颈动脉蹼与隐源性卒中的研究进展

隐源性卒中(cryptogenic stroke)是指通过筛查常见致病因素仍未发现可能病因的症状性脑卒中,这一概念是随着研究进展而逐渐变动的。随着医学技术的进步,越来越多脑卒中的罕见病因被发现,为隐源性卒中的二级预防提供了帮助。颈动脉蹼(carotid web)是位于颈动脉球后壁颈动脉分叉以远的腔内薄层突出物。近年来,有研究指出颈动脉蹼可能是隐源性卒中的危险因素,为了能够准确地对颈动脉蹼进行快速诊断,对隐源性卒中实施针对性干预,减少卒中事件的再发,我们拟对颈动脉蹼与隐源性卒中的关系、病理研究、发病机制、常见的影像学特点、诊断及治疗方面的研究进展做一综述。

一、颈动脉蹼与隐源性卒中的关系

1. 隐源性卒中的研究隐源性卒中的诊断是一个排除性诊断,是指经过目前充分的检查和检验评估后排除已知的卒中病因得出的诊断隐源性卒中多见于年轻人,最常见的原因是心源性栓塞,其次是血管病变和凝血系统疾病在心源性栓塞中最常见的病因是反常性栓塞、阵发性心房颤动、瓣膜性心脏病、房间隔动脉瘤等血管病变最常见的是复杂的主动脉斑块和Fabry病。隐源性卒中发病机制的异质性导致了隐源性卒中治疗和预防的差异性。

2. 颈动脉蹼与隐源性卒中的关系随着越来越多的研究致力于隐源性卒中的病因探索,目前研究者发现的可能病因包括主动脉粥样硬化、卵圆孔未闭、主动脉夹层、Fabry病、高同型半胱氨酸血症、阻塞性睡眠呼吸暂停、偏头痛、血栓性血小板减少性紫癜等,为临床医生针对卒中复发开展针对性二级预防做出了很大贡献,但是据不完全统计,仍有三分之一的卒中患者未明确发病原因。最近的一项病例对照研究显示,在病因不明的青年卒中患者中,颈动脉蹼与缺血性卒中在统计学上存在显著相关性。这项单中心病例对照研究对颈动脉蹼与缺血性卒中之间的关联进行了观察,以确定颈动脉蹼是缺血性卒中的危险因素。研究发现颈动脉蹼在脑卒中患者中的发病几率约是对照组的8倍。Sajedi等对颈动脉蹼的流行病学进行了研究,发现在隐源性卒中患者中颈动脉蹼的发生率为21.2%,在非隐源性卒中的发生率为1.6%。这些研究提示,颈动脉蹼与隐源性卒中的发生可能具有一定相关性。

二、颈动脉蹼的病理研究

最近,Sajedi等对2例颈动脉蹼患者进行了颈动脉内膜剥脱术,2例患者的病理均显示广泛内膜肌纤维增生伴随纤维化和黏液样变性,且未发现动脉粥样硬化样改变。这个病理结果符合非典型性内膜型肌纤维发育不良。这与Joux等在2014年发表在Stroke杂志上的研究相一致。典型的肌纤维发育不良是一种罕见的原因不明的节段性硬化性动脉疾病,常见于中年白人妇女,在影像学上具有典型的“串珠”样表现,与缺血性脑卒中无直接关联而非典型的肌纤维发育不良在组织学上与典型的病例相比具有内膜纤维化和增生的表现,主要位于颈动脉球后外侧,极少见于椎动脉,影像学表现类似于一个尖刺样改变

三、发病机制

目前颈动脉蹼的病因学还不清楚,一些可能的解释有遗传倾向、慢性血管损伤、激素原因和血管畸形等而口服避孕药可以引起动脉内膜增生,这可能是年轻女性颈动脉蹼的原因。还有一些动脉粥样硬化或发育起源的机制也被提出。

