中年女性,发热,肌痛伴谵妄

37岁女性,既往体健,在寒战,发烧和肌痛3天后出现谵妄,入院时为昏迷状态。神经影像学提示双侧丘脑和脑桥受累(图1-2),静脉窦正常。实验室检查发现血清转氨酶升高,脑脊液蛋白增加,无特异性病毒(表1-3)。


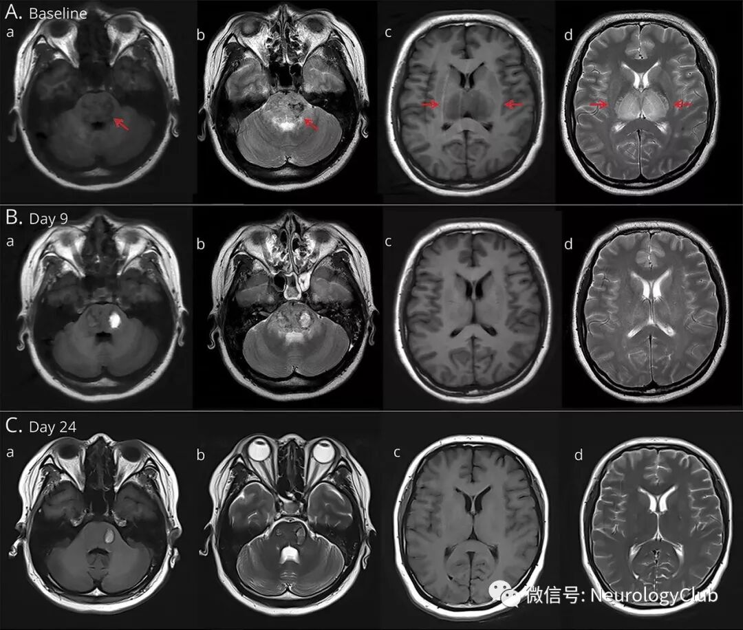
(图1:A:入院时MRI提示脑桥[A.a-A.b]T1WI和T2WI低信号,以及双侧丘脑[A.c-A.d]T1WI低信号和T2WI高信号,证实为出血性坏死;B-C:复查MRI可见脑桥[B.a和C.a:T1WI;B.b和C.b:T2WI)和丘脑病变[B.c和C.c:T1WI;B.d和C.d:T2WI]逐渐好转)


(图2:A:入院时,ADC和DWI可见双侧丘脑靶样病灶和水肿;B:第9天,ADC和DWI可见病灶较前消退)


表1  腰穿脑脊液结果

表2  血乳酸和血氨

表3  血清转氨酶结果

诊治经过

患者4天内逐渐恢复意识,左侧瘫痪(肌力1/5),言语不清,28天后出院(NIHSS评分2分)。


最终诊断

急性坏死性脑病


讨论

急性坏死性脑病(ANE)罕见于成人。由先前感染引起的多灶性,对称性脑损伤是ANE最显著的特征(表4)。


[参考文献]

Liang W, Shao Y, Cui Y, Wu S, Lu F, He J, Wang Y, Han X, Mang J, Xu Z.Teaching NeuroImages: Radiographic evolution in an adult case of acute necrotizingencephalopathy.Neurology. 2018 Jul 31;91(5):e490-e491.


温馨提醒
请尊重我们的劳动成果,转载不要忘了注明出处哦~~~


分享 :