中年女性,意识模糊和发热,颅内多发病变

55岁女性患者,因先前创伤性颈髓损伤只能依赖于轮椅,本次因意识模糊和发热就诊。1月前曾接种季节性流感疫苗。神经系统查体提示四肢瘫痪,巴氏征阳性,腱反射亢进。脑脊液化验提示细胞数增多,蛋白108g/dl,糖88g/dl。入院后行头颅MRI检查(图1)。



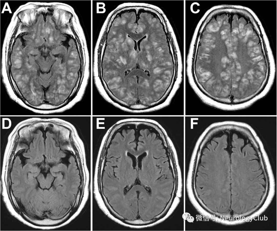
(图:A-C:FLAIR提示双侧皮质下白质和深部灰质如丘脑和基底节片状高信号;D-F:随访复查MRI可见病灶完全消失


诊治经过

头颅MRI提示急性播散性脑脊髓炎(图1A-C)。实验室检查提示血常规和C反应蛋白正常。脑脊液细菌和结核检测阴性。血清和脑脊液未见病毒抗体。激素冲击治疗5天,患者症状明显改善。2周后完全恢复(图1D-F)。


最终诊断

急性播散性脑脊髓炎


讨论

急性播散性脑脊髓炎是一种免疫介导的中枢神经系统脱髓鞘疾病,常由病毒感染或疫苗接种诱发,以广泛的多灶性脱髓鞘为特征,可累及皮质下和中央白质,灰白质交界处,丘脑,基底节,小脑和脑干。报道认为季节性流感疫苗最常引起急性播散性脑脊髓炎


常规治疗包括静脉甲强龙冲击5天,随后口服逐渐减量维持4-6周。对激素反应欠佳的患者可考虑二线治疗,包括静脉注射免疫球蛋白或血浆置换。


[参考文献]

Kang-Ho Choi, Ja-Hae Kim.Altered mental status after seasonal influenza vaccination.J Clin Neurosci. 2017 Sep;43:118, 283-4.


温馨提醒
请尊重我们的劳动成果,转载不要忘了注明出处哦~~~


分享 :