12岁女孩,头痛伴左侧眶后部疼痛2月

12岁女孩,既往体健,表现为头痛伴左侧眶后部疼痛2月。头痛在早晨加重,给予简单镇痛后可缓解。无其他颅高压症状。查体提示左眼部分性上睑下垂。无其他神经功能缺失体征或淋巴结肿大。视野检测完好。血常规,电解质,尿素和垂体激素水平等无殊。


头颅MRI可见鞍区均匀强化的分叶状软组织肿块,大小约为21×20×17mm(图1)。 病灶累及斜坡,向前延伸至鞍上区,侵犯蝶窦后部,并扩展至左侧海绵窦。未见视神经受压。


(图1:术前头颅MRI:可见分叶状软组织肿块累及斜坡和鞍上区,包绕左侧颈内动脉,可见部分血管狭窄;视交叉信号正常;病灶在T1WI上呈低信号[a-b];增强后可见明显均匀强化[c-d])


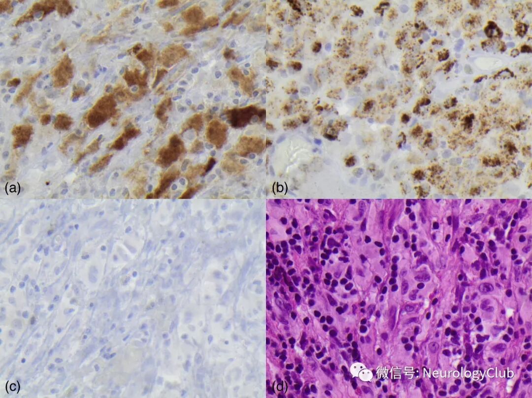
(图2:a:镜下可见成群的组织细胞伴混合性炎症细胞浸润;S100免疫组化染色不典型组织细胞强阳性;b:CD68可见细胞质颗粒阳性;c:CD1a阴性;d:可见伸入运动)


(图3:a-b:术后增强T1可见累及鞍上池和蝶窦内的肿瘤组织体积减小;c-d:术后5月增强T1可见病灶较前明显改善)


诊治经过

行内镜下手术切除。骨骼检查和PET扫描未见其他病灶。患者转至儿童肿瘤科,予口服泼尼松龙治疗4周。患者头痛和上睑下垂好转。术后3月和5月复查MRI肿块体积明显缩小。


最终诊断

Rosai-Dorfman病



讨论

Rosai-Dorfman病,也称为窦性组织细胞增生伴巨大淋巴结病,是一种罕见的特发性良性组织细胞增生性疾病。典型的临床表现包括无痛性颈部淋巴结病伴发热,不适,夜间盗汗和体重下降。但本例患者均未有上述症状。病灶可位于淋巴结内或淋巴结外。结外病灶可见于43%的病例,但单纯累及结外不伴有淋巴结受累的罕见。孤立性中枢神经系统Rosai-Dorfman病非常少见,主要为儿童患者。既往文献报道颅底部Rosai-Dorfman病平均发病年龄36.7岁(5-78岁),多数为男性。肿瘤最常位于鞍区,表现为头痛,颅神经麻痹和垂体功能障碍。

颅内Rosai-Dorfman病的MRI表现多变,但常见为T1等信号,T2低-等信号,增强后可见均匀强化。需与其他良性病变,如脑膜瘤等鉴别。手术切除往往是最初的治疗选择,如邻近重要结构可考虑次全切除。术后大部分病灶可不进展甚至消退,如有肿瘤残留或持续性神经症状,可考虑辅助放疗,糖皮质激素或化疗。


[参考文献]

Chi Hau Tan, Fiona Chan, Joanne Rimmer, Tony Goldschlager.A young girl with headache and partial ptosis.J Clin Neurosci. 2017 Sep;43:115-6, 278-80.


温馨提醒
请尊重我们的劳动成果,转载不要忘了注明出处哦~~~


分享 :