神经白塞病

概述

白塞病(Behçet's disease,BD)是一种病因不明的累及多系统的自身免疫性疾病。1937年首次被土耳其皮肤病学家Hulusi Behcet描述。BD临床表现为复发性口腔溃疡、生殖器溃疡、皮肤病变和葡萄膜炎,也可累 及血管、神经系统、消化道、关节、肺、肾、附睾等器官,大部分患者预后良好,眼、中枢神经系统及大血管受累者预后不佳。通常被认为是多系统的大、小血管炎,以小静脉受累为主。BD好发于古丝绸之路途经地区,包括远东(中国、日本和韩国)、中东和地中海地区,患病率最高的国家是土耳其,故也被称为“丝绸之路病”。好发年龄为16-40岁。男性患者血管、神经系统及眼受累较女性多且病情重。


当神经系统受累时,称为神经白塞病(neuro-Behçet disease,NBD)。1941年Knapp报道了第一例累及神经系统的白塞病,此后NBD病例数逐渐增多。神经白塞病发病率约为5%-50%,少数(5%)可为首发症状。中枢神经系统受累较多见,可有头痛、Horner综合征、假性球麻痹、癫痫、无菌性脑膜炎、视乳头水肿、偏瘫、失语、截瘫、感觉障碍、精神异常等。周围神经受累较少,偶有大纤维神经病,急性多发性神经根神经病以及多发性单神经炎的报道,表现为四肢麻木无力、周围型感觉障碍等。神经系统损害患者多数预后不佳,脑干和脊髓病损是本病致残及死亡的主要原因之一。


(图1:舌部前缘可见多发痛性黏膜溃疡)


(图2:A:背部假性毛囊炎;B:针刺试验阳性)


(图3:HE染色可见小静脉周围炎性细胞浸润)


神经白塞病包括实质型和非实质型。实质型神经白塞病约占70-80%,病灶以脑干(脑桥、中脑)常见,也可延伸累及间脑、基底节区。累及大脑半球时,常为多发的小白质病变,也可表现为孤立性类瘤样病灶。脊髓受累时可见单发或多发的不同长度的炎性病变,常位于颈胸髓。也可有脑膜脑炎,表现为脑膜强化。急性期病灶在T1WI上呈等-低信号,增强通常为片状强化,也可出现环形强化,T2WI和FLAIR上为高信号,DWI上高信号,相应ADC值降低。部分病灶中心或周围可见出血。累及脊髓时横断面T2WI可见“百吉饼(在美国纽约较为流行,也称硬面包圈)征(Bagel Sign)”。慢性期,病灶多缩小,通常无强化,可见脑萎缩,尤其是脑干。


非实质神经白塞病以脑静脉系统受累为主,可表现为静脉窦(最常见闭塞部位为上矢状窦和横窦)或静脉血栓形成,也可伴有动脉瘤等。


脑实质病变


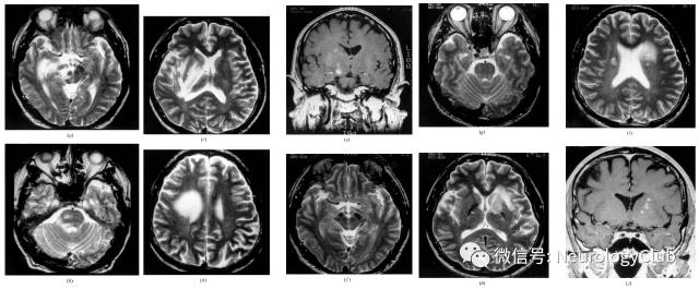
(图4:FLAIR可见脑桥与中脑受累,延伸累及间脑)


(图5:T2WI可见中脑病灶,延伸累及间脑和基底节区


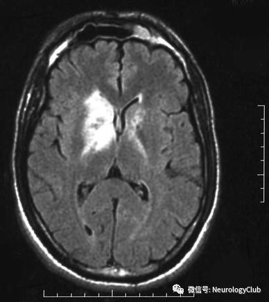
(图6:FLAIR可见右侧基底节和深部白质较大病灶)


