脑干卒中:解剖、临床和影像学表现

全球神经系统疾病中,卒中的发病率死亡率都处于领先水平发达国家,卒中是仅次于心血管疾病或癌症的第二或第三大死因。在欧洲死亡率在瑞士达63.5/100000(1992,男),而俄罗斯为273.4/100000(1991,女)。此外,卒中是仅次于阿尔兹海默病的导致痴呆的第二大病因。近年来,治疗手段和神经影像学的进步已经改变了卒中患者的管理模式通过静脉溶栓,患者(尤其是后循环卒中可获得良好的临床结局


急性卒中通常指持续24小时以上的血管源性神经功能缺失症状,可被分为2种主要类型:缺血型(占80%-85%)和出血型(15%-20%)。近1/3缺血型卒中发生于椎-基底动脉系统。相较延髓和中脑,缺血性脑干卒中更多见于脑桥。


血管解剖


在延髓水平,根据不同的血管支配可划分为4个不同的区域(图1A)。前内侧组动脉源自脊髓前动脉末端和椎动脉颅内部分,前外侧组动脉也源自脊髓前动脉末端和椎动脉颅内部分;外侧组动脉源自小脑后下动脉,而后组动脉源自脊髓后动脉。


在脑桥水平,可分为3个区域(图1B),前内侧部为脑桥穿动脉支配,源自基底动脉,贯穿于基底沟;前外侧组动脉起源于小脑前下动脉,进入桥延沟;外侧区域由脑桥外侧穿支动脉供血,可直接起源于基底动脉,也可发自小脑前下动脉或小脑上动脉。


在中脑水平,可分为4个区域(图1C)。前内侧组动脉起源于大脑脚间窝的大脑后动脉。前外侧组的中脑动脉起源于大脑后动脉或者脉络膜前动脉的分支。外侧组动脉起源于丘动脉(collicular artery)、脉络膜动脉和小脑后动脉。后组动脉来源于小脑上丘动脉(superior cerebellar collicular artery)和脉络膜后正中动脉。

图1:A:延髓水平血管分布:(1)前内侧组动脉;(2)前外侧组动脉;(3)外侧组动脉;(4)后组动脉;B:脑桥水平血管分布:(1)前内侧组;(2)前外侧组;(3)外侧组;C:中脑水平血管分布:(1)前内侧组动脉;(2)前外侧组动脉;(3)外侧组动脉;(4)后组动脉


大多数发生于脑桥和延髓水平的卒中边界清楚,靠近旁中央,沿长轴分布。这一朝向反映了基底动脉和远端椎动脉的旁正中穿通支的分布,其贯穿于脑干,但从未跨过中线。外侧部位于短旋支分布区,其梗死的发生率较旁正中少。在中脑水平,可见中线部位梗死,因涉及许多分支,导致病灶不仅仅局限于旁正中分布。


病因


椎动脉及其分支的闭塞常继发于动脉夹层或者动脉粥样硬化,导致延髓和小脑下部的梗死。


椎动脉夹层在年龄小于45岁的年轻脑干梗死患者中越来越多见。与之相关的危险因素包括高血压,肌纤维发育不良,外伤和脊柱推拿。


双侧远端椎动脉闭塞后导致后循环的血流量降低,引起脑干和小脑的缺血逐步恶化。基底动脉及其主要分支因血栓或者栓塞而导致的闭塞可以导致脑桥,中脑和小脑的缺血。


起源于基底动脉的小穿通动脉的闭塞可以导致腔隙综合征。在后循环中可同时出现多部位的梗死。


脑干卒中的危险因素包括高血压,糖尿病,心脏病,高脂血症,吸烟,有脑干梗死的家族史,肥胖以及口服避孕药等。


表  脑干卒中综合征


延髓梗死(MI)


