多发性硬化MRI病灶评估

导读

MRI提高了多发性硬化(MS)的检出率,但对影像学的不恰当解读和MRI诊断标准的不合理应用使误诊率升高。部分疾病如视神经脊髓炎谱系疾病(NMOSD)、Susac综合征等,是不同于MS的独立疾病,但也可能满足MS的MRI标准,尤其是缺乏生物学标记物(如AQP4抗体)结果时,诊断的挑战性大大增加。随着MRI技术的提高,MS的典型特征(如近皮质、脑室周围、皮质病灶)被逐渐明确。对MS病理生物学认识的深入,一些更具特异性的征象(例中央静脉征、软脑膜下脱髓鞘和病灶边缘)逐渐被提出,但未被纳入当前MS的诊断标准。


撰写本文的目的旨在为临床医生和研究人员提供一个实用指南,帮助正确识别MS病灶,包括对典型MRI特征的全面定义和说明,以及对红旗征(提示其他诊断)的讨论。我们还讨论了未来可能出现的病灶的定性特征(尚未出现在MS当前诊断标准中)。


概述


自2001年确立,到2017年修订版的发布,McDonald诊断标准从脑和脊髓病灶的数量、大小和位置定义了MS的典型病灶特征——通过常规T2加权(T2WI)和对比增强T1加权(T1WI+C)MRI序列对病灶的评估,为MS患者提供了早期诊断标准。在时间和空间多发性的要求的背景下,这些诊断标准具有高度敏感性;同时在一个典型脱髓鞘事件中(如亚急性视神经炎、不完全性横贯性脊髓炎和脑干综合征),对于鉴别早期复发型MS与单相临床孤立综合征(DIS)具有较强的阳性预测值(PPV)。在此之前,需通过临床评估和实验室检查(即血液检测、脑脊液化验、神经影像和神经电生理检查等)排除其他病因。在临床表现为不典型的MS患者中运用该诊断标准将增加误诊风险。


由于MRI对脑白质异常的检出非常敏感,且当符合特定位置的两个MRI病灶就可以满足MS的诊断标准,因此对于影像学上“典型”(“绿旗征,green flags”)和非典型(“红旗征,red flags”)MS病灶的识别至关重要——在病灶数量较少、或具有共病(如偏头痛或脑血管疾病)的患者中,识别特定病灶特征和模式有助于鉴别诊断。


2018年12月,在意大利米兰举办了国际研讨会,来自全球各地的MS和MRI专家出席,旨在制定MS病灶的正确定义和分类的实用指南。研讨会主要围绕三个主要议题:(i)重新审视2017年McDonald诊断标准修订版中定义的MS病灶特征及其分布模式(“绿旗征”);(ii)描述符合当前MS诊断标准的病灶模式,但非MS的特征,即MS诊断的“红旗征”——它们可能与其他类似MS的疾病有关,包括伪影或与合并症相关的偶发病灶,如缺血性病灶、特殊的对比增强模式、T2WI上与年龄相关的“脑室周围高信号”等,以及最近公认的抗体介导的疾病(如NMOSD和抗MOG-IgG病);(iii)讨论近期提出的可能提高MS诊断特异性的病灶新特征(如中央静脉征、软膜下脱髓鞘、病灶边缘[central vein sign, subpial demyelination and lesion rims])。


MRI诊断MS时需考虑的一般因素


对怀疑MS的患者,使用2017年修订版McDonald诊断标准中的MRI特征进行评估时,需要考虑以下因素:


(1)临床综合征应该是典型的脱髓鞘事件(通常包括:单侧视神经炎,局灶性幕上综合征,局灶性脑干或小脑综合征,部分性脊髓病)。


(2)该标准适用于成年患者(18-50岁);在出现单相脱髓鞘事件的儿童MS患者中也适用,但对11岁以下的患者仍需谨慎。在儿童患者中,基线扫描≥1个黑洞(T1WI上低信号病灶)和≥1个脑室周围病灶有助于区分MS和单相脱髓鞘。


