颅内短T1信号病变的鉴别诊断

T1WI高信号(短T1信号)是颅内病变常见表现,原因包括脂肪、出血、含蛋白病变、顺磁性物质沉积、钙化、黑色素等。确定短T1信号的性质采用以下方法:①常规MRI序列,根据不同病理基础,T2WI可呈高、中等或低信号;②脂肪抑制技术,常用频率选择性化学饱和技术,适合确定是否为较大量脂肪,同反相位技术用于显示微量脂肪;③T2*WI及磁敏感加权成像(susceptibility weighted imaging,SWI),用于显示出血,其中SWI更敏感,出血可呈各种形态低信号,尤其有助于检出微量出血和陈旧性出血;④DWI用于囊性病变评估,病灶内含蛋白成分较高时扩散受限;⑤T1WI增强扫描观察病变囊壁及实性部分有无强化。一般来说,影像学上发现脑内短T1信号时应先采用脂肪抑制技术确定是否为脂肪,若非脂肪,再行T2*WI或SWI观察有无血红蛋白及其代谢产物,无出血时为顺磁性沉积,此时可根据各序列表现,选择DWI、MRS、T1WI增强扫描等技术进一步评价。


含脂肪病变


1. 脂肪瘤

脂肪瘤由脂肪组织与不同量的血管、黏液-胶原纤维、胶质及神经节细胞构成,80%-95%位于中线或近中线区,常见于胼胝体周围、外侧裂、四叠体池、脚间池、桥小脑脚池及侧脑室三角区脉络丛,呈结节状或弧线状,内部可有钙化。其MRI特征为T1WI和T2WI高信号,边缘出现化学位移伪影,脂肪抑制序列信号降低(图1、2)。常合并中线部畸形如胼胝体发育不良或缺如。


2. 皮样囊肿

皮样囊肿内部为脂肪、胆固醇、脱屑细胞及角化碎屑,与表皮样囊肿不同的是,其内含皮肤附件如毛囊、汗腺和皮脂腺,鞍旁区最常见。T1WI为边缘清楚的不均匀高信号,T2WI呈不同信号,有时可见脂肪-脂肪界面或脂肪-碎屑界面,脂肪抑制序列证实其脂肪成分。增强扫描无强化,合并感染时可强化。囊肿渗漏或破裂可引起化学性脑膜炎和交通性脑积水,MRI显示脑沟及脑池内脂肪滴(图3)。主要与表皮样囊肿相鉴别,中线分布、患者较年轻、脂肪抑制序列上信号降低支持皮样囊肿的诊断。


3. 畸胎瘤

畸胎瘤包括三胚层组织,以松果体区最常见,后颅凹次之,影像学特征为囊实性并存,可见脂肪及骨化或钙化,其中脂肪最具特征,呈含量不等的T1WI高信号(图4)。鉴别诊断包括皮样囊肿、表皮样囊肿及软骨类肿瘤。

4. 脂肪性脑膜瘤

脂肪性脑膜瘤又称为脂肪瘤性脑膜瘤,较罕见,内含成熟脂肪,似脂肪母细胞,为脑膜细胞间变的结果,MRI表现为信号欠均匀,T1WI及T2WI高信号,短T1部分信号可被抑制。


非肿瘤性出血性病变


1. 自发性脑实质内血肿

自发性脑实质内血肿病因包括高血压、淀粉样变、动脉瘤及血管畸形破裂、生发基质出血和血液系统疾病等,以高血压性脑出血最常见,好发于基底节、丘脑和内囊,而淀粉样变和血管畸形的出血易见于脑叶或皮层下。血肿信号变化复杂,取决于病程、大小、部位、血红蛋白的氧合状态、血凝块收缩程度、灶周水肿及患者血色素水平等。脑内血肿演变分为5期:①超急性期,细胞内氧合血红蛋白;②急性期,氧合血红蛋白向脱氧血红蛋白演变;③亚急性早期,细胞内高铁血红蛋白;④亚急性晚期,红细胞崩解,产生细胞外高铁血红蛋白;⑤慢性期,巨噬细胞将血红蛋白转变为含铁血黄素及铁蛋白。不同部位及大小的血肿演变有差异。典型的自发性脑内血肿信号变化自周边向中心扩展,出血后第1周,血肿内铁为二价氧化为三价,具有显著超顺磁性,T1WI上呈高信号(图5),这种高信号呈向心性扩展;亚急性晚期(第1-2周),高铁血红蛋白进入细胞外,血肿于T1WI、T2WI上均为高信号。


