中年吸毒男性,癫痫持续状态

59岁吸毒(静脉注射海洛因)男性,表现为癫痫持续状态。脑脊液提示中性粒细胞317,红细胞45,乳酸6.7mm/L,蛋白140mg/dl,糖24mg/dl。脑脊液/血清葡萄糖比例为0.14。腰穿压力230mmH2O。细胞学检查和HIV抗体阴性。


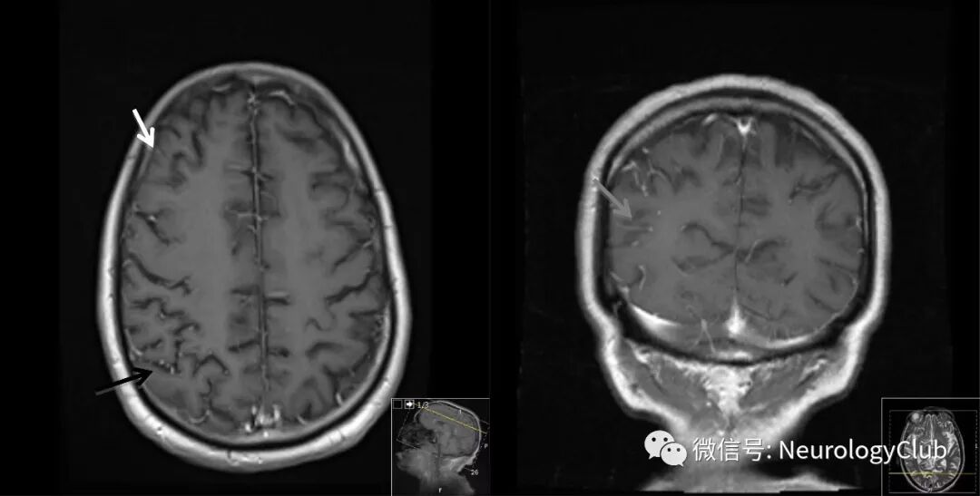
(图:头颅增强MRI可见脑实质结节样[灰箭]和软脑膜[白箭]强化,伴微脓肿形成[黑箭])


诊治经过

本例患者MRI可见脑实质结节样和软脑膜强化,伴微脓肿形成和脑脊液糖含量减低,以及静脉注射海洛因病史,提示可能为酵母感染。患者入急诊后便给予针对性的抗真菌治疗和经验性抗生素覆盖,临床症状迅速好转。入院12小时后,脑脊液涂片证实为白色念珠菌。后经脑脊液培养进一步证实。


最终诊断

念珠菌性脑膜炎


讨论

严重的脑脊液糖含量降低可见于蛛网膜下腔出血,葡萄糖转运缺陷,脑膜癌病,炎症性和感染性疾病等。念珠菌的形态特点(小单细胞酵母)使得其能穿过血脑屏障进入蛛网膜下腔和脑膜。可表现为脑微脓肿或大脓肿,脑膜炎和血管并发症。早期识别中枢神经系统真菌感染有助于尽早治疗,可控制其进展,并减少威胁生命的并发症(如癫痫,卒中和脑积水)等。


[参考文献]

Ayham M. Alkhachroum, Diana Abdul Rahman, Ciro Ramos-Estebanez.Basic principles unveil an unusual diagnosis.J Clin Neurosci. 2017 Aug;42:104, 221-2.


温馨提醒
请尊重我们的劳动成果,转载不要忘了注明出处哦~~~


分享 :