(3)对≥50岁或有血管危险因素的患者,应参考更加严格的标准(如更多的脑室周围病灶[邻接侧脑室,详见下文])。


(4)MRI检查应具有良好的质量,避免伪影,场强至少在1.5T以上。使用3D或2D序列,层厚为3mm。


(5)核心MRI序列包括脑和脊髓T2WI和T1WI+C(表1)。


(6)MS病灶可出现在中枢神经系统任何部位,因此对出现颈、胸和腰髓症状的患者应行相应部位的MRI检查,以发现亚临床病灶。同时,在头颅MRI检查不足以确定空间多发性时,脊髓MRI检查有助于诊断,且可帮助预后判断。


(7)在非典型病例中应特别考虑脂肪抑制序列的视神经MRI,以除外其他可能的诊断。


(8)应在多个平面上确认病灶,避免假阴性和假阳性结果(表1)。


(9)连续多次MRI检查可以支持MS的诊断,因MS病灶可随时间推移增多,也可在中枢神经系统新的部位出现。


(10)MRI扫描结果应由经验丰富、非常熟悉MS诊断和鉴别诊断的神经影像科医生或临床医生进行评估。


(11)随时间推移,T2病灶可增多,减少或趋于稳定;小病灶很少完全消失。


(12)MS钆增强病灶特征多变,但持续时间绝大部分很短(2-8周,但通常<4周)。


(13)对于MS的诊断,在≥2个特征性区域(脑室周围[邻接侧脑室],皮质/皮质下、幕下、脊髓)应至少有一个典型病灶,以支持空间多发性诊断。


(14)脑白质病灶在伴有血管性疾病或偏头痛的患者以及健康成人中常见,常为非特异性、小而圆的深部白质病灶,脑室周围和U型纤维多不受累。目前对于区分单个病灶是由于脱髓鞘还是共病所致较为困难。


(15)对于病灶数量较少的患者,单个病灶特征(大小、卵圆形、垂直于侧脑室、T1低信号、增强模式)对判断是否为MS非常重要;对于病灶数量较多的患者,其分布(脑室周围病灶、合并脑和脊髓病灶等)更为重要。


表1   针对每种病灶类型建议的最佳成像序列

病灶类别

用于主要识别的核心序列

替代的验证序列

诊断标准中的核心病灶特征

脑室周围

T2-FLAIR(3D首选)

T2加权,PD加权,3D-T1加权MPRAGE

近皮质/皮质

T2-FLAIR(3D首选)(皮质:DIR)

3D T1WI-MPRAGE、T2、DIR、PSIR(皮质:3D T1WI-MPRAGE,PSIR;T2 -FLAIR不太理想)

幕下

T2-FLAIR(3D首选)

T2,PD,3D T1WI-MPRAGE

脊髓(颈髓+胸髓)

≥2个矢状位序列,包括STIR、T2、PD、PSIR或3D T1WI-MPRAGE

轴位T2WI

钆增强病灶

单剂量钆造影剂延迟≥5分钟后,轻度/中度T1 SE或GE序列

-避免重3D反转准备T1WI-MPRAGE

-无MT脉冲

增强前T1(可选)

目前在正式诊断标准中尚未纳入的其他MS病灶

视神经

2D-STIR(冠状位)

增强后脂肪抑制T1(轴位和冠状位)

2D-FSE(冠状位)

2D STIR(轴位)

替代序列(对比度良好,但分辨率较低):3D-DIR,2D/3D-FSE T2,2D/3D脂肪抑制T2-FLAIR

未来基于病理生理学的影像特征

中央静脉征

3D-T2*(分段EPI)T2-FLAIR*(T2-FLAIR+T2*分段EPI)

SWI

软脑膜下脱髓鞘

7T-T2*或MP2RAGE

PSIR和/或3D-T1WI-MPRAGE;T2-FLAIR不太理想;DIR

阴燃/缓慢扩大的病灶

7T-T2*WI GRE

3T-3D-T2*或SWI

纵向T2或T1图像

:DIR=双反转恢复;EPI=回波平面成像;FSE=快速自旋回波;GE=梯度回波;GRE=梯度回波;MPRAGE=磁化准备快速梯度回波;MT=磁化传递;PD=质子密度;PSIR=相位敏感反转恢复;SE=自旋回波;STIR=短tau反转恢复;SWI=磁敏感加权成像;T2-FLAIR=T2-液体衰减反转恢复序列