延髓梗死占缺血性脑干卒中的7%。延髓外侧梗死(LMI)比内侧梗死(MMI)常见3-4倍。患者男女比例约为3:1。


椎动脉及其分支的动脉粥样硬化是延髓梗死最常见的原因。椎动脉夹层是另一个可导致LMI和MMI的重要原因(20%-30%),尤其在年轻患者中如出现颈部疼痛和延髓症状,应考虑到椎动脉夹层的可能。

延髓内侧梗死(MMI,Dejerine综合征)

经典的三联征包括病灶对侧偏瘫,对侧位置觉振动觉的缺失以及同侧舌肌无力,并不总是出现(图2)。也可有眼球活动异常和构音障碍。

图2:Dejerine综合征;58岁患者,突发眩晕、左侧偏瘫、左侧偏身感觉障碍和共济失调;A:T2WI可见右侧延髓内侧高信号病灶;B:DWI提示弥散受限


延髓外侧梗死(LMI,Wallenberg综合征)

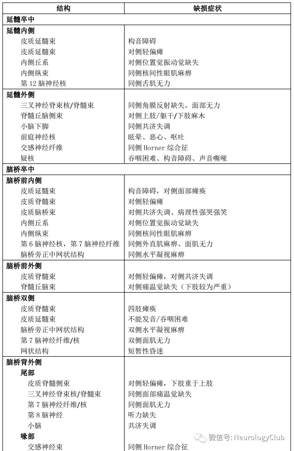
患者可表现为同侧声音嘶哑和软腭瘫痪,同侧面部感觉缺失,同侧Horner综合征(眼睑下垂,瞳孔缩小,无汗),同侧共济失调以及同侧面部和对侧躯干痛温觉缺失(图3)。此外还可:有眼球震颤,眩晕,恶心和复视。常因椎动脉(75%)、小脑后下动脉(10%)以及基底动脉血栓形成所致。

图3:Wallenberg综合征;46岁女性患者,表现为交叉性感觉障碍、Horner综合征、眩晕、复视、共济失调、恶心和吞咽困难;A:T2WI可见右侧延髓外侧高信号病灶;B-C:DWI和ADC证实为急性梗死;D:MRA提示右侧椎动脉夹层

半侧延髓梗死(Babinski-Nageotte综合征)

同侧椎动脉近端至小脑后下动脉以及脊髓前动脉分支的闭塞可同时导致延髓内外侧梗死。


脑桥梗死


孤立的脑桥卒中相对常见,也可为后循环大面积梗死的一部分。穿支动脉粥样硬化及闭塞,基底动脉狭窄是引起脑桥梗死最常见的原因。


脑桥腹侧梗死是最常见的孤立性脑桥梗死,约占51%-58%,由前内侧组和前外侧组动脉闭塞引起。


前内侧梗死(图4)导致偏瘫或半瘫、对侧共济失调、构音障碍、吞咽困难、眼球震颤,也经常出现同侧面肌麻痹。较少出现对侧本体感觉缺失,同侧眼球水平凝视麻痹及核间性眼肌麻痹。

图4:脑桥前内侧梗死;62岁患者,表现为左侧偏瘫,共济失调,构音障碍,吞咽困难,眼球震颤以及同侧水平凝视障碍;A:T2WI可见右侧脑桥轻微高信号;B-C:DWI和ADC证实急性脑桥前内侧部梗死


腔隙性梗死在脑桥卒中中常见。包括四种类型:纯运动障碍、构音障碍-手笨拙综合征,共济失调性偏瘫综合征以及单纯的感觉障碍型卒中。


脑桥卒中有几种典型的症状。这些症状包括:脑桥腹外侧综合征(眼球外直肌麻痹,同侧面肌无力以及对侧偏瘫),Landry 综合征(同侧外展神经麻痹和对侧偏瘫),脑桥被盖下部综合征(Raymond-Cestan综合征,同侧共轭凝视麻痹和对侧运动感觉缺失)。