特殊原因的脑内血肿:①淀粉样变所致的脑内血肿可较大,也可较小,后者在常规T1WI上难以显示,而在T2*WI及SWI上为多发斑点状低信号,富有一定特征性;②脑血管畸形,包括发育性静脉畸形、动静脉畸形(图6)、毛细血管扩张症、海绵状血管畸形(图7)。其中动静脉畸形约占脑内出血的2%;海绵状血管畸形常有慢性隐性出血,MRI为其首选影像学检查,典型表现为爆米花状高信号及病变周围含铁血黄素所致的信号环,但SWI比T1WI对出血更敏感。

2. 颅脑外伤

颅脑外伤包括脑挫裂伤、弥漫性轴索损伤及脑内外血肿,均可出现T1WI高信号。①脑皮质挫裂伤及脑内血肿:常见于表浅皮质,好发部位为颞叶前下部、外侧裂周围、枕叶后部和额叶底部等,斑点状出血可融合为较大血肿,以外伤后24-48h最为显著。灶状出血表现为境界清楚或不清的斑点状T1WI高信号(图8),脑回卷曲可导致脑回状T1WI高信号。挫伤区亚急性期出血呈发夹状高信号,形似亚急性期脑梗死或缺氧。重症病例则见较大范围血肿,MRI表现与其它原因脑出血一致。②弥漫性轴索损伤:加速或减速伤引起轴索肿胀和中断,常见于额颞叶灰白质交界区、胼胝体、穹窿、脑干、基底核和内囊,大小可数毫米至数厘米,约50%见灶内出血,亚急性期T1WI偶可显示点状高信号,但一般需T2*WI或SWI检出。③脑外血肿及蛛网膜下腔出血(SAH),硬膜外与硬膜下血肿的信号取决于病程等因素,急性者T1WI呈等信号或稍低于脑实质信号,亚急性期为T1WI高信号(图9)。T2WI上因细胞外高铁血红蛋白呈T2WI高信号,但再出血可致血肿信号混杂。常规T1WI对SAH并不敏感,有时可显示脑底池、外侧裂及脑沟等部位高信号,不及FLAIR及SWI检出率高。④此外,外伤性血管病变如动脉夹层、假性动脉瘤也可表现为邻近脑实质或累及脑实质的短T1信号病变,结合MRA显示局部血管狭窄及形态异常可提示诊断。

3. 感染性病变

如病毒所致弥漫性脑炎,常见于免疫抑制患者。单纯疱疹病毒(HSV)脑炎是最常见的散发性脑炎,其它包括巨细胞病毒及人类免疫缺陷病毒脑炎等。HSV出血性脑炎常见于颞叶前部及额叶眶面,表现为斑片状出血及异常强化,水肿区内灶状出血呈短T1、短T2信号。需要鉴别的是横窦血栓引起快速进展的水肿及斑片状出血,累及岛叶、扣带回和豆状核外侧白质,而病变为双侧性是HSV脑炎的特点。


肿瘤继发出血


颅内原发和继发肿瘤均可引起出血,发生率为1%-15%。高级别肿瘤内新生血管、动静脉分流较多,快速生长导致坏死及血管受侵引起出血。MRI特点:出血与非出血部分混杂,信号更不均匀,可见短T1成分,慢性出血所致含铁血黄素环不完整,非出血部分可见强化,出血部分不按常见规律吸收,灶周遗留水肿及占位征明显,增强扫描可见结节状或厚环状强化。


1. 原发脑肿瘤

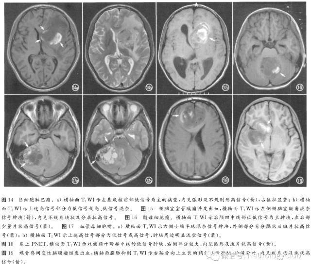
①垂体瘤:囊变、出血、坏死常见于10mm以上者,急性出血可导致肿瘤快速增大及压迫视交叉和垂体其余部分,出现急性视力下降及内分泌功能异常,并伴头痛,称垂体卒中,溴隐亭治疗者出血发生率增加;亚急性期MRI表现为T1WI高信号,脂肪抑制无信号下降(图10),随访可见病变缩小及囊腔形成。主要应与Rathke裂囊肿及颅咽管瘤鉴别。②胶质瘤:间变性星形细胞瘤、多形性胶质母细胞瘤(图11、12)和少突胶质瘤(图13)易出血,尤其是镜下可见的出血。③其它肿瘤如淋巴瘤(图14)、室管膜瘤(图15)与室管膜下瘤、髓母细胞瘤(图16)、血管母细胞瘤(图17)、原始神经外胚层肿瘤(图18)、表皮样囊肿及神经源性肿瘤,甚至少数脑膜瘤(图19)也可继发出血,形成瘤内T1WI高信号、甚至囊液-血液平面。

