女性。


(FLAIR:岛叶皮质及深部额叶脑回异常信号,邻近皮质下U形纤维)


(质子密度加权像[A]和FLAIR[B]提示双侧壳核和尾状核头线状高信号)


病例2

41岁患者,女性。


(T2/FLAIR提示双侧小脑深部白质[齿状核]及基底节区[苍白球]对称性高信号)


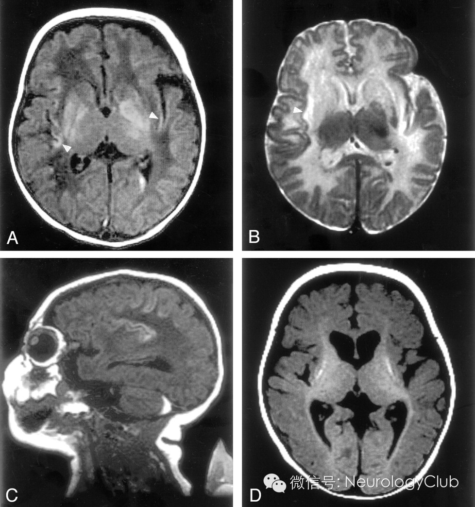
病例3

2周患儿,女性。


(A:T1WI示双侧豆状核[苍白球较壳核更明显]及岛叶皮层高信号;左侧脑室内出血;B:T2WI示左侧苍白球低信号,双侧纹状体及近岛叶白质高信号;C:T1WI示岛叶和中央颞区深部脑沟高信号,小脑后部硬膜下血肿;D:7月大时,T1WI示基底节区体积减少,壳核高信号,脑白质体积减少,弥漫皮层萎缩,内囊后肢和视辐射区可见髓鞘形成)


[参考文献]

1.Nunley S, Ghosh D. MRI findings in carbamoyl phosphate synthetase 1 deficiency. Neurology. 2015 May 5;84(18):e138-9.

2.Eather G, Coman D, Lander C, McGill J.Carbamyl phosphate synthase deficiency: diagnosed during pregnancy in a 41-year-old.J Clin Neurosci. 2006 Jul;13(6):702-6.

3.Takanashi J, Barkovich AJ, Cheng SF, Weisiger K, Zlatunich CO, Mudge C, Rosenthal P, Tuchman M, Packman S. Brain MR imaging in neonatal hyperammonemic encephalopathy resulting from proximal urea cycle disorders.AJNR Am J Neuroradiol. 2003 Jun-Jul;24(6):1184-7.


温馨提醒
请尊重我们的劳动成果,转载不要忘了注明出处哦~~~




神经病学俱乐部 微信号:NeurologyClub
神经病学俱乐部,立足一线临床,服务神经科同行,助力神经病学天天向上



分享 :