前外侧梗死可导致偏瘫、共济失调、位置觉缺失、振动觉缺失。单纯的运动型卒中,共济失调性偏瘫,构音障碍-手足笨拙综合征或者感觉运动型卒中也是其表现类型。当感觉异常累及下肢时就要怀疑脑桥前外侧部卒中。


脑桥背外侧卒中可导致对侧偏瘫,同侧面肌无力,同侧面部痛温觉的缺失,听力受损和共济失调。脑桥背外侧喙部梗死可以表现为同侧Horner综合征,对侧共济失调和对侧偏身痛温觉缺失。


孤立的脑桥背侧梗死是非常罕见的(内侧被盖或外侧被盖),通常是后循环大面积梗死中的一部分。


两种主要的综合征见于背侧梗死:Foville综合征(同侧共轭眼球麻痹和对侧偏瘫)、Foix-Chavany-Marie综合征(同侧共济失调,对侧痛温觉缺失及针刺样感觉以及对侧轻偏瘫)。


中脑梗死


中脑的动脉血供非常复杂的,局限于中脑的梗死较为少见,常伴有其他结构包括小脑、丘脑和脑桥的梗死。


小的中脑背侧卒中通常是由于基底动脉的穿支闭塞所致,而大脑后动脉近端动脉粥样硬化是中脑前部梗死的常见致病机制。内侧面受累通常与大脑后动脉的P1段相关,而外侧累及常与P2段有关。栓塞是中脑卒中的罕见原因。动脉夹层也并不常见。高血压是中脑卒中最常见的危险因素。其他危险因素包括糖尿病、吸烟、房颤、高脂血症和动脉粥样硬化性缺血性心脏病。


中脑梗死的临床特征包括:第三颅神经麻痹、核上性共轭性垂直凝视麻痹、非共轭垂直凝视麻痹、反向偏斜和会聚-回缩性眼球震颤。


前内侧中脑卒中可能表现为共济失调、对侧偏瘫、对侧舞蹈症,以及同侧第三颅神经麻痹。已知有数个综合征:Weber综合征(同侧偏瘫及同侧第三颅神经麻痹)、Benedict 综合征(同侧第三颅神经麻痹伴对侧舞蹈症或粗大震颤)以及Claude综合征(同侧第三颅神经麻痹和对侧共济失调)。


中脑前外侧部卒中理论上可导致对侧偏瘫、对侧共济失调、对侧振动觉和位置觉缺失以及躯干和四肢痛温觉的缺失。


外侧梗死可导致对侧偏瘫(下肢),对侧躯干和四肢痛温觉缺失,对侧或同侧听力丧失和Horner综合征。


中脑背部梗死(图5)引起复视、垂直性凝视障碍和其他动眼综合征。此外,还可出现耳鸣、听觉过敏和听力丧失。

图5:中脑背侧梗死;62岁患者,表现为眩晕、复视、垂直性凝视麻痹;A:轴向t2加权像未显示任何异常。(B)轴向各向同性扩散加权图像。(C)ADC图显示左侧背部血管区域急性缺血性梗死的典型影像学特征


基底动脉尖综合征通常由栓塞所致,伴丘脑、颞叶和枕叶受累。临床表现为意识障碍,记忆混乱,运动不能性缄默症,同侧动眼神经麻痹,对侧轻偏瘫,对侧感觉缺失,同侧或对侧肢体共济失调,也可有扑翼样震颤。


影像学检查


在脑干缺血性卒中的早期CT结果通常是阴性的。基底动脉的高密度影及出血的细微征象都必须仔细寻找。CT血管成像(CTA)是了解发病6小时内的卒中患者颅内血管闭塞情况的有效手段(图6)。其对大血管闭塞的发现和排除较为准确。CT灌注成像(CTP)可通过检测组织水平血流量来发现功能异常,可为溶栓和血管内治疗提供参考。