2. 转移瘤

转移性肿瘤如支气管肺癌(图20)、肾细胞癌、黑色素瘤、绒癌(图21)、甲状腺癌最易出血,且常为多发性,短T1成分表示亚急性期及慢性早期出血。主要与海绵状血管瘤及其它隐匿性血管畸形相鉴别。增强扫描时非出血部分强化以及脑外肿瘤史有助于诊断。

脑缺血及其他脑血管病


1. 脑梗死

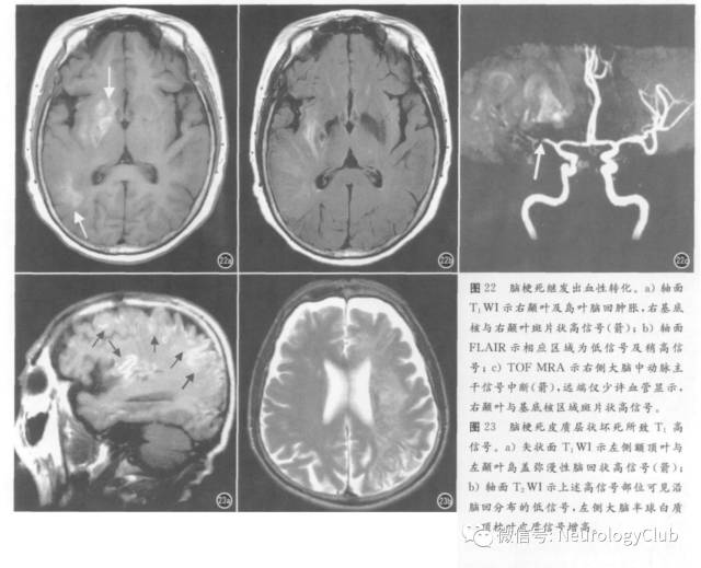
脑梗死的短T1信号主要见于亚急性期,原因包括出血与皮质层状坏死,病理学基础为脱氧血红蛋白、高铁血红蛋白、铁、钙盐及其他顺磁性物质沉积。继发于抗凝治疗或再灌注所致的出血,称为出血性转化(图22),临床病例发生率高达43%,病理学发现率更高。T1WI高信号自发病第2天至2个月末均可出现。皮质层状坏死呈皮质线状或脑回状高信号(图23),见于2周后,1-2个月时最明显,可持续至第18个月,T2*WI及SWI序列研究表明并非出血,病理学上铁染色阴性,镜下显示为坏死碎屑中的蛋白变性,少数病例SWI序列上斑点状低信号可能代表顺磁性物质如锰与自由基沉积。多灶性出血性梗死提示为栓塞性,见于心内膜炎等。鉴别诊断包括肿瘤出血、静脉性脑梗死。

2. 缺血缺氧性脑病

也可出现短T1信号,但其脑皮质坏死选择性累及第4-6层,而脑梗死为全层坏死;脑梗死侵犯脑皮质突出的部分或称穹窿部,而缺血缺氧所致皮质坏死易见于脑沟处脑皮质,无囊状改变,但可发生铁沉积。


3. 后部可逆性脑病综合征

常合并出血(5%-17%),呈少许斑点状、脑回状(蛛网膜下腔出血)或块状T1WI高信号,机制为血管内皮细胞损伤、功能障碍、再灌注损伤以及其他因素如移植后机体免疫反应、免疫抑制剂的损害等,以移植后及子痫患者最多见,但高血压严重程度及脑内水肿性病变程度与出血之间缺乏相关性,抗凝治疗者出血发生率较高。


