青年女性,头痛伴双下肢无力和麻木2周

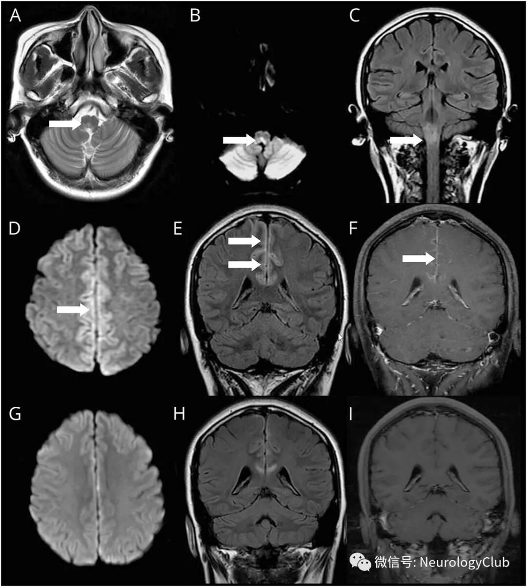
27岁女性,表现为头痛伴双下肢无力和麻木2周。两年前,患者有难治性呃逆和呕吐,MRI上可见极后区病变(图A-C)。最近的MRI可见邻近大脑镰的皮质损害伴柔脑膜强化(图D-F)。


(图:先前的T2WI,DWI和FLAIR图像[A-C]可见延髓高信号;最近的DWI和FLAIR可见局灶性皮质高信号[D-E]和柔脑膜强化[F];治疗后病灶改善[G-I])


诊治经过

感染性疾病筛查结果阴性。血清水通道蛋白-4-免疫球蛋白G阳性。免疫球蛋白和大剂量甲基强的松龙治疗后症状和影像学明显好转(图G-I)。


最终诊断

视神经脊髓炎谱系疾病


讨论

类似本例不常见,因为视神经脊髓炎谱系疾病罕见累及皮质和软脑膜。软脑膜强化可能与软脑膜和软脑膜下表面 AQP-4 功能受损有关,可表现为线状或较粗的,弥漫的病灶。脑干周围的软脑膜强化近期也有报道。软脑膜强化需除外感染性疾病,肉芽肿性疾病(如结节病)以及肿瘤性疾病等。表现为软脑膜强化的 NMOSD 患者可有脑病样症状,使得临床上诊断难度加大,需小心鉴别。


相关链接

各个击破:视神经脊髓炎谱系疾病脑内病灶的7种强化模式


[参考文献]

Sun H, Wu L.Teaching NeuroImages: Cortical damage with leptomeningeal enhancement in neuromyelitisoptica spectrum disorder.Neurology. 2018 Sep 11;91(11):e1087-e1088.


温馨提醒
请尊重我们的劳动成果,转载不要忘了注明出处哦~~~


分享 :