(图7:a:急性期FLAIR可见左侧中脑高信号病灶;b:3年后复查T1WI可见脑干和小脑萎缩)


(图8:A:T2WI;B:FLAIR;C-D:T1增强;可见左侧大脑脚和颞叶病灶,边缘强化,水肿不明显,貌似脑肿瘤)


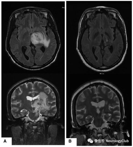
(图9:A:左侧内囊丘脑区假瘤样较大病灶;B:治疗后明显改善)


(图10:A:T2WI;B:T1增强;可见巨大瘤样强化病灶伴水肿,占位效应明显,中线移位;)


(图11:A:T1增强;B:FLAIR;C:DWI;D:ADC;E:T1增强;F:FLAIR;A-D:可见脑桥环形强化病灶,DWI呈高信号,ADC呈低信号;E-F:激素治疗后3月复查明显好转)


(图12:貌似脑梗死的神经白塞病,可见T2WI高信号病灶,DWI上弥散受限,对应ADC呈低信号)


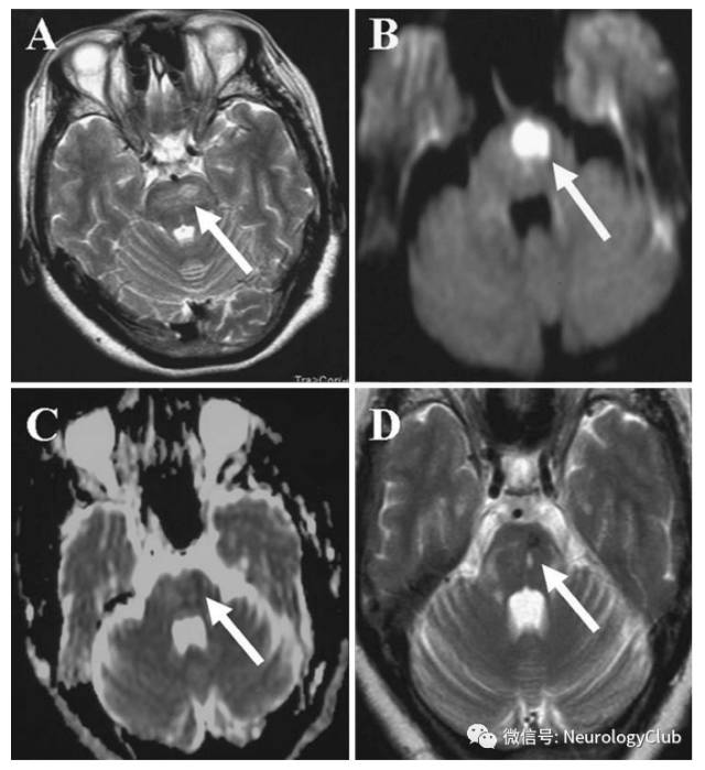
(图13:A:T2WI可见左侧脑桥高信号病灶;B:DWI弥散受限;C:ADC呈低信号;D:治疗后5月复查T2WI较前好转)


(图14:A:DWI;B:MRV;C:T1WI;D:增强T1WI;多发出血性皮质病变伴强化,MR静脉成像正常)


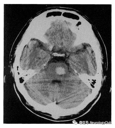
(图15:一例NBD患者,头颅CT可见急性出血)


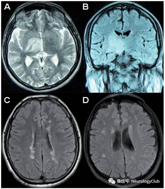
(图16:A-B:典型实质病变,从间脑延伸至基底节;C:多发性硬化样病灶;D:非特异性白质病变)


(图17:a-d:T2WI可见右前中脑,中脑腹侧被盖区,基底节,内囊后部,外囊和脑室旁白质弥漫或斑片状高信号病灶;e:右侧内囊后部和基底节可见斑片状强化病灶;f-j:随访3年复查MRI可见右侧大脑半球和脑干原T2WI高信号病灶明显好转,但左侧出现新发病灶)