4. 静脉窦血栓

约40%脑静脉或静脉窦血栓合并出血,血肿本身MRI表现无特殊性,同时显示的脑静脉或静脉窦T1WI高信号(约97%)可提示诊断(图24、25)。


5. 动脉瘤

颅内动脉瘤及其出血均可造成短T1信号,约30%动脉瘤破裂造成脑内血肿,表现与自发性脑出血相同。动脉瘤本身短T1信号原因包括慢血流造成的流动相关增强与血栓形成,超过25mm的巨大动脉瘤至少管腔部分血栓化,呈特征性的层状或向心性,不同期龄血栓为层状T1WI中高信号(图26),通畅部分则为流空信号。大型动脉瘤血流复杂、动脉纡曲、动脉瘤样扩张(图27)、流速快及涡流明显,信号更加混杂,需注意的是常规SE序列难以鉴别慢血流与腔内血栓,此时需行流动敏感序列扫描。

囊肿与囊性肿瘤


1. 颅咽管瘤

多有囊变,囊性部分可呈短T1信号甚至很高信号(图28),为蛋白质与胆固醇成分所致,少数由于钙化和出血。鉴别诊断包括垂体瘤卒中与累及鞍区的星形细胞瘤。CT检查显示钙化(80%)有助于本病诊断。


2. 胶样囊肿

一般边缘清楚,约60%呈T1WI高信号及T2WI高信号,原因为蛋白质成分较高及黏液较多。囊肿周边可见环状强化,代表纤维包膜。鉴别诊断包括脑膜瘤、室管膜瘤。


3. Rathke裂囊肿

来自Rathke裂上皮残余,其50%位于鞍内,25%位于鞍上,25%跨越鞍上及鞍内。内含不同含量的蛋白质、粘多糖、细胞碎屑、胆固醇,因此T1WI与T2WI信号可为低、等及高信号(图29),增强扫描一般无强化。鉴别诊断包括垂体瘤出血及颅咽管瘤。


4. 表皮样囊肿

仅含表皮组织,包括去鳞状化细胞与角化碎屑,最常见于桥前区与CPA池、鞍上及鞍旁、后颅凹及颅骨内(图30、31),典型表现为各序列信号与脑脊液信号近似,但FLAIR序列上为不均匀高信号,DWI显示扩散受限,少数呈短T1信号,似皮样囊肿,内含较高胆固醇成分。高信号表皮样囊肿需与脂肪瘤及皮样囊肿鉴别,不同之处是无化学位移伪影及脂肪抑制无信号下降。

肝病相关脑部病变


1. 肝硬化与肝性脑病

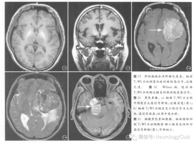
慢性肝病、自发性与医源性门-体静脉分流(后者包括经颈静脉门体静脉分流即TIPS)均可出现脑内T1WI高信号,机制尚不完全明确,可能为锰过度沉积所致星形细胞氨解毒效应,铜沉积也增多,但铜并非顺磁性物质。正常情况下,锰经胃肠道吸收、胆道系统排泄。肝细胞功能障碍时,血液内锰含量增高,病理学上可见星形细胞增生。MRI信号各异,特征性表现为T1WI高信号及T2WI等或低信号,见于基底核、下丘脑、四叠体板、红核周围、大脑脚、内囊、垂体前叶、胼胝体、齿状核等,半数以上为双侧性与对称性(图32)。肝移植后此种T1WI高信号可消退。鉴别诊断主要是其他引起双侧性基底核短T1信号的病变,包括甲状旁腺功能低下及假性甲状旁腺功能低下、Fahr病、缺血缺氧性脑病、非酮症性高血糖、错构瘤、神经纤维瘤病I型、日本脑炎伴出血等,这些疾病特点是伴脑实质其他部位病变或T2WI异常信号。其他可引起脑内锰过度沉积的原因包括长期胃肠外营养、先天性肝内门-体静脉分流、焊工、肝功能障碍患者反复使用MR对比剂锰福地匹酸钠等。


2. Wilson病

为血清铜蓝蛋白缺乏造成的隐性遗传病,过量铜沉积于肝脏、脑、角膜、骨骼与肾脏,常于青少年时期发病,以肝硬化、基底核与脑干退行性改变(脱髓鞘及囊性变)、角膜Keiser-Fleischer环为临床特征,脑实质病变见于壳核、尾状核、脑桥与中脑神经核、小脑齿状核等部位(图33),MRI表现可为T1WI高信号与T2WI低信号,T1WI高信号说明合并肝脏病变。较严重患者可见皮层下白质受累,额叶最常见,另外可见脑萎缩。


