青年男性,突然出现的搏动性头痛和血压升高

31岁男性,既往有偏头痛病史,表现为突然出现的搏动性头痛和血压升高(190/120mmHg)。自我疼痛评分为10/10。神经系统查体正常。一周前,患者因体育锻炼后出现类似症状而入院,但因头颅CT平扫结果正常出院。本次进一步头颅MRI检查。常规MRI序列,包括T2/FLAIR,DWI和SWI,未发现异常(图)。


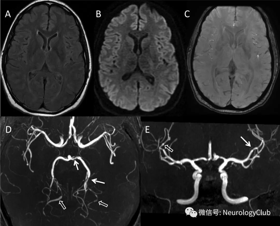
(图:A:FLAIR;B:DWI;C:SWI;头颅MRI未见明显异常,排除梗死、出血和可逆性后部脑病综合征;D-E:MRA可见广泛的多发动脉痉挛,主要累及大脑后动脉,呈“串珠样”外观,主要因血管交替性狭窄和扩张所致;大脑前循环,尤其是大脑中动脉同样受累)


诊治经过

MRA可见弥漫性动脉痉挛,呈“串珠”样表现,符合可逆性脑血管收缩综合征(reversible cerebral vasoconstriction syndrome,RCVS)。


最终诊断

可逆性脑血管收缩综合征


讨论

RCVS的特征为脑动脉的可逆性多灶性狭窄,反复出现的雷击样头痛,伴或不伴局灶性神经功能缺损。RCVS与内皮功能障碍有关,也可伴发可逆性后部脑病综合征(PRES)。动脉自旋标记成像可能有助于发现低灌注区域或排除偏头痛等其他鉴别诊断。RCVS可能与血管活性药物的使用或围产期有关。出现雷击样头痛需考虑RCVS的诊断,特别是当没有蛛网膜下腔出血时。早期治疗对于并发症的预防至关重要,因为多达一半的患者可能出现出血性或缺血性脑损伤。在雷击样头痛中,RCVS的发生率在8.8%-45.8%之间变化,也可能被低估。治疗包括钙离子通道拮抗剂,卧床休息,镇痛药和去除诱发因子。


[参考文献]

Cholet C, Dormont D, Law-Ye B.MR angiography of reversible cerebral vasoconstriction syndrome.Diagn Interv Imaging. 2018 Sep;99(9):525-526.


温馨提醒
请尊重我们的劳动成果,转载不要忘了注明出处哦~~~


分享 :