MS病灶的定义


MS病灶定义为在T2WI(T2、T2-FLAIR或类似序列)或质子密度(PD)加权序列上的局灶性高信号区域。典型的MS病灶形状为圆形或卵圆形,直径从几毫米到一至两厘米以上,长轴应至少为3mm,当然这需结合分布位置,如第四脑室底部的病灶<3mm即为异常,因此处很少有其他病变以及与血流相关伪影,病灶应至少在两个连续切面可见,以排除伪影等其他干扰。


MS病灶通常分布在两个半球,早期多为轻度不对称性。病灶可见于中枢神经系统任何部位,相对于其他引发白质病变的疾病而言,MS常累及特定的白质区域,如脑室周围、皮质下白质、胼胝体、幕下(尤其是脑桥和小脑)和脊髓(尤其是颈段)。MS典型病灶(绿旗征)与非典型病灶(红旗征)见表2,相关影像学描述见图1-5。


表2   MS的典型病灶(绿旗征)与非典型病灶(红旗征)

病灶类别

“绿旗征”支持MS诊断

“红旗征”提示其他可能诊断

支持排除MS诊断的征象

病灶

形状:卵形/圆形;大小:沿主轴至少3mm;分布:不对称

梗死或微出血(淀粉样脑血管病,其他脑血管疾病);分布:对称(脑白质营养不良)

形状:线性(血管周围间隙,扩大的Virchow-Robin间隙);大小:沿主轴≤3mm

当前诊断标准中纳入的核心病灶

脑室周围

位置:邻接侧脑室,其间无白质

导水管周围病灶(NMOSD);围绕侧脑室的室管膜周围病灶(NMOSD);梗死或微出血(淀粉样脑血管病,其他脑血管病);广泛对称的白质病灶(脑白质营养不良);位于胼胝体中央的圆形病灶(“雪球”样病灶)(Susac综合征)

形状:沿侧脑室的线性高信号;

位置:脑室周围带帽征(非特异性年龄相关病灶);非邻接脑室周围病灶(病灶不直接与侧脑室表面接触);深部灰质病灶;接触第三和第四脑室的病灶;导水管周围病灶

近皮质/皮质

位置:邻接或位于皮质内

梗塞或微出血

位置:深部脑白质(与皮质分隔)

幕下

位置:脑干、小脑脚、小脑半球;邻近四脑室池或底部;脑桥表面和脑桥三叉神经根入口处;脑脊液引流区表面;小脑脚和邻近导水管周围的灰质;单侧或双侧延髓旁正中区域

梗死或微出血(淀粉样脑血管病,其他脑血管病);脑桥中央对称性病灶(淀粉样脑血管病,其他脑血管病);导水管周围病灶(NMOSD);极后区病灶(NMOSD);与脊髓病灶相连的延髓病灶(NMOSD)


脊髓

多个离散(局灶性)病变;形状:矢状面:雪茄状;轴位:楔形;大小:小; ≤2个节段、>半个脊髓截面;位置:颈髓>胸髓;脊髓周围区域;侧柱和后柱 ,但中央灰质不受累;信号特征:T1低信号

纵向广泛性横贯性脊髓炎(LETM)累及≥3个节段(NMOSD);软脑(脊)膜/神经根强化(神经结节病);空腔(脊髓空洞征);微/大出血和缺血性病灶(动静脉瘘、缺血性脊髓病);模糊/弥漫/占位效应(肿瘤);病灶仅累及灰质(NMOSD、感染、缺血性脊髓病)

弥漫异常信号

钆增强病灶

形状:结节样;开环;闭环;位置:脑>脊髓

大或多闭环强化(ADEM、恶性肿瘤、感染);脑(脊)膜/神经根强化(神经结节病);三叉戟征(神经结节病);薄煎饼征(脊髓型脊椎病);点状或粟粒增强(CLIPPERS、血管炎、PML、Susac综合征);带状强化(Balò同心圆硬化);云雾状强化(NMOSD);单纯皮质强化(血管炎,缺血性病灶);持续强化> 3个月(恶性肿瘤)

斑片状和持续性强化(毛细血管扩张症)

附加征象

视神经

病变范围:短节段;位置:单侧

病变范围:长节段(NMOSD,MOG抗体相关疾病);位置:视神经后段包括视交叉受累;同时累及双侧(NMOSD,MOG抗体相关疾病)