3. 胆红素脑病

也称黄疸后脑病,见于婴儿重度黄疸患者,尤其是早产儿,血液中胆红素超过白蛋白所能结合的水平时,即致血脑屏障损害。临床表现为舞蹈手足徐动症、僵直、共济失调、神经性耳聋等,预后不良。急性期可见苍白球及丘脑下部神经核T1WI高信号,MRS显示谷氨酸盐、牛磺酸、肌醇峰增高及胆碱峰下降。


黑色素及其他顺磁性物质沉积


1. 黑色素瘤

也称恶性黑色素瘤,可为颅内原发或颅外黑色素瘤转移。原发者来源于软脑膜黑色素细胞小泡或蛛网膜黑色素细胞,可发生于颅内和脊髓硬脊膜的任何部位。MRI表现取决于瘤内黑色素含量和瘤内是否出血。典型表现为T1WI高信号与T2WI低信号(图34),其原因是黑色素的自由基含有不成对电子和氢质子的顺磁性效应,二者相互作用导致T1和T2弛豫时间缩短。根据黑色素含量不同分为黑色素型(T1WI高信号与T2WI低信号)、不含黑色素型(T1WI低或等信号、T2WI加权像呈中高或等信号)、混合型(信号混杂,既有T1WI高信号,也有等信号与稍低信号,T2WI以高信号为主,也见少量低信号)及血肿型(类似于自发性脑出血)。平扫T1WI等信号或稍高信号增强扫描时部分强化明显。鉴别诊断主要是亚急性颅内血肿、胶质瘤与转移瘤伴出血,星形细胞瘤或转移瘤出血CT与MRI表现为不均质肿块,占位效应及水肿可均较明显,转移瘤常有原发瘤史。


2. 脑膜黑色素细胞瘤

为脑膜缓慢生长的色素性良性病变,见于后颅凹、Meckel腔、鞍区、松果体区、椎管,尤以脑干腹侧常见。病理学特征为肿瘤细胞无间变、坏死及周围组织侵犯,可见较多黑色素小体及前黑色素小体,T1WI为等或高信号(图35),T2WI为等或低信号。T1WI高信号部分并非脂肪,在脂肪抑制序列上仍为高信号。增强扫描肿瘤呈均匀或不均匀强化。鉴别诊断包括合并出血的三叉神经鞘瘤、脑膜瘤、海绵状血管瘤及表皮样囊肿。

3. 神经皮肤黑色素病

罕见,其特点为柔脑膜黑色素细胞增生,伴多发性先天性皮肤色素或巨大毛发痣,可转变为中枢神经系统原发性黑色素瘤,以脑膜为基底的多发3cm以下病变,呈T1WI中高信号及T2WI不同信号,显著强化。本病可伴随小脑蚓部发育不良、蛛网膜囊肿及Dandy-Walky畸形。


其他短T1信号病变


1. 神经垂体异位

正常神经垂体位于后叶,呈T1WI高信号,机制为储存抗利尿激素与加压素的神经内分泌囊泡附近水分子弛豫增强。垂体后叶异位见于43%的生长激素缺乏患者,以及垂体与下丘脑肿瘤、垂体柄创伤性与医源性损伤、结节病、Langerhans组织细胞病等后天性因素,MRI是本病唯一诊断方法。鉴别诊断包括其他造成下丘脑短T1信号的疾病,如脂肪瘤、皮样囊肿或畸胎瘤。


2. 多发性硬化

可见双侧齿状核呈T1WI高信号,T2WI高信号,可能为神经组织退变所致,发生率为19.3%,易见于继发进展型多发性硬化及神经功能障碍严重的患者。


3. 结核性肉芽肿

也可引起短T1效应,可能与病变内巨噬细胞吞噬脂质有关。颅内结核好发于脑膜及脑实质(图36),尤以基底池、桥前池常见,呈结节状或斑片状轻度T1WI高信号,增强扫描明显强化,同时见到脑膜增厚及脑外结核有助于诊断。


4. 钙化

通常为T1WI与T2WI均呈低信号,但抗磁性钙盐加上其他顺磁性物质如铁和锰,也可导致T1缩短。甲状旁腺功能低下和亢进、甲状腺功能低下、线粒体脑病、Fahr病、CO中毒及特发性钙化是颅内钙化的常见原因,结节性硬化(图37)、软骨瘤(图38)也可见钙化及T1WI高信号。

总之,颅内短T1信号见于多种原因,全面的磁共振成像技术结合病变部位、其他影像学征象以及临床资料有助于明确诊断。


放射学实践  2012年4-5月第27卷4-5期

作者:张微 袁涛 全冠民河北医科大学第二医院放射科


分享 :