老年男性,认知功能迅速下降6月

89岁血管性痴呆男性,在摔倒后被送至急诊室。家属诉在过去6个月中认知功能迅速下降。患者表现出行为改变,且具有攻击性,数月前出现找词困难。病人有一段时间神志恍惚,在此期间其不回答任何问题或发起任何对话。


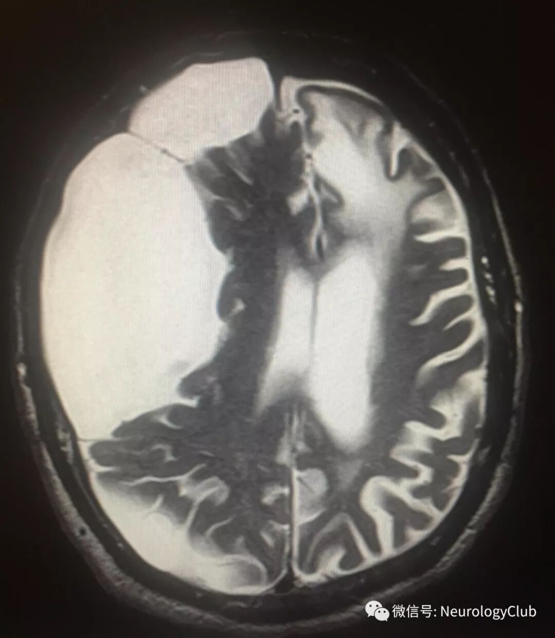
头颅MRI如下:

(图1:冠状位T2WI可见右侧大脑半球囊性病灶;有占位效应,伴中线移位和大脑镰下疝;在侧裂池分叉处可见大脑中动脉


(图2:横断面T2WI可见右侧大脑半球囊性病灶;可见蛛网膜下腔分隔;占位效应明伴中线移位,达11mm)


(图3:矢状位T1WI可见囊性病灶伴明显占位效应)


诊治经过

MRI可见一巨大囊肿伴中线移位,其内容物信号改变同脑脊液,沿前后缘分隔,邻近骨性结构变薄。占位效应伴有脑沟消失和右侧脑室受压,中线向左侧移位10mm以及出现大脑镰下疝。符合蛛网膜囊肿表现。


最终诊断

蛛网膜囊肿


讨论

蛛网膜囊肿是一种常见的神经发育异常,估计发病率为0.2-1.7%。蛛网膜囊肿好发于中颅窝。在颅内占位性病变中约占1%。在行头颅MRI检查的患者中,仅有1.4%被确诊为蛛网膜囊肿。仅5%的蛛网膜囊肿可出现症状。囊肿的临床表现因其位置和患者年龄而异。脑积水或头颅变形是儿童患者中最常见的表现,而在成年患者中,以头痛和癫痫发作最多见。


其他症状和体征包括共济失调,眼部异常,局灶性神经功能缺失,头晕和记忆力改变。文献报道颅内蛛网膜囊肿可引起高级执行功能障碍,如认知灵活性,规律学习,方案规划,问题解决以及任务启动等,在神经外科手术后可显著改善,即便这些囊肿是先天性的,累及脑组织时间长,但其影响似乎是可逆的。


[参考文献]

Yasir Al-Khalili, Jared Rosenblum.Large loculated cyst in the right sylvian fissure in a patient with subacute cognitive decline.J Clin Neurosci. 2017 Nov;45:123-4, 354.


温馨提醒
请尊重我们的劳动成果,转载不要忘了注明出处哦~~~


分享 :