:ADEM=急性播散性脑脊髓炎;CLIPPERS=类固醇激素反应性慢性淋巴细胞炎伴脑桥血管周围强化征;PML=进行性多灶性白质脑病;NMOSD =视神经脊髓炎谱系疾病


图1:MS患者脑室周围典型和非典型病灶以及不应该计数在内的病灶;左:绿旗征:(A)提示MS的脑室周围病灶;(B)垂直于胼胝体的脑室周围病灶(Dawson手指征);中间:红旗征:(C)累及脑室旁及深部灰质的多发白质病灶,提示缺血性小血管病灶;(D)NMOSD患者广泛的胼胝体压部受累和双侧间脑病灶;(E)常染色体显性遗传性脑动脉病伴皮质下梗死(CADASIL)累及深部白质、外囊和颞叶的多发病灶;(F)胼胝体内“雪球样”病灶(Susac综合征);(G)系统性红斑狼疮累及双侧白质和深部灰质的弥漫性和广泛性病灶;右:不应认为是脑室周围病灶:(H)不接触脑室的病灶:(I)脑室前后角对称病灶(侧脑室带帽征);(J)病灶长轴小于3mm;(K)邻近侧脑室的对称线性高信号;PV=脑室周围


图2:MS患者皮质/近皮质典型和非典型病灶以及不应该计数在内的病灶;左上:绿旗征:提示MS的近皮质(A)和皮质(B)病变;右上:(C)白质病灶未接触皮质或位于皮质内(皮质下);底部:红旗征:(D)皮质下和深部白质多发病灶,提示小血管病;(E)进行性多灶性白质脑病累及不同脑叶灰质和白质,边界模糊不清;(F)扩大的血管周围间隙,为点状或条纹状边界清晰的脑脊液样信号;(G) T2WI低密度提示微出血导致的含铁血黄素沉积;(H)中枢神经系统血管炎可见T1WI多发软脑膜和皮质高信号伴梯度回波序列低信号;JC/CL=近皮质/皮质


图3:MS患者幕下典型和非典型病灶;左:绿旗征:(A)幕下病灶;右:红旗征:(B)见于小血管病的对称性脑桥中央病灶;(C)NMOSD导水管周围病灶;(D)NMOSD极后区病灶;(E)MOG抗体相关疾病中脑-间脑病灶;(F)神经白塞病邻近四脑室底的大的卵圆形病灶


图4:MS患者脊髓典型和非典型病灶以及不应该计数在内的病灶;左上:绿旗征:(A)矢状位短时间反转恢复序列上颈、胸髓病灶;(B)3T-T1WI上可见颈髓低信号(绿箭头);(C)T2WI和相位敏感 反转恢复序列可见颈髓病灶累及侧柱和中央灰质(绿箭);右上:(D)弥漫性脊髓病变,边界不清,不符合脊髓病灶的定义;底部:红旗征:(E)见于NMOSD的纵向广泛性脊髓受累,病灶范围在3个节段以上;(F)见于神经结节病的纵向广泛性脊髓受累,病灶范围在3个节段以上,伴软脊膜和脊髓周围强化;(G)见于亚急性联合变性的广泛选择性侧柱和后柱受累;(H)脊髓空洞;(I)见于动静脉瘘的广泛性T2高信号病灶,从脊髓圆锥前部延伸,可见斑点状和扭曲强化;(J)见于亚急性缺血性脊髓病的胸髓前部高信号病灶,延伸累及两个以上椎体节段;(K)脊髓型颈椎病患者颈髓T2高信号病灶,可见“薄煎饼样”强化;SC=脊髓。


图5:MS患者典型和非典型强化病灶以及不应该计数在内的病灶;左上:绿旗征:MS强化病灶:(A)结节样;(B)开环征;(C)闭环征;(D)脊髓结节样强化;右上:(E)毛细血管扩张症(不纳入诊断标准);底部:红旗征:(F)提示非典型特发性炎性脱髓鞘病灶的不均匀强化瘤样大病灶(>2cm);(G)Balo病带状强化;(H)NMOSD患者间脑、胼胝体云雾状强化和纵向广泛脊髓受累;(I)中枢神经系统血管炎软脑膜、皮质和皮质下不规则强化;(J)神经结节病软脊膜强化及轴位“三叉戟征”;(K)抗Ma2脑炎间脑均匀增强;(L)胶质母细胞瘤不规则不均匀强化