图6:闭锁综合征;53岁男性患者,表现为突发言语含糊,偏瘫和嗜睡;A:CT平扫可见基底动脉尖高密度;B-D:CTA提示基底动脉血栓形成;E-F:血管造影证实基底动脉闭塞;G:对rt-PA治疗后复查,获得部分再通;注意到右侧大脑后动脉仍有残留血栓


MRI特别是弥散加权成像(DWI)结合灌注成像,在识别可逆性梗死组织或“核心”梗死方面通常优于CT。DWI发现急性脑梗死的灵敏度为88%,特异度为95%,假阳性率为1.5%。


在第一个24小时,DWI假阴性在后循环卒中中的发生率(31%)明显高于前循环卒中(2%)。对初始DWI结果正常但表现为持续性神经功能缺失的患者应进行随访。通过使用更薄层,更高分辨率,并结合横断面和冠状位DWI序列,可以提高对小病变的检出率。


弥散受限大多数形况下被认为提示不可逆性组织损伤。可逆的DWI异常可见于静脉性梗死,偏瘫型偏头痛,短暂性全面遗忘和癫痫持续状态。此外,在静脉或动脉溶栓时,可逆的DWI病灶更常见(12%-33%如果DWI结果为阴性,MRA或有助于诊断。


预后


传统认为后循环卒中是一种高发病率和高死亡率的疾病。入院时存在构音障碍,瞳孔异常,后组颅神经累及意识障碍的患者预后更差。


鉴别诊断


所有的急性缺血事件都应该在ADC上显示低信号。对于亚急性或慢性病变,在ADC上常为高信号,无弥散受限。


肿瘤性疾病,尤其是脑桥胶质瘤,可能有类似的MRI特征,但更常见的是占位效应,且不太可能急性起病。


脑桥中央(渗透性)髓鞘溶解通常见于重症患者,多因快速补钠所致,MRI可见病灶呈三叉戟形。急性期,DWI提示弥散受限,对应ADC上为低信号。


急性播散性脑脊髓炎和多发性硬化也可有类似的信号强度变化,貌似急性缺血性卒中,但可通过增强MRI和临床病程鉴别(图7)。

图7:36岁多发性硬化女性患者,可见貌似脑梗死病灶;A-B:T2WI/FLARI可见左前内侧延髓高信号病灶


头部外伤后的弥漫性轴索性损伤(DAI)可累及中脑,或出现与缺血性卒中类似的MRI表现。患者病史以及梯度回波序列可见点状出血有助于诊断。


假阳性DWI可见于脑脓肿(由于黏性增加),静脉梗塞和出血。


治疗


静脉注射重组组织型纤溶酶原激活剂(rt-PA)是卒中发病早期(4.5小时内)有效治疗方法。但实际上目前后循环卒中的时间窗尚未建立。有报道在24小时后仍有部分患者溶栓后症状改善(图6)。但也有一些患者,即使在最初的6小时内积极治疗,也无法从中获益。


脑干出血


大约6%-10%的脑干出血继发于缺血性卒中。脑桥出血最常见,而延髓出血最为罕见。绝大多数患者急性起病。昏迷、四肢瘫痪、呼吸衰竭和眼球活动障碍是最常见的临床表现,大多数患者存在感觉减退。前驱症状包括头痛、恶心、呕吐、呼吸功能障碍和构音障碍。脑干出血可以是自发的(高血压,海绵状血管瘤),也可见于外伤后。


高血压是脑干出血的最常见原因,约占90%。大多见于脑桥背侧,可能因其直接由穿支动脉供血。约7%正接受抗凝治疗的患者可能出现较大血肿,预后较差。其他病因包括海绵状血管瘤(幕上常见),毛细血管扩张症(脑桥常见),淀粉样脑血管病等。