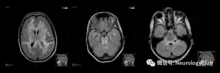
(图18:FLAIR可见皮质下白质受累,貌似脱髓鞘病变)


(图19:可见弥漫对称白质病变伴脑干受累)


(图20:矢状位[左]和冠状位[右]增强T1可见位于双侧大脑脚和腹侧脑桥的广泛低信号病灶伴脑桥顶部轻度强化;FLAIR[中]可见大脑脚和脑桥腹侧高信号病灶伴囊性变,左侧下橄榄核高信号,提示肥大性下橄榄核变性)


脑膜病变


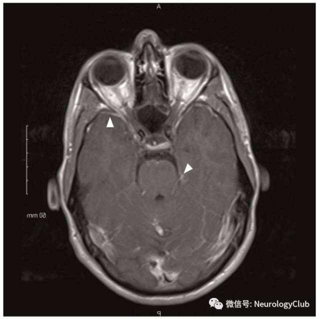
(图21:NBD患者T1增强可见软脑膜强化)


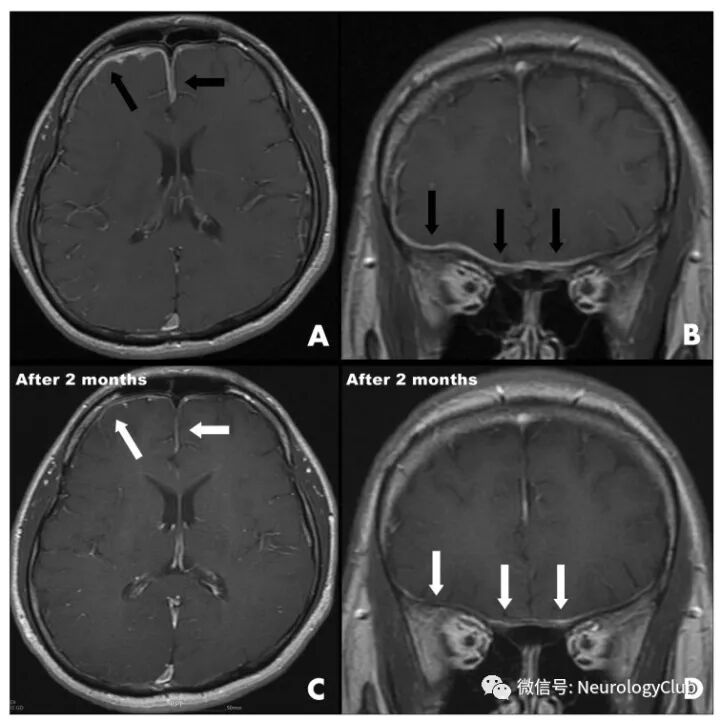
(图22:A-B:增强T1可见弥漫硬脑膜强化;C-D:激素治疗后2月T1增强病灶较前改善)


脑动静脉系统受累


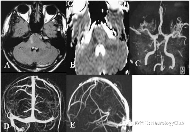
(图23:A-B:貌似急性脑梗死的右侧脑桥病灶;C:MRA可见基底动脉中段闭塞;D-E:MRV可见左侧乙状窦和颈内静脉远端以及直窦血栓形成


(图24:a:T1WI;b:MRV;可见右侧横窦血栓形成)


(图25:A:可见上矢状窦后半部充盈缺损;B:右侧额叶和左侧顶叶高信号病灶)


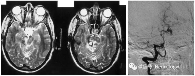
(图26:头颅MRI可见位于右侧小脑上脚和中脑的动脉瘤,伴脑干弥漫高信号;DSA证实为右侧小脑上动脉动脉瘤)


脊髓受累


(图27:NBD患者脊髓受累;A:T2WI可见全脊髓多发高信号病灶;B:增强后可见片状强化;C:治疗后病灶基本消失)