正在进行的研究领域


中央静脉征(central vein sign

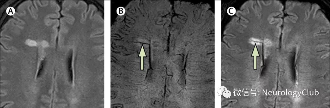
多发性硬化病灶多出现在静脉或小静脉周围。病灶和小静脉的关系在7.0T高场强磁共振下可清晰看到,在3.0T以及1.5T MRI也可见。颅内静脉可通过高分辨3D T2* MRI见到,且该序列可以和T2-FLAIR融合形成T2-FLAIR*图像。传统的磁敏感序列虽然可以见到中央静脉,但总体效果仍然不佳。另外,在1.5T MRI下可通过钆造影剂(在扫描时或扫描前注射)增加中央静脉的检出率,而3.0T或更高场强MRI则不需要。


中央静脉征在临床实践中的定义为细线状或小点状(<2mm)低信号影,至少两个层面可见,至少一个层面表现为细线状。静脉需部分或全部从中心穿过病灶。而长轴小于3mm的病灶、融合性病灶、可见多条静脉的病灶或静脉不清晰的病灶则不应包括在内。一般来说,中央静脉征在约80%的病灶可见,其中皮层病灶相对少见。幕下和脊髓病灶的中央静脉征较难发现。由于脑室周围静脉密度较高,相比于深部脑白质,脑室周围的中央静脉征也较难评估。


近期研究提示中央静脉征在多发性硬化中较其他疾病中更为常见,包括视神经脊髓炎,中枢神经系统免疫性血管病,偏头痛,Susac综合征,脑血管疾病以及偶然发现的脑白质病灶。但是,中央静脉征具体的诊断价值尚不明确,包括需多少比例病灶有中央静脉征才能有诊断意义,以及中央静脉征病灶的最低数量。近期也涌现了一些自动检测中央静脉的技术。目前,有关中央静脉征在首次发病时对于多发性硬化的诊断意义尚不明确,仍需大型前瞻性多中心研究进一步证实。


中央静脉征其具体表现为 T2WI、FLAIR上病灶中心呈低信号,此表现在脑室周围病灶 、脑深部白质病灶中容易发现。一般规定具有以下特点者判定为中央静脉征:(1)中央静脉直径小于2mm ;(2)无论形态如何,病灶静脉距离病灶边缘均几乎等距 ;(3)静脉部分和全部通过病灶 ,穿过病灶边缘不能超过两个部位 ;(4)病灶直径大于3mm ;(5)至少有两个不同方向的MRI病灶发现中央静脉 ;(6)不同方向的病灶中央静脉表现点状和细线 ,其中至少1个方向表现为细线状 。


图6:A:T2-FLAIR上可见累及脑室周围白质的典型卵圆形脱髓鞘病变;B-C:磁敏度加权成像和T2-FLAIR及磁敏度加权成像融合(T2-FLAIR *)可见中央静脉征


软脑膜下脱髓鞘(subpial demyelination

皮质病灶分4型,I型(皮质-白质混合型),病灶累及皮质深层及其相邻白质 ;II型(皮质内型),以血管为中心的小的脱髓鞘病变,局限于皮质内 ;III型,病灶从软脑膜表面延伸入皮质;IV型,病灶累及全皮质层而未累及皮质下白质;III型和IV病变简称为软膜下型病变,可以是局限的,也可能累及多个相邻的脑回,甚至可以累及所有皮质区域,但未累及皮质下的白质,称为“广泛软脑膜下脱髓鞘”。


在多发性硬化中,软脑膜下脱髓鞘和脑膜炎症以及鞘内促炎因子的改变有关。病理研究提示这类皮层病灶对多发性硬化的诊断具有高度特异性,且累及范围广。


但是,软脑膜下脱髓鞘在一般场强MRI下较难识别。用T2*或MP2RAGE序列的超高场强MRI可有助于识别,目前,软脑膜下脱髓鞘这一征象尚不能用于日常临床实践,识别这类病灶的标准化流程有待进一步改进。