CT可见脑干内高密度影(图8)。高血压性脑出血通常不强化,尽管一些血肿可能会有轻微的增强,这使得诊断复杂化。MRI可以准确描述出血的位置和延伸。

图8:68岁男性患者,脑桥出血;A-B:可见高密度脑桥出血延伸至中脑左前部


Chung和Park将脑桥出血分为3组:脑桥背侧出血,脑桥腹侧出血和脑桥大量出血。背侧组包括小的、单侧的、被盖和双侧被盖出血。腹侧组包括腹侧基底部(被盖基底部)的出血。大量出血指累及脑桥基底部和双侧被盖,并延伸到中脑。Kase和Caplan将脑桥出血分为3种亚型:大的旁中央出血、单侧基底或被盖基底出血,以及被盖外侧出血。血肿的大小可以由两种参数评估:体积和最大横径。计算血肿体积的公式由Kothari等在1996年提出如下:出血体积(ml)=(A×B×C)/2,A代表血肿的最大直径,B代表垂直于A的直径 ,C代表CT层数×层间厚度


海绵状血管瘤(又称海绵状血管畸形)占中枢神经系统所有血管畸形的5%-13%,发病率0.4%-0.9%,可单发或多发,散发或呈家族聚集性。更多见于幕上区域(80%),好发于额叶和颞叶。脑干海绵状血管瘤在所有海绵状血管畸形中占9%-35%,以脑桥(60%)最常见。其余分布于中脑和延髓。约20%的患者无症状,其他临床表现包括头痛、癫痫发作和主要与出血有关的神经功能缺失。脑干海绵状血管瘤出血和再出血的发生率高,导致患者致残致死。出血率约为每年2.7%-5%,平均再出血率高达每年21%-34.7%。多发性海绵状血管瘤(85%家族性,15%散发性)出血的风险为每个病灶每年约2.5%。


海绵状血管瘤在平扫CT上通常表现为结节状高密度影,偶有增强。其特征性的含铁血黄素沉积在T2WI和梯度回波序列上更容易诊断。典型表现为T2WI可见其中心为混杂信号(俗称“爆米花“)伴边缘信号强度减弱(含铁血黄素轮廓)。DSA上未发现供血动脉,可见早期引流静脉。手术干预仍有争议的。


毛细血管扩张症并不少见。在尸检中估计患病率为0.4%,占所有颅内血管畸形的16%-20%。多位于脑桥,通常小于2cm。症状包括头痛,眩晕或轻微的神经功能缺失。而大多数毛细血管扩张是无症状的。病灶通常无占位效应或钙化,且肉眼可见的出血很少,因此在CT平扫上无法检测到这些病灶。MRI检查T1WI上无法分辨,但在T2WI上可见局灶性稍高信号。梯度回波序列可见低信号,这是由于脱氧血红蛋白的存在。


创伤

颅脑外伤导致脑干损伤相对常见。直接外伤通常累及邻近脚间池的中脑腹侧喙部。弥漫性轴索损伤脑干受累更为严重。CT对脑干损伤的早期评价非常有用,但主要诊断手段仍是MRI,因其可以描述真实的损伤程度。


中脑下部和脑桥上部的中线腹侧可因为颞叶钩回疝(小脑幕切迹疝)导致Duret出血,但其影像证据极其少见。影像学报告的发病率(5%-10%)明显低于尸检报告(30%-60%),因多达20%的出血仅镜下可见,患者通常无法存活足够长的时间来进行后续复查。


脑干出血的预后明显比脑干缺血性卒中的预后差,总死亡率达30%-88%。出血的多少及部位与预后密切相关。大出血、腹侧及旁正中部位的出血暗示预后不良(7.1%的生存率)。单侧被盖部出血通常预后较好。被盖基底部出血预后介于其中。


lxx译文,zy&zyx审校


[参考文献]

Ortiz de Mendivil A, Alcalá-Galiano A, Ochoa M, Salvador E, Millán JM.Brainstem stroke: anatomy, clinical and radiological findings.Semin Ultrasound CT MR. 2013 Apr;34(2):131-41.


温馨提醒
请尊重我们的劳动成果,转载不要忘了注明出处哦~~~


分享 :