10岁男孩,痉挛性下肢轻瘫

10岁男孩,因下肢肌力下降入院。查体提示孤立性痉挛性下肢轻瘫。胸椎MRI可见髓内囊性病变(图1)。


(图1:A:矢状位增强T1;B:矢状位T2WI;MRI可见位于T3-T4水平的髓内囊性病变,伴厚壁和强化,周边可见血管源性水肿;病变在T2WI上呈高信号[由于囊液的蛋白质成分],T1上WI可见条纹状高信号[或提示退化的头节],符合囊虫病胶体期[可貌似肿瘤性病变])


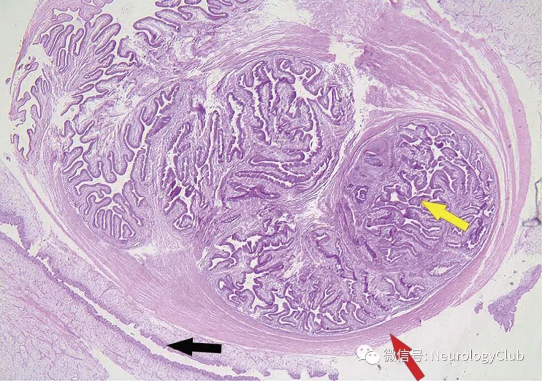
(图2:组织病理学可见包在荚膜内的囊尾蚴幼虫[H&E,40×];外膜[黑箭],幼虫头节[红箭]和幼虫肠道[黄箭])


诊治经过

患者接受显微手术完全切除病灶。解剖病理报告(图2)证实为囊虫病。


最终诊断

脊髓囊虫病


讨论

髓内囊虫病是由猪带绦虫所致的罕见寄生虫感染(占所有神经囊虫病的0.7%-5.8%)。这种情况通常较难诊断,因为在退化阶段,很难在MRI上看到寄生虫,主要是头节,并且由于其位于脊髓实质内,免疫学检查多为阴性。


[参考文献]

Almeida C Jr, de Almeida GC, Pentiado JAM Jr, Konichi Dias R.Teaching NeuroImages: Spinal intramedullary cysticercosis: The pseudotumoral form.Neurology. 2018 Sep 18;91(12):e1202-e1203.


温馨提醒
请尊重我们的劳动成果,转载不要忘了注明出处哦~~~


分享 :