图7:MRI上的4型皮质病灶


图8:7T上可见但3T上未见的III型病变


阴燃/缓慢扩大的病灶(smoldering/slowly evolving lesions

病理研究提示,57%的慢性期多发性硬化病灶可为活动性的或有活动性成分。这类病灶以缓慢增大的体积以及持续的组织丢失为特点,在有较长病程及进展型多发性硬化患者中常见。这类病灶被称为阴燃/缓慢进展病灶。病理学上,病灶周围有一圈含铁小胶质细胞和/或不同形态的巨噬细胞,病灶边缘有激活的小胶质细胞及巨噬细胞,且有少量T细胞,及缓慢进展的脱髓鞘和轴索丢失表现。


近期,头颅MRI也被用于研究这类缓慢进展病灶。磁敏感MRI发现多发性硬化中某些白质病灶周边有一圈低信号带,这可能和病理学检查中提示疾病活动的病灶周围异常相对应。该低信号带可持续数年,或可逐渐消失,变成信号强度和周边正常白质相似的组织。


该类低信号带常出现于随时间明显增大的病灶中,不过需注意,虽然异常信号的总面积在逐渐扩大,病灶核心区域的体积可能并没有增大。


尽管超高场强T2* MRI及相位图像有助于识别阴燃/缓慢进展病灶,目前尚没有检测这类病灶的最佳手段。近期有研究提出基于传统头颅T2以及T1 MRI自动检测这类病灶的技术。


此外,尽管缓慢进展病灶在多发性硬化中较为常见,在视神经脊髓炎患者或脑血管病患者中也可发现这类病灶。


尽管病灶周边的异常可能是鉴别多发性硬化和其他疾病的可靠标志物,其在临床孤立综合征中的诊断价值尚有待进一步明确。该征象是否能纳入诊断标准尚需更多证据支持,包括特异性、敏感性,磁共振检查的标准化流程及相应指南的建立。


图9:56岁继发进展型多发性硬化女性患者,其基线(F),2年(G)和4年(H)时的3T磁共振;T1WI可见左侧脑室后角白质病灶缓慢扩大(体积增加,信号越低)


[参考文献]

1. Filippi M, Preziosa P, Banwell BL, Barkhof F, Ciccarelli O, De Stefano N, Geurts JJG, Paul F, Reich DS, Toosy AT, Traboulsee A, Wattjes MP, Yousry TA, Gass A, Lubetzki C, Weinshenker BG, Rocca MA.Assessment of lesions on magnetic resonance imaging in multiple sclerosis: practical guidelines.Brain. 2019 Jul 1;142(7):1858-1875.

2. Thompson AJ, Banwell BL, Barkhof F, Carroll WM, Coetzee T, Comi G, Correale J, Fazekas F, Filippi M, Freedman MS, Fujihara K, Galetta SL, Hartung HP, Kappos L, Lublin FD, Marrie RA, Miller AE, Miller DH, Montalban X, Mowry EM, Sorensen PS, Tintoré M, Traboulsee AL, Trojano M, Uitdehaag BMJ, Vukusic S, Waubant E, Weinshenker BG, Reingold SC, Cohen JA.Diagnosis of multiple sclerosis: 2017 revisions of the McDonald criteria.Lancet Neurol. 2018 Feb;17(2):162-173.

3. Filippi M, Brück W, Chard D, Fazekas F, Geurts JJG, Enzinger C, Hametner S, Kuhlmann T, Preziosa P, Rovira À, Schmierer K, Stadelmann C, Rocca MA; Attendees of the Correlation between Pathological and MRI findings in MS workshop.Association between pathological and MRI findings in multiple sclerosis.Lancet Neurol. 2019 Feb;18(2):198-210.

4. 张华, 侯世芳, 殷剑.磁共振中央静脉征对多发性硬化诊断的意义.中国神经免疫学和神经病学杂志. 2017;24(2):92-93.

5. Inglese M, Fleysher L, Oesingmann N, Petracca M.Clinical applications of ultra-high field magnetic resonance imaging in multiple sclerosis.Expert Rev Neurother. 2018 Mar;18(3):221-230.

6. Kilsdonk ID, Jonkman LE, Klaver R, van Veluw SJ, Zwanenburg JJ, Kuijer JP, Pouwels PJ, Twisk JW, Wattjes MP, Luijten PR, Barkhof F, Geurts JJ.Increased cortical grey matter lesion detection in multiple sclerosis with 7 T MRI: a post-mortem verification study.Brain. 2016 May;139(Pt 5):1472-81.


温馨提醒
请尊重我们的劳动成果,转载不要忘了注明出处哦~~~


分享 :