中年男性,发热,夜间盗汗,左半身无力

50岁男性,表现为发热和夜间盗汗2周,随后出现突然起病的左侧无力。查体患者体温38℃,左侧轻偏瘫。急诊行头颅CT和血管造影。


(图1:A:最初的头颅CT平扫可见凸面蛛网膜下腔出血内高密度病灶;B:额叶血管内可见2处高密度病灶)


(图2:A:临床症状恶化后复查头颅CT提示新发钙化病灶,远处灰白质分界不清;B:DWI证实为缺血性卒中)


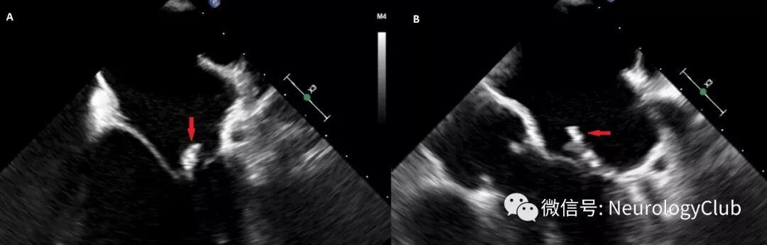
(图3:A:经食道心超提示二尖瓣赘生物;B:经食道心超提示二尖瓣赘生物内可见钙化


诊治经过

患者表现为凸面蛛网膜下腔出血伴出血区和动脉内小钙化灶(图1)。进一步查体可闻及新发较响的收缩期杂音。给予经验性抗感染性心内膜炎治疗。4小时后患者症状恶化,出现表达性失语。复查影像学可见新发钙化病灶和缺血性卒中(图2)。超声心动图提示二尖瓣赘生物伴钙化(图3)。血培养可见副血链球菌生长。


最终诊断

感染性心内膜炎


讨论



钙化的栓子可见于缺血性卒中,如伴有发热,需怀疑感染性心内膜炎和脓毒性栓塞。见于脓毒性栓塞的出血并不总是继发于细菌性动脉瘤,也可因化脓性动脉炎所致。动脉炎通常累及皮层血管,可破裂引起蛛网膜下腔出血。


钙化栓子所致的缺血性卒中先前曾有描述。但尚无感染性心内膜炎钙化栓子引起凸面蛛网膜下腔出血的报道。



[参考文献]

Prashanth Ramachandran, Glenn Drogemuller, James Burrow.Calcific emboli in infective endocarditis.J Clin Neurosci. 2017 Aug;42:105, 223-4.


温馨提醒
请尊重我们的劳动成果,转载不要忘了注明出处哦~~~


分享 :