38岁男性,呕吐和血便,癫痫发作,意识障碍

38岁男性,既往体健,无药物滥用史,在进食未煮熟的牛肉后出现呕吐和血便5天。其被诊断为溶血性尿毒综合征,送入重症监护病房。尽管采取了积极的抗生素和透析治疗,但患者意识状态仍在恶化,出现3次全面性强直阵挛发作,入院第7天予气管插管。脑电图(EEG)提示起源于后头部的局灶性癫痫发作。头颅MRI可见对称性后部菱脑炎伴双侧丘脑受累(图1)。脑脊液检查提示轻度细胞数增多(白细胞:31,中性粒细胞:98%),蛋白(133mg/dL)和葡萄糖(92mg/dL)升高。入院第7天时血清白蛋白从刚来时的4.7g/dL降至2.3g/dL。请神经科会诊。初次检查时,患者意识不清,没有发现明显的颅神经或局灶性神经功能缺损。


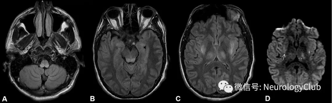
(图1:可见累及双侧丘脑和背侧脑干[中脑、脑桥和延髓]的FLAIR高信号病灶[A-C]和散在局灶性轻度弥散受限[D])


(图2:A-C:FLAIR;D:DWI;可见先前弥散受限和FLAIR高信号病灶几乎完全好转)


诊治经过

尽管没有酗酒史,也无MRI可见的乳头体受累,最初查体并未发现眼肌麻痹,仍怀疑Wernicke脑病,因为住院期间患者出现严重的急性营养不良(呕吐,腹泻,结肠炎相关的吸收不良,一周时间血清白蛋白下降48%以及频繁透析),MRI可见对称性中脑导水管周围和间脑高信号,以及无法用其他病因解释的脑脊液异常。


开始补充硫胺素后患者意识恢复,再次查体发现患者存在共轭凝视麻痹,水平性眼球震颤和共济失调。在硫胺素替代治疗1周后,眼部异常和共济失调明显好转,复查MRI可见FLAIR上高信号病灶几乎完全消退(图2)。此外,未再见临床或脑电图上的癫痫发作。


最终诊断

Wernicke脑病


讨论

Wernicke脑病是一种急性可治疗的疾病,如果不能识别,可进展为昏迷甚至死亡。 维生素B1缺乏最常见于酒精滥用,但也可见于吸收不良综合征,严重全身性疾病(代谢需求增加)和肾透析(水溶性维生素硫胺素的丢失增加)。由于快速营养不良造成的严重脑病妨碍了眼球活动和小脑受累的检查,脑病、眼肌麻痹和共济失调的典型三联征可能不会同时出现。


典型的MRI表现包括导水管和第三脑室周围区域以及丘脑,中脑和乳头体的T2-FLAIR高信号病灶,但非典型表现可为DWI上的可逆性弥散受限,而乳头体不受累,正如本例患者。


[参考文献]

Salman Farooq, Amanda Willcox, Juan Figueroa.MRI brain aids in diagnosing an overlooked cause of acute encephalopathy.J Clin Neurosci. 2017 Oct;44:221-2, 361-2.


温馨提醒
请尊重我们的劳动成果,转载不要忘了注明出处哦~~~


分享 :