(图28:长节段脊髓受累的NBD患者;A:T2WI可见脊髓T3-L2异常信号;B:增强后病灶强化;C:10月后复查可见局部胶质增生不伴强化)


(图29:长节段脊髓受累的NBD患者T2WI横断面可见“百吉饼征”,或与静脉怒张有关,可能为其特征性影像,有助于与其他长节段脊髓病变,如视神经脊髓炎谱系疾病等鉴别


鉴别诊断

神经白塞病的临床和影像学表现多样,需与包括多发性硬化,青年卒中,原发性和继发性中枢神经系统血管炎,神经结节病,颅内感染(结核、病毒、真菌等),脑胶质瘤(尤其是脑干),原发性中枢神经系统淋巴瘤,Vogt-小柳原田综合征,Reiter综合征,Eales病,Cogan综合征,Susac综合征,神经Sweet综合征等鉴别。


[参考文献]

1. Kidd DP.Neurological complications of Behçet's syndrome.J Neurol. 2017 Mar 10. [Epub ahead of print]

2. Siva A, Saip S.The spectrum of nervous system involvement in Behçet's syndrome and its differential diagnosis.J Neurol. 2009 Apr;256(4):513-29.

3. Kalra S, Silman A, Akman-Demir G, Bohlega S, Borhani-Haghighi A, Constantinescu CS, Houman H, Mahr A, Salvarani C, Sfikakis PP, Siva A, Al-Araji A.Diagnosis and management of Neuro-Behçet's disease: international consensus recommendations.J Neurol. 2014 Sep;261(9):1662-76.

4. Yoon BN, Kim SJ, Lim MJ, Han JY, Lee KW, Sung JJ, Ha CK, Choi SH.Neuro-Behçet's Disease Presenting as Hypertrophic Pachymeningitis.Exp Neurobiol. 2015 Sep;24(3):252-5.

5. Mohamed C, Najib K, Essaadouni L.Radiological findings in Behçet disease.Pan Afr Med J. 2015 Jan 20;20:51.

6. 中华医学会风湿病学分会.白塞病诊断和治疗指南.中华风湿病学杂志.2011年5期.

7. 周中和, 何祥.神经白塞病临床研究进展.临床神经病学杂志.2004年1期.

8. 杨庆林, 王佳伟, 赖春涛.白塞病相关卒中.中国卒中杂志.2017年5期.

9. Siva A, Altintas A, Saip S.Behçet's syndrome and the nervous system.Curr Opin Neurol. 2004 Jun;17(3):347-57.

10. Senol S, Ucar M, İmamoğlu H, Yildirim A.Neuro-Behçet's disease mimicking a cranial tumour.BMJ Case Rep. 2015 Jun 21;2015.

11. Noel N, Hutié M, Wechsler B, Vignes S, Le Thi Huong-Boutin D, Amoura Z, Dormont D, Delcey V, Polivka M, Cacoub P, Saadoun D.Pseudotumoural presentation of neuro-Behcet's disease: case series and review of literature.Rheumatology (Oxford). 2012 Jul;51(7):1216-25.

12. Yasuda C, Okada K, Takechi U, Tsuji S.Ring-enhanced brainstem lesion in a patient with neuro-Behcet's disease.Intern Med. 2012;51(8):991-2.

13. Yoshimura S, Ago T, Koga M, Kamouchi M, Kitazono T.Cerebral Small-Vessel Disease in Neuro-Behçet Disease.J Stroke Cerebrovasc Dis. 2015 Aug;24(8):e237-9.

14. Shrestha I, Ohshita T, Naka H, Morino H, Matsumoto M.Cytotoxic edema in neuro-Behcet's disease ?Intern Med. 2008;47(23):2073-6.

15. Saito K, Watanabe T, Toru S.Multiple Hemorrhagic Cerebral Cortical Lesions in Neuro-Behçet's Disease.Intern Med. 2017 Sep 1;56(17):2377-2378.

