11岁男孩,反复癫痫发作1年,左侧肢体无力以及认知功能下降6月

发育正常的11岁男孩,父母非近亲结婚,为第二胎,围产期正常,表现为反复癫痫发作1年,左侧肢体无力以及认知功能下降6月。先前无发热性疾病或头部创伤。开始癫痫发作隐匿起病,少有出现,且为全面性强直-阵挛类型。后2月,患者癫痫发作变得更为频繁,时间更长,为左侧肢体阵挛样表现。此后的8月,癫痫发作近乎连续,左侧局灶性阵挛,不伴有意思丧失。


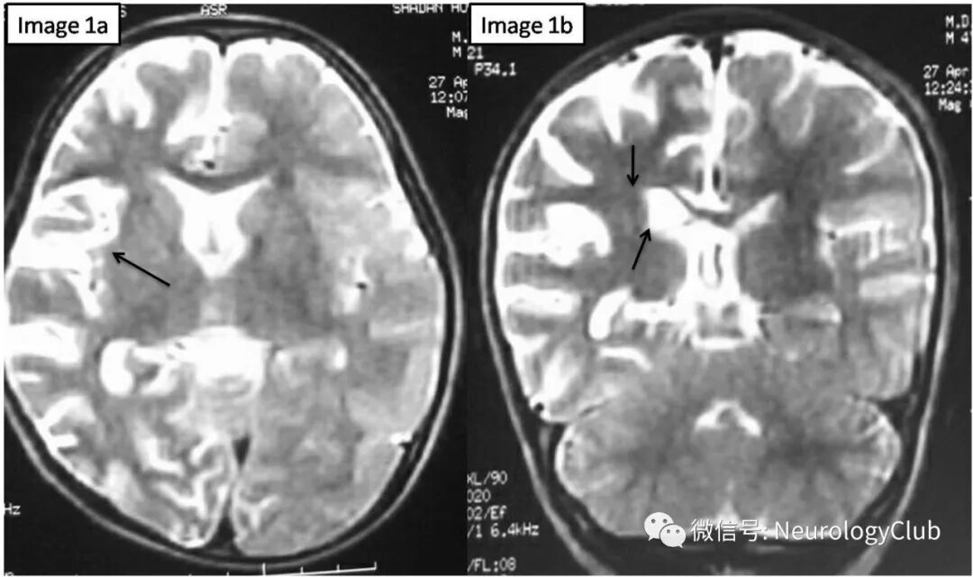
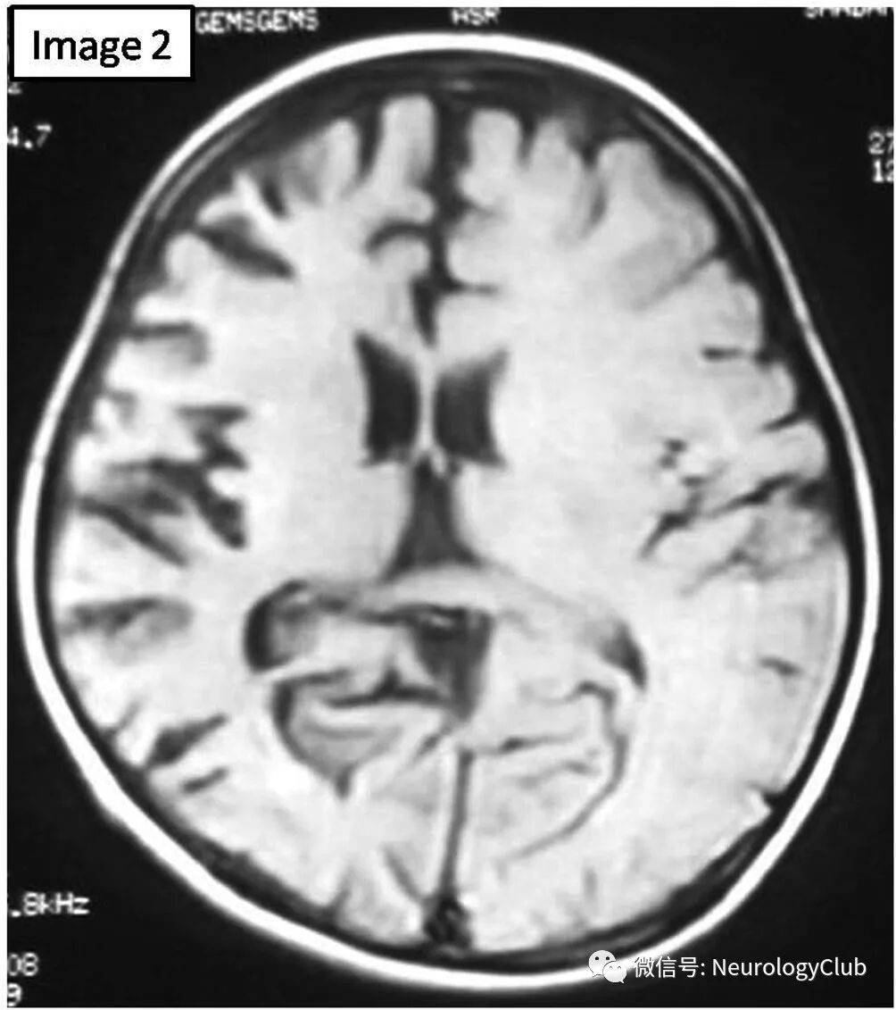
查体未见颜面部畸形或皮肤异常,高级认知功能缺损(记忆力,判断力,抽象思维和计算力),累及左侧面部和上下肢的部分性癫痫持续状态,左侧肢体无力,远端明显。未见其他不自主运动。视野检测提示同向偏盲。脑电图提示右侧半球为主的背景明显慢化。行头颅MRI检查,T2WI可见右侧脑沟增宽,右侧侧脑室扩大,右侧尾状核头萎缩(图1);T1WI可见类似表现符合右侧大脑半球萎缩(图2)。


(图1:a-b:T2WI可见右侧脑沟增宽,右侧侧脑室扩大,右侧尾状核头萎缩)


(图2:T1WI可见右侧大脑半球脑沟增宽,右侧三脑室扩大,提示右侧大脑半球萎缩)


最终诊断

Rasmussen脑炎


讨论

在半侧巨脑畸形中,受累增大的大脑半球应同时伴有脑室扩大;亚急性至慢性进展的临床病程以及病灶分布部位不符合任何血管支配,故卒中后遗症不考虑。患者既往无中枢神经系统外伤或感染史,未见鼻旁窦和乳突气房代偿性发育过度或同侧颅顶增厚,不符合Dyke Davidoff Masson综合征(DDMS)的诊断;缺少葡萄酒色斑痣,MRI上无脑回样或线状钙化或血管畸形可排除Sturge Weber综合征。


Rasmussen脑炎(RE)是一种罕见的病因未明的慢性炎症性神经退行性疾病,以单侧大脑半球萎缩,局灶性难治性癫痫发作,进行性神经功能缺损和认知功能下降为特点。本病预后不理想。治疗包括免疫抑制和免疫调节,如激素,免疫球蛋白,血浆置换和他克莫司等。一侧大脑半球切除术是目前认为治疗RE最有效的治疗方法。


相关链接

神经综述:Rasmussen脑炎的研究进展


[参考文献]

Anil V. Israni, Anirban Mandal.An adolescent with epilepsia partialis continua, hemiparesis and cognitive decline.J Clin Neurosci. 2017 Sep;43:117, 281-2.


温馨提醒
请尊重我们的劳动成果,转载不要忘了注明出处哦~~~


分享 :