颈动脉蹼引起脑卒中的机制目前尚不明确,还处于研究过程中。颈动脉蹼患者的超声结果提示,颈动脉蹼所在位置的颈动脉狭窄超过70%,可能通过导致血流灌注不足,引起缺血性脑卒中的发生。还有一种可能引起脑卒中的机制是:在颈动脉蹼和颈动脉球后壁之间存在一个慢血流区域,类似于左心耳血栓形成的环境,这种区域由于血流淤滞及湍流的形成,容易产生血栓,随着血栓体积增大,容易发生脱落并向远处移动,从而引起颅内动脉栓塞事件动脉粥样硬化斑块和颈动脉蹼导致血栓栓塞的机制是不同的,动脉粥样硬化斑块是通过斑块增大致颈动脉管径狭窄引起颅内低灌注或斑块脱落形成栓子,导致颅内动脉栓塞。明确颈动脉蹼导致卒中的发病机制,有利于针对性实施缺血性卒中的二级预防。

四、颈动脉蹼的影像学特点及相关鉴别

1. 颈动脉蹼的影像学表现颈动脉蹼是位于颈动脉球后壁颈动脉分叉以远的腔内薄层突出物其诊断主要依靠于颈动脉血管影像学检查,临床常见的颈动脉血管检查方法有颈动脉超声、磁共振血管造影(MRA)、CT血管造影(CTA)及数字减影血管造影(DSA)技术。由于颈动脉蹼目前还处于进一步研究中,尚缺乏各种血管成像技术对颈动脉蹼准确诊断的标准,但是依据既往对于卒中患者颈动脉评估的经验,颈部CTA和DSA会优于超声和MRA由于CTA具有快速、高分辨率成像和获取多平面重建图像能力等优点,在识别颈动脉蹼的特征和类似疾病如动脉粥样硬化和颈动脉夹层等方面具有明显的优势,临床上首选颈部CTA作为其检查方法在颈部CTA的矢状位图像上可以看到颈动脉蹼是一个沿颈动脉球后壁存在的薄的腔内充盈缺损,在轴位图像上显示为颈动脉腔内隔层样薄膜结构,这是颈动脉蹼在影像学上的特征性表现DSA上颈动脉蹼则表现为半透明的线性腔内充盈缺损,而且在颈动脉蹼的远端有造影剂的滞留,这可能和我们猜测的发病机制相一致,容易引起血流停滞,形成血栓在超声检查上表现为灰阶超声上的一条组织带,该组织突出在血管腔内,导致颈动脉局部狭窄彩色多普勒显示,在颈动脉蹼处有高流量的射流和混叠现象,是颈动脉管腔变窄的表现


(图1:多普勒超声[A],CT血管造影[B-C]和3D增强MR血管造影[D]可见颈动脉蹼;引自:Renard D, Hampton J, Keita M, Freitag C.Teaching NeuroImages: Multimodality imaging of carotid web.Neurology. 2018 Apr 24;90(17):e1541.)


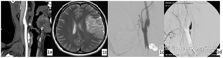
(图2:a:CT血管造影提示可能的颈内动脉蹼;b:MRI可见左侧额颞区缺血性病变;c-d:DSA证实颈内动脉蹼;引自:Pacei F, Quilici L, Mullin S, Innocenti A, Valvassori L, Nardone R, Bet L.Web of the carotid artery: An under-recognized cause of ischemic stroke.J Clin Neurosci. 2018 Apr;50:122-123.)


2. 颈动脉常见血管病变的影像学鉴别(表1):颈动脉蹼是颈动脉血管病变的一种,临床上主要通过其影像学特征被识别,这就需要与常见的颈动脉血管病变如颈动脉夹层、颈动脉粥样硬化斑块和创伤性动脉瘤等相鉴别,创伤性损伤可导致内膜撕裂和(或)壁内血肿,导致腔内狭窄和血栓形成。颈动脉夹层可能是创伤性的,也可能是自发性的。局灶性动脉粥样硬化斑块有时可以类似于颈动脉蹼的表现。在复发性脑血管事件和无创伤史以及血管危险因素的患者中应考虑颈动脉蹼的诊断。