16. Franco-Macías E, Roldán-Lora F, Martínez-Agregado P, Cerdá-Fuertes N1, Moniche F.Neuro-Behçet: Pons Involvement with Longitudinal Extension to Midbrain and Hypertrophic Olivary Degeneration.Case Rep Neurol. 2015 Jun 25;7(2):148-51.

17. Akman-Demir G, Mutlu M, Kiyat-Atamer A, Shugaiv E, Kurtuncu M, Tugal-Tutkun I, Tuzun E, Eraksoy M, Bahar S.Behçet's disease patients with multiple sclerosis-like features: discriminative value of Barkhofcriteria.Clin Exp Rheumatol. 2015 Nov-Dec;33(6 Suppl 94):S80-4.

18. Al-Araji A1, Kidd DP.Neuro-Behçet's disease: epidemiology, clinical characteristics, and management.Lancet Neurol. 2009 Feb;8(2):192-204.

19. Lee SH, Yoon PH, Park SJ, Kim DI.MRI findings in neuro-behçet's disease.Clin Radiol. 2001 Jun;56(6):485-94

20. Kikuchi S, Niino M, Shinpo K, Terae S, Tashiro K.Intracranial hemorrhage in neuro-Behçet's syndrome.Intern Med. 2002 Sep;41(9):692-5.

21. Dutra LA, Gonçalves CR, Braga-Neto P, Pedroso JL, Gabbai AA, Barsottini OG, de Souza AW.Atypical manifestations in Brazilian patients with neuro-Behçet's disease.J Neurol. 2012 Jun;259(6):1159-65.

22. Tascilar NF, Akman-Demir G, Demiryurek BE, Tokgoz O, Akgun N, Ozen Barut B. An unusual case of neuro-Behçet's disease presenting with co-occurence of cerebral venoussinus thrombosis with basilar artery occlusion.Neurol Sci. 2013 May;34(5):785-8.

23. Çelik G, Yildirm E, Narci H, Özülkü M.Diffuse thrombosis secondary to Behçet's disease: a case report.Am J Emerg Med. 2013 Dec;31(12):1723.e1-2.

24. Sabzi F, Mirzaei S, Faraji R.Right Ventricular Thrombus and Cerebral Artery Aneurysm in a Patient with Behçet's Disease.Sultan Qaboos Univ Med J. 2016 May;16(2):e250-3.

25. Ho CL, Deruytter MJ.Manifestations of Neuro-Behcet's disease. Report of two cases and review of the literature.Clin Neurol Neurosurg. 2005 Jun;107(4):310-4.

26. Patel P, Steinschneider M, Boneparth A, Lantos G.Neuro-Behçet disease presenting with acute psychosis in an adolescent.J Child Neurol. 2014 Sep;29(9):NP86-91.

27. Fukae J, Noda K, Fujishima K, Takahashi T, Hattori N, Okuma Y.Subacute longitudinal myelitis associated with Behcet's disease.Intern Med. 2010;49(4):343-7.

28. Graham D, McCarthy A, Kavanagh E, O'Rourke K, Lynch T.Teaching NeuroImages: longitudinally extensive transverse myelitis in neuro-Behcet disease.Neurology. 2013 Apr 30;80(18):e189-90.

29. Uygunoglu U, Zeydan B, Ozguler Y, Ugurlu S, Seyahi E, Kocer N, Islak C, Kantarci K, Saip S, Siva A, Kantarci OH.Myelopathy in Behçet's disease: The Bagel Sign.Ann Neurol. 2017 Aug;82(2):288-298.

30. Al Sawaf A, Berger JR.Longitudinally extensive transverse myelitis suspected for isolated Neuro-Behçet: A diagnostic conundrum.Mult Scler Relat Disord. 2015 Sep;4(5):395-9.


温馨提醒
请尊重我们的劳动成果,转载不要忘了注明出处哦~~~


分享 :