颈动脉夹层是由于各种原因(外伤性或自发性)导致颈动脉内膜破裂后血液进入血管壁内,引起血管内膜与中层分离,造成血管狭窄或血管扩张夹层动脉瘤该病是青年卒中的重要原因颈动脉夹层的超声表现有颈动脉呈双腔结构(真腔和假腔),动脉有不规则狭窄,远端逐渐变细或闭塞或伴有瘤样扩张和壁内血肿其CTA常见表现为血管腔呈偏心性狭窄,内膜瓣形成双腔,可伴动脉瘤出现或出现血管腔闭塞其DSA常见表现为:(1)直接征象:双腔征、双向血流和晚期动脉显像对比剂滞留于夹层内;(2)间接征象:包括动脉管腔呈串珠状、波纹状、内膜瓣、线样征表现或管腔呈火焰状、鼠尾状闭塞

颈动脉粥样硬化斑块是颈动脉粥样硬化的早期临床表现,具有多发、易破裂及诱发血栓形成等特点,易导致脑血管病的发生。早期动脉硬化表现为内中膜增厚,厚度超过1.5mm则诊断为动脉粥样硬化伴斑块形成根据声像图可将斑块分为4种:扁平斑、脂质斑(软斑)、钙化或纤维斑(硬斑)、溃疡斑CTA可以综合评价颈部血管狭窄程度、位置、范围以及有无血栓成,根据颈动脉粥样硬化斑块密度所测量的CT值及斑块的组成,可将斑块分为钙化性斑块、混合性斑块和软斑块。DSA通过造影剂充盈血管后可显示管腔内部情况,如斑块部位、形态、数量及大小,并能清晰显示管腔狭窄情况。

五、诊断及治疗原则

颈动脉蹼的诊断主要是依据典型的影像学表现,其在颈部CTA矢状图像上显示为一个沿颈动脉球后壁,薄的、光滑的、膜状的管腔内充盈缺损,以及轴向图像上相应的薄层样隔膜。虽然颈动脉蹼在CTA上具有特征性表现,但是对于颈动脉蹼的准确诊断还需依赖于医生对于颈动脉蹼的熟悉程度以及对于影像学检查方法的熟练掌握。

在针对颈动脉蹼治疗的研究方面,目前还没有统一的意见,但是对于卒中区域供血动脉存在颈动脉蹼且没有其他明确病因的缺血性卒中患者,临床医生应该考虑治疗和预防颈动脉蹼上复发性血栓形成。根据目前颈动脉蹼发病机制的相关研究,发现在颈动脉蹼下相对停滞的血流表面容易产生血栓,因此抗凝治疗可能更适用于颈动脉蹼的治疗和二级预防,抗血小板治疗、颈动脉血管成形术和支架置入术以及颈动脉内膜切除术是其备选的治疗方案。在目前针对颈动脉蹼治疗研究最多的病例中。,平均2年的随访期后,手术组卒中复发率为0%(7例患者中0例),单独抗血小板治疗组为30%(20例患者中有6例)。虽然目前没有高质量的数据来指导最佳治疗,但有证据表明仅仅抗血小板治疗是不够的,这可能是因为在组织病理学上颈动脉蹼主要表现为非典型性肌纤维发育不良,所以最终治疗可能需要颈动脉内膜切除术或血管内支架置入术

六、展望

颈动脉蹼是隐源性卒中再发的可能危险因素之一,掌握颈动脉蹼的病理结构、发病机制及其影像学特点,提高放射科医生及临床医生的认识,做到早期识别颈动脉蹼,为卒中的预防进行针对性的干预,进而可降低未来卒中发生及复发的风险。虽然临床研究及临床技术不断发展,使得隐源性卒中的研究取得了一定的进展,令颈动脉蹼这一罕见的病因进入了临床医生的视野,但现阶段,仍存在一定的问题。首先,颈动脉蹼与隐源性卒中、复发型卒中存在一定的关系,但尚缺少高质量的循证医学证据,且对于其病理表现及发病机制仍存在争议。其次,颈动脉蹼的药物治疗及手术干预缺乏长期的临床随访证据,目前尚无明确定论。所以对颈动脉蹼开展深入的研究,明确颈动脉蹼的发病机制、诊治要点及预防策略,无疑将为隐源性卒中的管理开拓新的应用前景。


中华神经科杂志  2018年9月第51卷第9期

作者赵新玲 秦川 田代实华中科技大学同济医学院附属同济医院神经内科


分享 :